Volume 2015, Issue 6, June 2015
Case reports
A rare aberrant distal branch preventing complete internal carotid artery occlusion
K.H. Chang and others
Journal of Surgical Case Reports, Volume 2015, Issue 6, June 2015, rjv038, https://doi.org/10.1093/jscr/rjv038
Laryngeal schwannoma: excision via a laryngofissure approach
Antonia Tse and Bilal Anwar
Journal of Surgical Case Reports, Volume 2015, Issue 6, June 2015, rjv059, https://doi.org/10.1093/jscr/rjv059
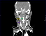
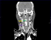
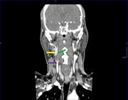
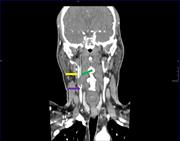
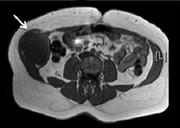
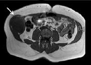
A huge benign prostatic hyperplasia presenting with renal failure
Cem Basatac and Mehmet Cagatay Cicek
Journal of Surgical Case Reports, Volume 2015, Issue 6, June 2015, rjv060, https://doi.org/10.1093/jscr/rjv060
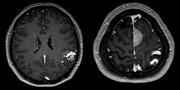
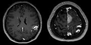
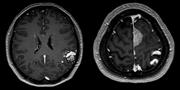
Coexistence of an intracranial meningioma and an arteriovenous malformation
Stephen Honeybul
Journal of Surgical Case Reports, Volume 2015, Issue 6, June 2015, rjv061, https://doi.org/10.1093/jscr/rjv061
Invasive duct carcinoma of the forearm: a rare case of distant, isolated ‘carcinoma en cuirasse’
Ahmed Farahat and others
Journal of Surgical Case Reports, Volume 2015, Issue 6, June 2015, rjv062, https://doi.org/10.1093/jscr/rjv062
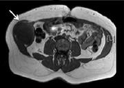
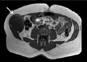
The use of a biological graft for the closure of large abdominal wall defects following excision of soft tissue tumours
Emma Illingworth and others
Journal of Surgical Case Reports, Volume 2015, Issue 6, June 2015, rjv063, https://doi.org/10.1093/jscr/rjv063
Facial emphysema after sinus lift
Akiko Sakakibara and others
Journal of Surgical Case Reports, Volume 2015, Issue 6, June 2015, rjv067, https://doi.org/10.1093/jscr/rjv067
Distinct subcutaneous emphysema following surgical wisdom tooth extraction in a patient suffering from ‘Gilles de la Tourette syndrome’
Patrick Tomasetti and others
Journal of Surgical Case Reports, Volume 2015, Issue 6, June 2015, rjv068, https://doi.org/10.1093/jscr/rjv068
Primary diffuse B-cell lymphoma presenting as a solitary chest-wall lesion
Man-Chi Lau and others
Journal of Surgical Case Reports, Volume 2015, Issue 6, June 2015, rjv069, https://doi.org/10.1093/jscr/rjv069
Advertisement
Advertisement








