Issue navigation
Volume 2014, Issue 3, March 2014
Case reports
Spontaneous surgical emphysema of the larynx following hyperextension of the neck
Jeremy Batt and others
Journal of Surgical Case Reports, Volume 2014, Issue 3, March 2014, rju003, https://doi.org/10.1093/jscr/rju003
Ipilimumab-induced colonic perforation
Lyle Burdine and others
Journal of Surgical Case Reports, Volume 2014, Issue 3, March 2014, rju010, https://doi.org/10.1093/jscr/rju010
A painless swelling of the abdominal wall
D.-A.A. Lamprou and L.G. van der Hem
Journal of Surgical Case Reports, Volume 2014, Issue 3, March 2014, rju011, https://doi.org/10.1093/jscr/rju011
Chylous mesenteric cysts: a rare surgical challenge
Lorenzo Dioscoridi and others
Journal of Surgical Case Reports, Volume 2014, Issue 3, March 2014, rju012, https://doi.org/10.1093/jscr/rju012
Enteropathy associated T-cell lymphoma presenting with multiple episodes of small bowel haemorrhage and perforation
Amy H. Pun and others
Journal of Surgical Case Reports, Volume 2014, Issue 3, March 2014, rju013, https://doi.org/10.1093/jscr/rju013
Intercalary endoprosthesis for salvage of failed intraoperative extracorporeal autogeneous irradiated bone grafting (IORBG) reconstruction
Kenichiro Hamada and others
Journal of Surgical Case Reports, Volume 2014, Issue 3, March 2014, rju014, https://doi.org/10.1093/jscr/rju014
Discovery of a rare ileocecal plasmacytoma
Emmanuel M. Gabriel and Michelle Savu
Journal of Surgical Case Reports, Volume 2014, Issue 3, March 2014, rju016, https://doi.org/10.1093/jscr/rju016
Indirect inguinal hernia sac containing testis and spermatic cord in an adult patient with cryptorchidism
Yusuf Arslan and others
Journal of Surgical Case Reports, Volume 2014, Issue 3, March 2014, rju017, https://doi.org/10.1093/jscr/rju017
Anterior knee pain: an unusual presentation of renal cell carcinoma
John Broomfield and others
Journal of Surgical Case Reports, Volume 2014, Issue 3, March 2014, rju018, https://doi.org/10.1093/jscr/rju018
Searching for the G spot in the urinary bladder: autoerotism and potential complications
Marius Craciun and others
Journal of Surgical Case Reports, Volume 2014, Issue 3, March 2014, rju020, https://doi.org/10.1093/jscr/rju020
A rare three part proximal ulnar shear fracture requiring innovative reduction and fixation in a paediatric elbow
S.W.J. Lee and others
Journal of Surgical Case Reports, Volume 2014, Issue 3, March 2014, rju021, https://doi.org/10.1093/jscr/rju021
Single incision laparoscopic surgery technique for transanal removal of rectal foreign body
Bachir Elias and others
Journal of Surgical Case Reports, Volume 2014, Issue 3, March 2014, rju022, https://doi.org/10.1093/jscr/rju022
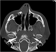
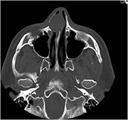
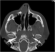
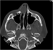
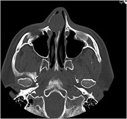
A surprising cause of unilateral nasal obstruction and epistaxis: nasal septal schwannoma
Brandon Cadd and others
Journal of Surgical Case Reports, Volume 2014, Issue 3, March 2014, rju023, https://doi.org/10.1093/jscr/rju023
Advertisement
Advertisement












