-
PDF
- Split View
-
Views
-
Cite
Cite
Ruth E. Sankey, Mohamed Maatouk, Arshad Mahmood, Mazhar Raja, Case Report: Jejunal gastrointestinal stromal tumour, a rare tumour, with a challenging diagnosis and a successful treatment, Journal of Surgical Case Reports, Volume 2015, Issue 5, May 2015, rjv050, https://doi.org/10.1093/jscr/rjv050
Close - Share Icon Share
Abstract
Gastrointestinal stromal tumours (GISTs) are rare. GISTs comprise 0.2% of gastrointestinal tumours and only 0.04% of small intestinal tumours. Jejunal GISTs are the rarest subtype. Only 10–30% progress to malignancy [Choi (Response evaluation of gastrointestinal stromal tumors. Oncologist 2008;13:4–7)]. We present a 70-year-old male, with multiple co-morbidities, who had extensive investigations over 5 years for vague abdominal pain. All investigations were normal. He presented with symptoms and signs of small bowel obstruction (SBO), confirmed on a computed tomography scan and demonstrated to be secondary to lesion-induced intussusception. The patient had emergency small bowel resection, was discharged after 4 days and remains well. This case report highlights the rarity of jejunal GISTs and, as extensive initial investigation yielded all false-negative results, indicates the difficulty in diagnosing jejunal GISTs. Adhesions are the commonest cause of SBO in patients with previous abdominal surgery, followed by newly diagnosed malignancies [Beardsley et al. (Small bowel obstruction in the virgin abdomen: the need for a mandatory laparotomy explored. Am J Surg 2014;208:243–8)]. Consequently, in patients with a virgin abdomen, underlying tumours should be considered.
INTRODUCTION
Gastrointestinal stromal tumours (GISTs), first described by Mazur and Clark in 1983, are rare mesenchymal tumours of the alimentary tract [1]. They are believed to result from activating mutations of proto-oncogenes c-KIT or platelet-derived growth factor receptor alpha polypeptide. These mutations increase tyrosine kinase receptor activity, resulting in uncontrolled proliferation of stem cells that differentiate into intestinal cells of Cajal [2]. The vast majority of GISTs occur in a sporadic and isolated form, but can be features of multiple neoplastic syndromes. GISTs comprise only 0.2% of gastrointestinal (GI) tumours and are mainly gastric tumours. Only 20% of GISTs, i.e. 0.04% of all GI tumours, are small intestinal GISTs and jejunal GISTs are the rarest subtype. Only 10–30% progress to malignancy [3].
CASE REPORT
A 70-year-old male presented with symptoms of small bowel obstruction (SBO) as well as abdominal pain, nausea, bilious vomiting and absolute constipation for 1 week. He reported unquantified weight loss over 3 months and had been thoroughly investigated for intermittent fresh bleeding per rectum, malaena and debilitating diarrhoea over the preceding 5 years. Blood tests showed microcytic, hypochromic anaemia. He was referred for upper and lower GI endoscopies; he had three oesophagogastroduodenoscopies and five colonoscopies with polypectomies between 2009 and 2013. All endoscopies were normal, failing to identify a bleeding source. Random biopsies revealed benign hyperplastic polyps and tubulovillous adenomas with low grade dysplasia. Magnetic resonance imaging (MRI) and computed tomography (CT) were unremarkable. Further investigation with capsule endoscopy failed to expose a bleeding source.
His past medical history comprised morbid obesity, hypertension, insulin-dependent type 2 diabetes mellitus, coronary artery bypass grafts, chronic obstructive pulmonary disease and diverticular disease. He had no significant family history. He was an ex-smoker with a 32 pack-year history and a retired engineer living independently.
On examination, his observations were stable; apyrexial and abdominal examination showed distention, generalized tenderness, absent bowel sounds and an empty rectum. No features suggestive of metastatic disease were noted.
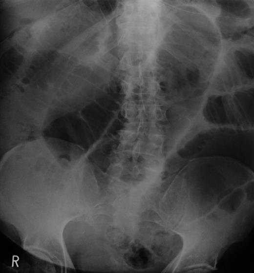
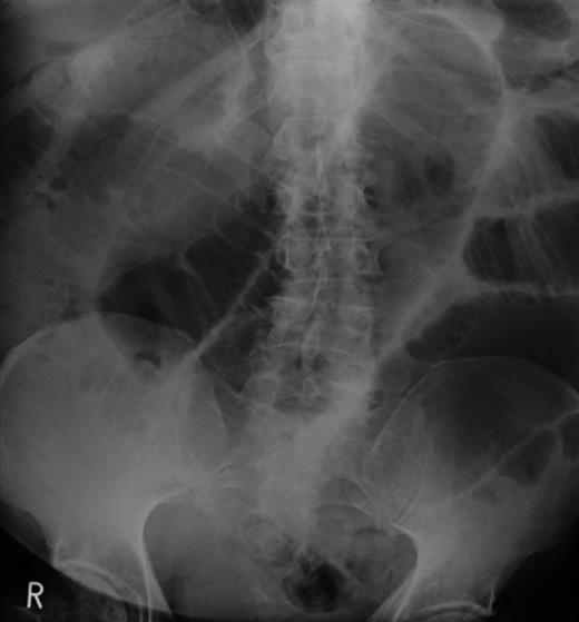
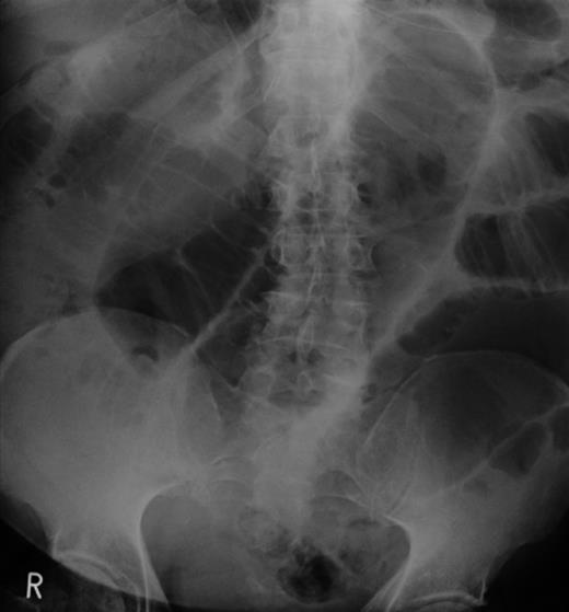
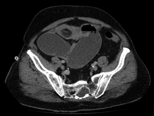
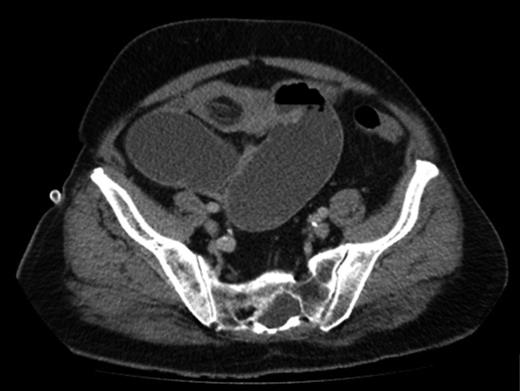
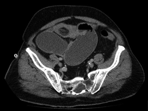
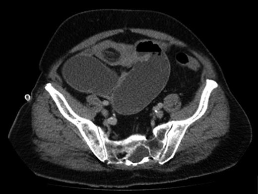
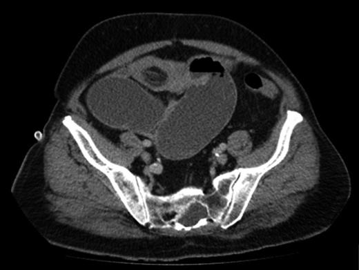
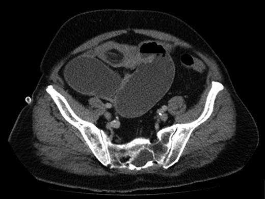
An abdominal X-ray confirmed SBO (Fig. 1). In view of having a virgin abdomen, a CT scan was arranged. This revealed SBO secondary to a mass in the small bowel, causing an ileojejunal intussusception (Fig. 2).


A laparotomy was performed with small bowel resection around the intussusception and primary anastomosis (Fig. 3). The excised segment included a 4-cm lesion (Fig. 4). The excised lesion was composed of areas of spindle and epithelioid cells, and immunohistochemical analysis showed positive staining with CD117, DOG1 and SMA: attributes restricted in the gut to the interstitial cells of Cajal. Genetic analysis detected an exon 11 mutation.


The patient recovered well postoperatively. Staging positron emission tomography (PET)–CT scan after 3 months showed no evidence of recurrence. Corresponding rectosigmoid polypectomies demonstrated only adenomas with low grade dysplasia. Follow-up colonoscopy was scheduled to take place after 5 years. The patient had postoperative imatinib for 2 years, as per the NICE guidelines for fully resectable GISTs over 10 mm.
DISCUSSION
Over 90% of GISTs occur in adults over 40 years old. The incidence peak of diagnosis is 60–65 years. There is a slight male predominance but no association with geographic location or ethnicity [2].
Jejunal GISTs are typically asymptomatic while small and may be diagnosed incidentally from CT, endoscopy, during surgery or from symptomatic liver metastases. Enlargement causes variable symptomatology; GI bleeding or non-specific GI symptoms such as bloating or early satiety. Around 40% are associated with ulceration, and 28% presenting with overt GI bleeding. Bleeding may be acute (haematemesis or malaena) or chronic (anaemia). Around 20% grow large enough to present with pain, a palpable mass or obstruction secondary to intussusception [4].
Barium studies identify 80% of GISTs, capsule endoscopy 81.1%, CT scans 87% and MRI scans close to 100% [3]. Certain factors make diagnosis challenging. Exophytic growth with minimal or no luminal protrusion, which is common, makes endoscopic diagnosis difficult. Poor bowel filling and necrotic areas make GISTs difficult to visualize on CT and cyst degeneration may be misdiagnosed as abscesses or inflamed intestinal loops [5].
Immunohistological and pathological tests are diagnostic when results are combined. Immunohistochemical assay for CD117 antigen, an epitope of the KIT receptor tyrosine kinase, is the mainstay of diagnosis. Approximately 95% are positive for CD117 antigens. However, false-positive results may occur due to weak reactivity to other mesenchymal neoplasms. The morphology of jejunal GISTs is varied: tumours may be composed of spindle cells (70%), epithelioid cells (20%) or mixed spindle and epithelioid cells (10%). Similar histological features may be seen with leiomyosarcomas and leiomyoblastomas. Definite diagnosis therefore relies on a combination of both immunohistochemical assay and morphological histology [6].
Current recommendations for assessing the risk of compression rely on three parameters: tumour size, location and mitotic index. In the presented case, a 4-cm maximal diameter jejunal GIST with one mitosis per high power (5 mm) field indicates a low-to-intermediate probability of metastases and 40–60% of recurrence risk [7].
Surgical resection is the primary treatment for jejunal GISTs. Evidence does not indicate an optimal resection margin size, but a negative margin is vital to prevent local recurrence. Lymph nodes are rarely involved and as such their dissection is not typically indicated. Complete resection of a low-to-intermediate risk GIST, such as the presented case, results in 95% 5-year survival. For GISTs exceeding 10 mm, the National Cancer Institute recommends adjuvant imatinib. This is currently the only effective drug for GISTs. Imatinib gives a 14% absolute reduction in recurrence rate, achieving 97% recurrence-free survival [8].
This case is remarkable for several reasons. First, jejunal GISTs are exceptionally rare, comprising under 0.04% of GI tumours [9]. Secondly, extensive initial investigation which would be expected to be diagnostic yielded false-negative results, resulting in progression to an unusually large jejunal GIST. Thirdly, the patient subsequently presented atypically with SBO in a virgin abdomen, raising the suspicion of GI tumour [10]. Finally, a clear resection margin was achieved and the patient made a remarkable recovery despite multiple comorbidities.
CONFLICT OF INTEREST STATEMENT
None declared.
REFERENCES
- abdominal pain
- small bowel obstruction
- computed tomography
- cancer
- adhesions
- gastrointestinal neoplasms
- intussusception
- laparotomy
- abdomen
- diagnosis
- jejunum
- morbidity
- neoplasms
- small-intestine resection
- small intestinal neoplasms
- gastrointestinal stromal tumor
- abdominal surgery
- false-negative results
- oncologists