-
PDF
- Split View
-
Views
-
Cite
Cite
S.W.J. Lee, O. Murray, R. Duncan, A rare three part proximal ulnar shear fracture requiring innovative reduction and fixation in a paediatric elbow, Journal of Surgical Case Reports, Volume 2014, Issue 3, March 2014, rju021, https://doi.org/10.1093/jscr/rju021
Close - Share Icon Share
Abstract
Fracture of the proximal ulna in children is an uncommon injury with various classification models. An 8-year-old boy presented to our emergency department with an isolated three part intra-articular fracture of his right proximal ulna from an extension injury sustained during skiing which has not been previously described in the literature. He was taken to the operating room for open reduction and internal fixation. Two cannulated screws positioned in a posterior–anterior direction were used to hold the reduction. He was discharged from the hospital 24 h post-reduction in a complete cast. At 5 weeks follow-up, his elbow radiographs indicate no loss of reduction and at 4 months follow-up, he has regained a full range of movement at the elbow joint. The cannulated screws were left in situ as it did not cause him any harm. We propose that the described fracture pattern should be managed by open reduction and internal fixation (cannulated screws used to hold the reduction, position in a posterior–anterior direction).
INTRODUCTION
Fracture of the proximal ulna in children is an uncommon injury accounting for between 4 and 7% of paediatric elbow fractures [1]. It may occur as a result of a direct blow to the elbow or an indirect injury where the forces are transmitted up the arm as a result of a fall on the outstretched hand [1–3]. The arrangement of the ossification centres around the elbow can make the diagnosis of a fracture in this region more difficult, in particular the olecranon apophysis may resemble a fracture line [2].
Various classification systems for olecranon fractures have been described. The authors have focussed on different aspects of the injury [4–7]. We report a patient who had an isolated intra-articular proximal ulna fracture from an extension injury. The fracture pattern sustained by this patient has not been previously described in the literature.
CASE
An 8-year-old boy presented with an extension injury to his dominant right elbow, sustained as a result of a fall on a dry ski slope. Examination demonstrated tenderness and swelling of the right proximal forearm with a reduced range of motion. There was no neurological or vascular compromise. Admission radiographs (Fig. 1) and computer tomography scans (Fig. 2) showed a displaced intra-articular, three-part fracture of the right proximal ulna with a fracture line principally in the coronal plane. The radio-capitellar alignment was preserved.

(A) Anterior–posterior radiograph of the elbow and (B) lateral radiograph of the elbow. Admission right elbow radiographs.

Computer tomography 3D reconstruction of the fracture pattern. Right elbow computer tomography admission images.
Under general anaesthesia, the fracture was clearly visualized using a medial approach to the proximal ulna, splitting the flexor muscle mass longitudinally. Minimal dissection was required distally secondary to a traumatic defect in flexor carpi ulnaris. The ulnar nerve was identified and protected throughout. Following reduction the fracture was fixed securely using 2 × 4.0 mm partially threaded cannulated screws; the guide wires were passed in an anterior to posterior direction and the screws were inserted from posterior to anterior through two separate stab incisions on the subcutaneous ulnar border for ease of removal in the future. The elbow was taken through a full range of motion and satisfactory fluoroscopic images were obtained (Fig. 3). A posterior long arm back slab was applied and completed the following day prior to discharge.

(A) Anterior–posterior and (B) lateral fluoroscopy images with two cannulated screws in situ. Fluoroscopy images taken in theatre post-fracture fixation.
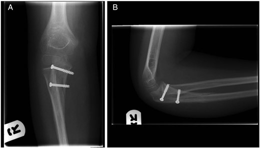
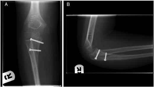
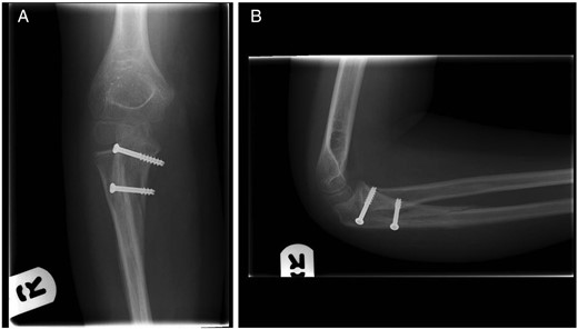
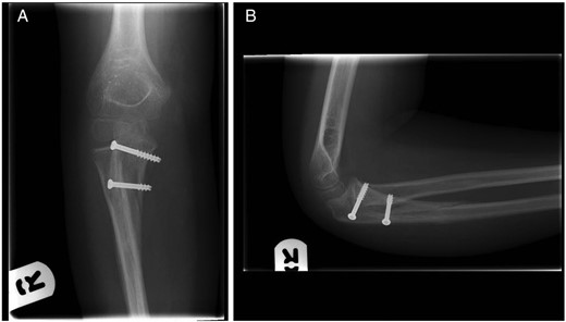
Five weeks following surgery, the fracture had clinically united and radiographs demonstrated maintenance of alignment and evidence of healing (Fig. 4). At a final review 4 months post-operatively he had a full range of motion of the elbow and forearm with no distal neurovascular deficit. The metalwork was not causing irritation and was therefore left in place.

(A) Anterior–posterior and (B) lateral radiographs of the right elbow. Images taken at 5 weeks post-reduction.
DISCUSSION
Various classifications systems have been proposed for olecranon fracture in children. Gicquel et al. [4] described a five category classification system which is based on the localization and direction of the fracture line. Caterini et al. [5] suggested a five type classification system which considered the degree of fracture displacement and the association with other injuries in addition to the direction of the fracture line. Evans and Graham [6] described a more complex classification system which places an emphasis on the anatomical site, fracture configuration, degree of intra-articular displacement and other associated injuries. Other classification models have considered the mechanism of injury and the type of fracture produced as a result [7]. Flexion type injuries may produce avulsion fractures and/or metaphyseal fractures of the olecranon, whereas extension type injuries produce greenstick type fractures of the olecranon with longitudinal fracture lines which have an association with other injuries in 40–70% of cases [7]. Our case resulted from an extension type injury and to the best of our knowledge, the resulting fracture pattern does not fall into any current classification system.
The appropriate management of proximal ulna and olecranon fractures depends on the type of fracture, anatomical site, fracture displacement, extensor mechanism integrity and the presence of other associated injuries [6]. In most olecranon fractures with minimal displacement, the fracture can be managed by immobilization [8]. When surgical intervention is required, the techniques that have been advocated include tension-band wiring and the use of screws or absorbable sutures [2,3,9,10].
In this case report, open reduction and internal fixation was required because of the site and displacement of the fracture. An extended medial approach to the elbow provided excellent access to visualize, reduce and provisionally hold the fracture fragments, whilst protecting the ulnar nerve. We decided to insert the screws from posterior to anterior so that screw removal would not require the use of the same incision because of the risk of damage to the ulnar nerve in particular. Furthermore, prominent screw tips along the subcutaneous border are more likely to cause irritation than buried screw heads. Potential complications from this procedure are heterotrophic ossification and compartment syndrome.
We report a case of a displaced intra-articular three-part isolated proximal ulna fracture that has not been reported or classified in previous literature, to our knowledge. Fracture stabilization was achieved with two cannulated screws placed in a posterior to anterior direction separate from the main dissection directed by guide wires placed under direct visualization. This method of open reduction and internal fixation allows for safer future removal of metalwork should it be required, in this rare paediatric fracture.
FUNDING
None.