Issue navigation
Volume 2015, Issue 1, January 2015
Supratentorial ependymoma presenting as a cortical cyst with a mural nodule in an adult
Jignesh Tailor and others
Journal of Surgical Case Reports, Volume 2015, Issue 1, January 2015, rju124, https://doi.org/10.1093/jscr/rju124
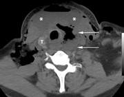
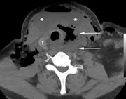
Esophageal fistula complicating thyroid lobectomy
Nicholas D. Ward and others
Journal of Surgical Case Reports, Volume 2015, Issue 1, January 2015, rju136, https://doi.org/10.1093/jscr/rju136
An 18-year-old woman with a 34-cm metaplastic breast carcinoma
António Gomes and others
Journal of Surgical Case Reports, Volume 2015, Issue 1, January 2015, rju141, https://doi.org/10.1093/jscr/rju141
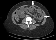
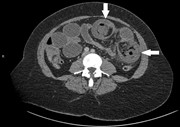
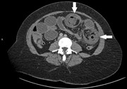
A rare case of jejuno-ileal intussusception secondary to a gastrointestinal stromal tumour
Annabel Stout and others
Journal of Surgical Case Reports, Volume 2015, Issue 1, January 2015, rju142, https://doi.org/10.1093/jscr/rju142
Use of amniotic membrane graft in the surgical management of cicatricial ectropion associated with cetuximab therapy
Kateki Vinod and Vicente Diaz
Journal of Surgical Case Reports, Volume 2015, Issue 1, January 2015, rju143, https://doi.org/10.1093/jscr/rju143
A case series of two glomus tumors of the gastrointestinal tract
Sean Bennett and others
Journal of Surgical Case Reports, Volume 2015, Issue 1, January 2015, rju144, https://doi.org/10.1093/jscr/rju144
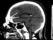
A case of psychosis induced self-insertion of intracranial hypodermic needles causing seizures
Arjun S. Chandran and Stephen Honeybul
Journal of Surgical Case Reports, Volume 2015, Issue 1, January 2015, rju145, https://doi.org/10.1093/jscr/rju145
Long-term survival after extended resection of primary atrial myxosarcoma
Diganta Kakaty and others
Journal of Surgical Case Reports, Volume 2015, Issue 1, January 2015, rju146, https://doi.org/10.1093/jscr/rju146
Vocal cord palsy as a presenting feature of sternoclavicular joint septic arthritis
Fahad Jamil and Khalid Hussain
Journal of Surgical Case Reports, Volume 2015, Issue 1, January 2015, rju147, https://doi.org/10.1093/jscr/rju147
A simple case of gallstone ileus?
Ian Farrell and Paul Turner
Journal of Surgical Case Reports, Volume 2015, Issue 1, January 2015, rju148, https://doi.org/10.1093/jscr/rju148
Perforation of the splenic flexure of the colon by an ingested wooden toothpick
Alain Chichom-Mefire
Journal of Surgical Case Reports, Volume 2015, Issue 1, January 2015, rju149, https://doi.org/10.1093/jscr/rju149
Jejunal diverticula: a rare cause of life-threatening gastrointestinal bleeding
Beom Jun Lee and others
Journal of Surgical Case Reports, Volume 2015, Issue 1, January 2015, rju150, https://doi.org/10.1093/jscr/rju150
Extracorporeally irradiated clavicle as an autograft in tumour surgery
Robert J. Grimer and Stephen C. Crockett
Journal of Surgical Case Reports, Volume 2015, Issue 1, January 2015, rju151, https://doi.org/10.1093/jscr/rju151
Advertisement
Advertisement












