-
PDF
- Split View
-
Views
-
Cite
Cite
Ahmed M.A. Mohammed, Zulqarnain I. Majid, Eduardo A. Villatoro, Spontaneous rupture of the spleen as a result of primary splenic lymphoma, Journal of Surgical Case Reports, Volume 2016, Issue 1, January 2016, rjv164, https://doi.org/10.1093/jscr/rjv164
Close - Share Icon Share
Abstract
Spontaneous rupture of the spleen is a true surgical emergency that requires immediate management to prevent rapid exsanguination. It occurs mostly as a result of splenic infiltration by infectious or haematological diseases. We present a case of a 79-year-old male who was admitted to our emergency department with 3 days history of feeling unwell, abdominal pain, and dizziness, with no history of trauma. He was hypotensive, but all other observations were within normal limits. Examination revealed abdominal tenderness, mainly on the left side, with no palpable organs or masses. Computed tomography scan showed an abnormal spleen with signs of intraabdominal bleeding; emergency splenectomy was performed successfully. Histological examination showed infiltration of the spleen by diffuse large B cell lymphoma, which was later confirmed to be primary. The patient went through an uneventful post-operative recovery, and remains disease free so far.
INTRODUCTION
Spontaneous rupture of the spleen is a catastrophic event that can result in rapid onset of haemodynamic instability and death. Despite the graveness of the condition, the onset sometimes can be insidious, which makes the diagnosis challenging in some cases.
As most of the cases result from infiltration with haematological or infectious diseases, emergency computed tomography (CT) scan and splenectomy are lifesaving. Moreover, splenectomy can be curative in cases of primary splenic lymphomas.
CASE REPORT
A 79-year-old male presented to the emergency department with a 3-day history of worsening left-sided and lower abdominal pain that peaked over the last 24 h preceding admission. The pain was made worse with movement and straining; he also experienced some nausea. He did not report any rectal bleeding, change in bowel habits or urinary symptoms, and there was no history of trauma. The patient was found collapsed at home by his daughter on the day of admission.
His past medical history included hypertension, atrial fibrillation (for which he was on warfarin), gout, and bilateral inguinal hernia repair. His regular medications included atenolol, allopurinol, amlodipine, and warfarin. He smokes a pipe, indulges on occasional alcohol at the weekend and is a retired driver.
On examination, he was hypotensive with a blood pressure of 95/60, but all of his other vital signs were within normal range. Abdominal examination showed mild distension and guarding over the left iliac fossa with some percussion tenderness over the suprapubic region. No masses or enlarged organs were felt, and bowel sounds were present but sluggish. Both his femoral pulses were strong and equal, and PR examination was unremarkable. Initial blood tests showed WCC 15.7, CRP 10, haemoglobin 134 and of lactate 3.4.
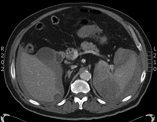
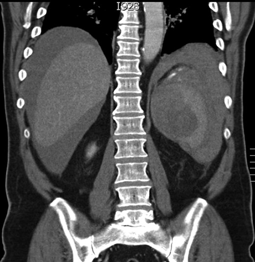
After initial resuscitation with intravenous fluids and starting of empirical antibiotics, an urgent CT scan of his abdomen and pelvis was obtained, which showed an abnormal spleen with signs of rupture and free intraperitoneal blood (Figs 1 and 2). On the basis of these findings, he was taken immediately to theatre after correction of his coagulation with 5 mg of vitamin K and 2000 units of Human Prothrombin Complex (Octaplex).


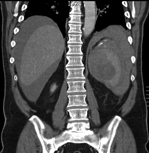
Coronal section of the CT scan showing the abnormal spleen and the haemoperitoneum.
During the surgery, 3500 mls of blood and clots were found in the abdomen. The spleen was of moderate size with a 3 × 2 cm area of induration on its superoposterior aspect that was considered to be most likely neoplastic (Figs 3 and 4). The abnormal area included a 5 cm laceration, which was the source of bleeding. It was sent to the histology lab for further analysis. A total of 4 units of RBC and 380 mls of cell salvaged blood were given during the surgery.

Intraoperative image of the abnormal spleen, showing the area involved in the neoplastic process and the laceration.

Another intraoperative image of the abnormal spleen and the laceration on its surface.
He stayed in the ITU for post-operative care and made a good recovery without requiring any organ support. He was discharged with post-splenectomy prophylactic vaccinations and haematology follow-up.
The histology report confirmed a diffuse large B cell lymphoma. Immunohistochemical staining showed the cells to be positive to CD20, CD79a, BCL-6, MUM-1, FOX P-1 and P53 (some cells), and negative to CD3, CD10 and BCL-2. The histology also confirmed a high proliferative index of over 90%.
Staging CT scan of the chest/abdomen/pelvis did not detect any additional disease.
PET scan showed no definite evidence of residual lymphoma.
It was decided during his haematology appointment that although surgery had been a definitive treatment, a combination chemotherapy including rituximab and possibly radiotherapy to the splenic bed would be beneficial. He was consented for chemotherapy with R-GCVP, which is a 3 weekly cycle of rituximab monoclonal antibody along with IV gemcitabine (at 75% dose), cyclophosphamide, vincristine and prednisolone. He tolerated this well, and the haematology plan is to continue with chemotherapy with a view to increasing the dose of gemcitabine if there is no excessive haematological toxicity.
DISCUSSION
Spontaneous non-traumatic splenic rupture is an uncommon but serious clinical event that warrants immediate intervention, mostly in the form of operative surgery to save life. Nonetheless, it has been reported in the literature that a less invasive approach such as splenic artery embolization can be successful in selected stable patients [1]. Another paper discussed a prospective study showing the successful management of 11 patients with pathological rupture of the spleen conservatively [2].
Spontaneous splenic rupture occurs usually in an abnormal spleen due to infectious diseases; however, it is rare on the setting of haematological malignancy despite the frequent involvement. It usually occurs as a result of acute leukaemia, CML and NHL [3, 4]. Our patient was unique as his lymphoma was found to be localized to the spleen.
This case is distinct from the true spontaneous splenic rupture that occurs on the setting of a completely normal spleen, which is extremely rare and documented in only few cases in the literature [5–7].
Factors increasing the risk for splenic rupture are chemotherapy, male gender and a large spleen [8]. Surprisingly, splenic rupture can occur after initiation of chemotherapy even in the setting of a normal spleen, which is supposed to be due to release of lytic substance from the dying cells [9].
The situation usually presents with severe left-sided abdominal pain, and in most of the cases haemodynamic instability. Our patient on the above scenario presented with a very gradual onset of fatigue and abdominal pain. He experienced dizziness and collapsed in pain 3 days following the onset of his symptoms.
Despite the frequent involvement of the spleen in haematological diseases, primary splenic lymphoma is a rare presentation. Primary large B cell lymphoma of the spleen presenting as spontaneous splenic rupture is even rarer [10].
CONFLICT OF INTEREST STATEMENT
None declared.