Issue navigation
Volume 2016, Issue 1, January 2016
Case reports
Synchronous presentation of invasive ductal carcinoma and mantle cell lymphoma: a diagnostic challenge in menopausal patients
Edward J. Woo and others
Journal of Surgical Case Reports, Volume 2016, Issue 1, January 2016, rjv153, https://doi.org/10.1093/jscr/rjv153
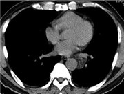
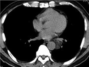
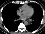
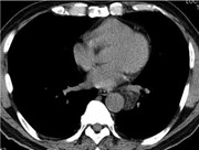
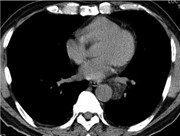
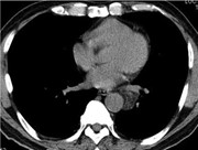
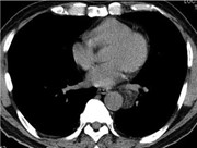
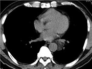
Primary mediastinal dedifferentiated liposarcoma resected by lateral thoracotomy with video-assisted thoracoscopic surgery
Kazutoshi Hamanaka and others
Journal of Surgical Case Reports, Volume 2016, Issue 1, January 2016, rjv163, https://doi.org/10.1093/jscr/rjv163
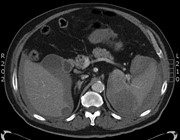
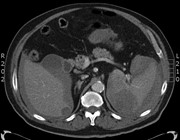
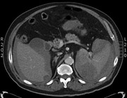
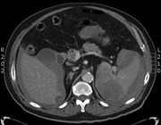
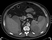
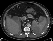
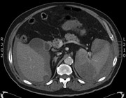
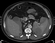
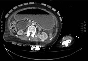
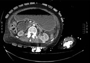
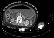
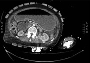
Spontaneous rupture of the spleen as a result of primary splenic lymphoma
Ahmed M.A. Mohammed and others
Journal of Surgical Case Reports, Volume 2016, Issue 1, January 2016, rjv164, https://doi.org/10.1093/jscr/rjv164
Infiltrating angiolipoma of the chest wall: a rare clinical entity
Nithiananthan Mayooran and others
Journal of Surgical Case Reports, Volume 2016, Issue 1, January 2016, rjv165, https://doi.org/10.1093/jscr/rjv165
Ectopic intrapleural thymoma: a rare location in the thoracic cavity
Ana Lopez-Marco and others
Journal of Surgical Case Reports, Volume 2016, Issue 1, January 2016, rjv166, https://doi.org/10.1093/jscr/rjv166
Modern scurvy
Rian A.A. Wijkmans and Koen Talsma
Journal of Surgical Case Reports, Volume 2016, Issue 1, January 2016, rjv168, https://doi.org/10.1093/jscr/rjv168
A rare case of paratubal cystadenoma during pregnancy
Umit Gorkem and others
Journal of Surgical Case Reports, Volume 2016, Issue 1, January 2016, rjv169, https://doi.org/10.1093/jscr/rjv169
Torsion of omental fibrous pseudotumour mimicking acute appendicitis
Thomas E. Pennington and others
Journal of Surgical Case Reports, Volume 2016, Issue 1, January 2016, rjv170, https://doi.org/10.1093/jscr/rjv170
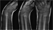
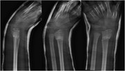
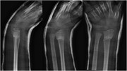
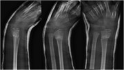
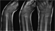
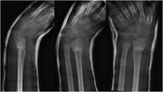
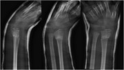
Desmoplastic fibroma of the distal radius: an interesting case and a review of the literature and therapeutic implications
Kathleen S. Beebe and Joseph A. Ippolito
Journal of Surgical Case Reports, Volume 2016, Issue 1, January 2016, rjv171, https://doi.org/10.1093/jscr/rjv171
How to salvage a salvage endoprosthesis
Anil Haldar and others
Journal of Surgical Case Reports, Volume 2016, Issue 1, January 2016, rjv172, https://doi.org/10.1093/jscr/rjv172
Old technique revisited with surgical innovation: complicated Mallory–Weiss tear with bleeding gastric ulcer exclusion
Osamu Yoshino and others
Journal of Surgical Case Reports, Volume 2016, Issue 1, January 2016, rjv173, https://doi.org/10.1093/jscr/rjv173
Use of a venting PEG tube in the management of recurrent acute gastric dilatation associated with Prader-Willi syndrome
Ahmed M.A. Mohammed and Robert J. Dennis
Journal of Surgical Case Reports, Volume 2016, Issue 1, January 2016, rjv174, https://doi.org/10.1093/jscr/rjv174
Retained garden fork following cranial stab injury
Sonwabile Gonya and others
Journal of Surgical Case Reports, Volume 2016, Issue 1, January 2016, rjv175, https://doi.org/10.1093/jscr/rjv175
Advertisement
Advertisement












