Issue navigation
Volume 2015, Issue 9, September 2015
Case reports
Popliteal artery pseudoaneurysm treated with covered stent placement and thrombolysis: a case report
Emmanuel Katsogridakis and others
Journal of Surgical Case Reports, Volume 2015, Issue 9, September 2015, rjv082, https://doi.org/10.1093/jscr/rjv082
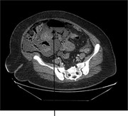
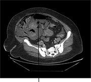
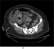
Chronic tubo-ovarian abscess complicated by hepatic portal venous gas
Sunny Onyeabor and Frederick Cason
Journal of Surgical Case Reports, Volume 2015, Issue 9, September 2015, rjv099, https://doi.org/10.1093/jscr/rjv099
Bypass grafting between the supraceliac aorta and the common hepatic artery during pancreaticoduodenectomy
Diana H. Liang and others
Journal of Surgical Case Reports, Volume 2015, Issue 9, September 2015, rjv107, https://doi.org/10.1093/jscr/rjv107
Entero-enteric fistula from the stump of an end-to-side ileocolic anastomosis mimicking cancer recurrence
N. Elsafty and others
Journal of Surgical Case Reports, Volume 2015, Issue 9, September 2015, rjv109, https://doi.org/10.1093/jscr/rjv109
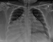
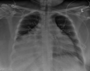
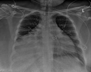
Fatal broncho-pulmonary artery fistula after lobectomy for lung cancer
Jiro Abe and others
Journal of Surgical Case Reports, Volume 2015, Issue 9, September 2015, rjv110, https://doi.org/10.1093/jscr/rjv110
Inverted Meckel's diverticulum causing intussusception in a Crohn's patient
Gary Sharp and Daniel Kozman
Journal of Surgical Case Reports, Volume 2015, Issue 9, September 2015, rjv112, https://doi.org/10.1093/jscr/rjv112
A challenging case of squamous metaplasia in a pleomorphic adenoma: diagnostic and clinical pitfalls
Simon Brisebois and others
Journal of Surgical Case Reports, Volume 2015, Issue 9, September 2015, rjv113, https://doi.org/10.1093/jscr/rjv113
A rare occurrence of hepatic portal venous gas in a patient with chemotherapy-induced enterocolitis: the rise of benign aetiologies
Elizabeth W. Tan and Mark D. Smith
Journal of Surgical Case Reports, Volume 2015, Issue 9, September 2015, rjv114, https://doi.org/10.1093/jscr/rjv114
Perforated mesenteric Meckel's diverticulum in an adult: a real variant?
M.L. Gueye and others
Journal of Surgical Case Reports, Volume 2015, Issue 9, September 2015, rjv115, https://doi.org/10.1093/jscr/rjv115
Bleeding caecal mass: a rare finding
Matthew Beck and Mike He
Journal of Surgical Case Reports, Volume 2015, Issue 9, September 2015, rjv116, https://doi.org/10.1093/jscr/rjv116
Two different nucleotide substitutions of APC gene in a family with familial adenomatous polyposis
Betul Eser and Murat Yıldar
Journal of Surgical Case Reports, Volume 2015, Issue 9, September 2015, rjv118, https://doi.org/10.1093/jscr/rjv118
A case of acute mesentero-axial gastric volvulus in a patient with a diaphragmatic hernia: experience with a laparoscopic approach
Dalal Al-Faraj and others
Journal of Surgical Case Reports, Volume 2015, Issue 9, September 2015, rjv119, https://doi.org/10.1093/jscr/rjv119
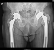
Metallosis following full thickness wear in total hip arthroplasty
Nicholas Birkett and others
Journal of Surgical Case Reports, Volume 2015, Issue 9, September 2015, rjv122, https://doi.org/10.1093/jscr/rjv122
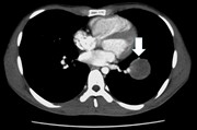
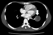
Video-assisted thoracoscopic enucleation after congenital cardiac surgery
Hideyuki Maeda and others
Journal of Surgical Case Reports, Volume 2015, Issue 9, September 2015, rjv123, https://doi.org/10.1093/jscr/rjv123
Surgical resection of a giant primary liposarcoma of the anterior mediastinum
Vishnu R. Mani and others
Journal of Surgical Case Reports, Volume 2015, Issue 9, September 2015, rjv126, https://doi.org/10.1093/jscr/rjv126
Advertisement
Advertisement














