Issue navigation
Volume 2015, Issue 2, February 2015
Surgical treatment of giant cell tumor of the cervicothoracic spine with combined anterior and posterior approaches
M.L. Habibou and others
Journal of Surgical Case Reports, Volume 2015, Issue 2, February 2015, rju111, https://doi.org/10.1093/jscr/rju111
Large bowel obstruction secondary to adhesive bands
Nabil S. El-Masry and Ruben Geevarghese
Journal of Surgical Case Reports, Volume 2015, Issue 2, February 2015, rju152, https://doi.org/10.1093/jscr/rju152
Compound fracture of humeral shaft associated with two-part fracture dislocation of ipsilateral shoulder: a rare combination
Yogendra Gupta and Ranjib Kumar Jha
Journal of Surgical Case Reports, Volume 2015, Issue 2, February 2015, rju153, https://doi.org/10.1093/jscr/rju153
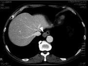
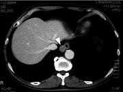
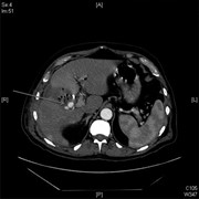
Reformed gallbladder after laparoscopic subtotal cholecystectomy: correlation of surgical findings with ultrasound and CT imaging
Suzanne J. Di Sano and Nicholas B. Bull
Journal of Surgical Case Reports, Volume 2015, Issue 2, February 2015, rju154, https://doi.org/10.1093/jscr/rju154
Long-term survival after thoracoscopic enucleation of a gastrointestinal stromal tumor arising from the esophagus
Tamami Isaka and others
Journal of Surgical Case Reports, Volume 2015, Issue 2, February 2015, rju155, https://doi.org/10.1093/jscr/rju155
Sural artery injury with arteriovenous fistula: case report about a rare complication following arthroscopic medial meniscectomy
Nick J.H.M. In den Kleef and others
Journal of Surgical Case Reports, Volume 2015, Issue 2, February 2015, rju156, https://doi.org/10.1093/jscr/rju156
Multiple vascular and enteric fistulas into an anal pouch
Michael Hughes and Jesper Roos
Journal of Surgical Case Reports, Volume 2015, Issue 2, February 2015, rju157, https://doi.org/10.1093/jscr/rju157
Metaplastic breast carcinoma; melanocytic variant, a very rare tumour
Martin A. Nzegwu and others
Journal of Surgical Case Reports, Volume 2015, Issue 2, February 2015, rju158, https://doi.org/10.1093/jscr/rju158
Hemobilia post laparoscopic cholecystectomy
Thamer A. Bin Traiki and others
Journal of Surgical Case Reports, Volume 2015, Issue 2, February 2015, rju159, https://doi.org/10.1093/jscr/rju159
Perforation of the gallbladder: a rare cause of acute abdominal pain
Joep B. Ponten and others
Journal of Surgical Case Reports, Volume 2015, Issue 2, February 2015, rju160, https://doi.org/10.1093/jscr/rju160
A case of incarcerated umbilical hernia in an adult treated by laparoscopic surgery
Takaaki Tsushimi and others
Journal of Surgical Case Reports, Volume 2015, Issue 2, February 2015, rjv001, https://doi.org/10.1093/jscr/rjv001
Propionibacterium avidum infection following breast reduction: high morbidity from a low-virulence pathogen
Pietro G. di Summa and others
Journal of Surgical Case Reports, Volume 2015, Issue 2, February 2015, rjv002, https://doi.org/10.1093/jscr/rjv002
Sweet syndrome: a lesson in the management of the cutaneous lesions of malignancy
Philippa Leighton and Rouin Amirfeyz
Journal of Surgical Case Reports, Volume 2015, Issue 2, February 2015, rjv003, https://doi.org/10.1093/jscr/rjv003
Vesicocutaneous fistula treatment by using omental flap interposition
Cem Basatac and Mehmet Cagatay Cicek
Journal of Surgical Case Reports, Volume 2015, Issue 2, February 2015, rjv004, https://doi.org/10.1093/jscr/rjv004
A case of abdominal trauma
Georgina C. Stephens and Matthew H. Claydon
Journal of Surgical Case Reports, Volume 2015, Issue 2, February 2015, rjv005, https://doi.org/10.1093/jscr/rjv005
An unusual case of pulmonary embolism
Prabhat Khakural and others
Journal of Surgical Case Reports, Volume 2015, Issue 2, February 2015, rjv006, https://doi.org/10.1093/jscr/rjv006
Advertisement
Advertisement















