-
PDF
- Split View
-
Views
-
Cite
Cite
Laura J. Halliday, Anup K. Sharma, Multiple thoracic duct cysts: an unusual CT finding, Journal of Surgical Case Reports, Volume 2015, Issue 5, May 2015, rjv056, https://doi.org/10.1093/jscr/rjv056
Close - Share Icon Share
Abstract
Thoracic duct cysts in the mediastinum are rare. We report the case of a 66-year-old gentleman who was found to have multiple small thoracic duct cysts during investigation of a retrosternal thyroid goitre. Multiple paraoesphageal swellings were seen on a computed tomographic scan in the upper posterior mediastinum. The largest was 2 cm and they were continuous with the thoracic duct. This is this first reported case of multiple thoracic duct cysts. Previous cases are of a single large swelling, the majority of which were surgically excised. Small asymptomatic cysts such as the case we present are suitable for conservative management.
INTRODUCTION
Thoracic duct cysts in the mediastinum are rare, with 23 cases reported to date. We present the case of a gentleman who was found to have multiple thoracic duct cysts during investigation of a large thyroid goitre with retrosternal extension. Other reported cases of thoracic duct cysts are of a single large swelling and most been surgically excised. However, thoracic surgery is associated with many risks and therefore conservative management plays an important role in asymptomatic cases.
CASE REPORT
A 66-year-old gentleman presented to the surgical endocrine clinic with a 5-year history of an enlarging goitre and hoarse voice. He did not report any dyspneoa, odynophagia or dysphagia. He was otherwise fit and well with no significant past medical history. On examination, a firm non-tender nodular midline swelling was palpable. The neck was otherwise unremarkable. There were no signs or symptoms of altered thyroid status.
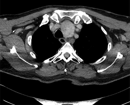
Thyroid function tests were normal. He underwent a computed tomographic (CT) scan of the neck and chest (Figs 1–3). It showed a large multinodular goitre with retrosternal extension of the left lobe to the arch of the aorta. The trachea was deviated to the right. Paraoesophageal swellings were noted in the upper posterior mediastinum, the largest of which measured 2 cm. These were non-enhancing masses, with no evidence of haemorrhage. The case was reviewed in a multidisciplinary meeting to exclude the differential diagnosis of necrotic paraoesphageal lymph nodes. The oesophagus was unremarkable, with no thickening or air-fluid level. In view of this and the continuity of the swellings with the thoracic duct, no further investigation or biopsy was undertaken.

Sagittal CT image showing a thyroid goitre with retrosternal extension and paraoesophageal swellings.


The gentleman underwent total thyroidectomy. A sternotomy was not required. Histology showed a mulitnodular goitre with an incidental papillary microcarcinoma in the left lobe of the thyroid, measuring 2 mm. His postoperative recovery was uneventful. After 2 years, he remains asymptomatic from the thoracic duct cysts and is undergoing annual follow-up for the thyroid microcarcinoma.
DISCUSSION
There have been 23 published cases of mediastinal thoracic duct cysts. The first antemortum case was described over 60 years ago. A 4.0 × 5.5 cm cyst arising at the level of the T7 vertebrae was excised from a 20-year-old woman presenting with chest pain, shortness of breath and a non-productive cough [1]. Cysts can be found anywhere along the length of the duct. Most commonly, they present as a symptomatic mass in the supraclavicular fossa or as a mediastinal mass producing pressure effects. Symptoms include chest pain, shortness of breath, a non-productive cough, difficulty swallowing and hoarseness of voice. There are no reported trends in the age at which they present and no difference between men and women [2]. The size of the cysts reported ranges from 3 to 22 cm.
There is considerable variation in the anatomy of the thoracic duct. Cysts arise from congenital weakness in the thoracic duct wall or from an acquired abnormality due to inflammation. Fluid analysis from aspiration of thoracic duct cysts shows high lipid concentration, and histology of excised cysts reveals fibrous cystic walls with lymphocytic infiltrate [3]. The differential diagnosis for mediastinal cysts include bronchogenic, pericardial and oesophageal duplication cysts. Further imaging should be undertaken if there is diagnostic uncertainty. A T2-weighted magnetic resonance imaging (MRI) scan will display a high intensity signal due to the lipid cyst contents [4].
Surgery for a mediastinal thoracic duct cyst should be considered if the patient is symptomatic or the diagnosis remains unclear. The most commonly reported complication of surgical excision is a chlyothorax. It is important to carefully consider the surgical and anaesthetic risks of any thoracic surgery. The use of video-assisted thorascopic surgery could be further explored for patients who require excision of mediastinal cysts. Sclerotherapy has been successfully used for a large supraclavicular cyst [5], in addition to traditional surgical excision.
Many previous case reports have recommended resection of all mediastinal thoracic duct cysts to aid diagnosis and prevent future complications, such as infection or expansion. In the case, we present that the cysts were small and asymptomatic, and it was possible to reach a diagnosis on imaging alone. In such patients, and with no evidence of a risk of malignant transformation, further invasive procedures were not justified. It is unclear if small cysts that do not produce pressure effects on adjacent organs have any effect on lymphatic circulation or whether there is any risk of cyst rupture. However, neither has been reported in the current body of literature. Further imaging should be obtained promptly if a patient with a known thoracic duct cyst develops pressure symptoms, as excision may be required.
If a diagnosis of thoracic duct cysts can be reached on imaging alone, invasive thoracic procedures can be prevented for asymptomatic patients. As both CT and MRI scanning are becoming evermore widely used, it is inevitable that such incidental findings will be seen. Given the very rare occurrence of this abnormality, it is important that case studies are reported to aid in reaching management decisions. This first case of multiple thoracic duct cysts adds to previous reports of singular cysts and supports a movement away from excision in all cases towards conservative management for asymptomatic cases.
CONFLICT OF INTEREST STATEMENT
None declared.
ACKNOWLEDGEMENTS
We thank Dr James Pilcher for his help in preparing this report.