-
PDF
- Split View
-
Views
-
Cite
Cite
Brandon Cadd, Curtis Offiah, Ghassan Alusi, A surprising cause of unilateral nasal obstruction and epistaxis: nasal septal schwannoma, Journal of Surgical Case Reports, Volume 2014, Issue 3, March 2014, rju023, https://doi.org/10.1093/jscr/rju023
Close - Share Icon Share
Abstract
Schwannomas of the head and neck are the most common form of benign nerve sheath tumours, most commonly arising in the form of vestibular schwannomas. Schwannoma of the nasal cavity is an uncommon presentation of this pathology and specifically Schwannoma of the nasal septum is a rare presentation of this well understood disease process. We present the case of a 31-year-old Eastern European male who presented with unilateral nasal obstruction, congestion and epistaxis of 3 months duration. After imaging and biopsy, the diagnosis of nasal septal schwannoma was made on histological examination. This diagnosis of a unilateral nasal mass in a young man provides an opportunity to discuss the varied presentations of schwannoma as well as to examine to possible causes of nasal and septal masses in this demographic.
INTRODUCTION
Schwannoma is a well understood, benign, slow-growing nerve sheath tumour that can arise in any peripheral nerve covered with supporting Schwann cells [1]. The most common region for schwannoma is the head and neck with the internal acoustic meatus being the most common site for presentation of schwannoma in the form of vestibular schwannoma (previously known as acoustic neuroma) [1–5]. Within the head and neck, sinonasal origin of schwannomas makes up only 4% of schwannoma presentations [6]. Nasal septal schwannoma is rarer still, with few cases previously reported in the literature [1–6].
CASE REPORT
A 31-year-old male of Eastern European origin, who was referred to our clinic after a 3-month history of unilateral nasal obstruction, swelling and sporadic, short lasting episodes of epistaxis. He had noticed a swelling of his right lateral nasal wall. On examination there appeared to be a large, right-sided nasal polypoidal mass, which seemed to be occluding most of the right nasal airway. Mucosa was smooth, and appeared healthy; however, the nasal septum was deviated significantly to the left side of the nose. Endoscopic examination of his pharynx, larynx and contra-lateral side of his nose was otherwise normal. There was no palpbable lymphadenopathy, and the rest of the ear nose and throat and physical examinations were normal.
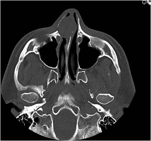
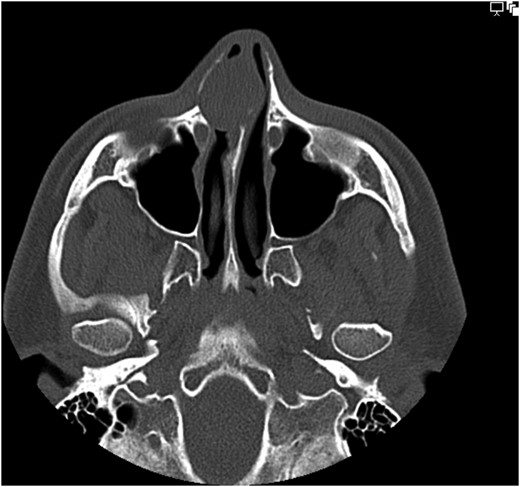
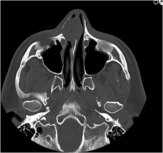
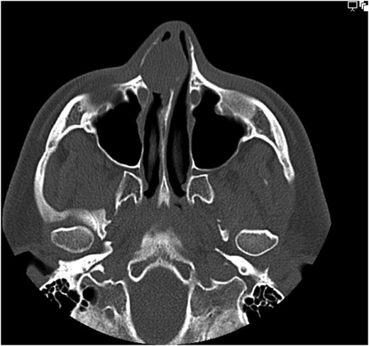
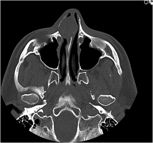
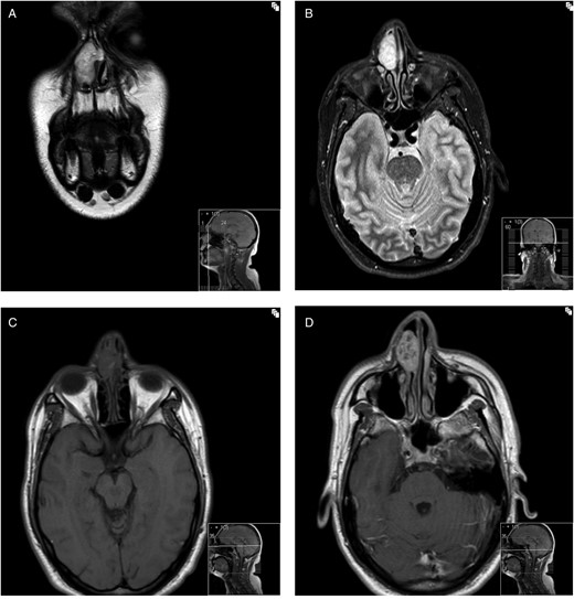
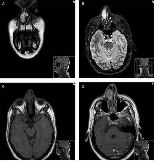
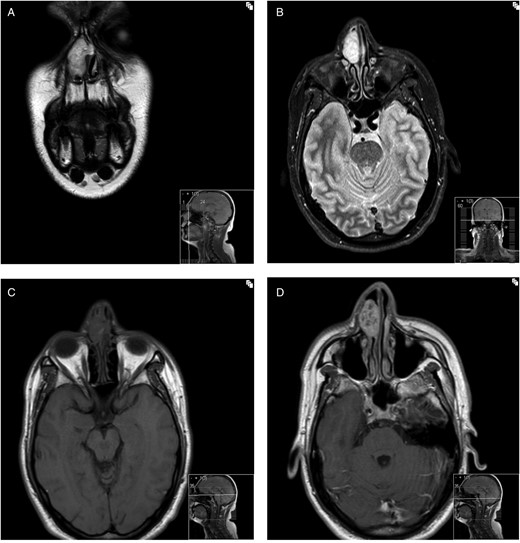
Non-contrast CT assessment of the sinonasal region was performed which revealed a soft tissue lesion arising from the right side of the nasal septum (Fig. 1). At the initial discussion at the local head and neck multidisciplinary team meeting, radiological opinion was that the lesion may possibly represent olfactory neuroblastoma, inverted papilloma or pleomorphic adenoma of the septum and that MRI would be beneficial in diagnosis. MRI imaging of the lesion showed general increased T2 signal but with heterogeneous nodular T2 heterogeneity (Fig. 2a and b). On the unenhanced axial T1-weighted sequence a small focus of T1 shortening was noted in keeping with some low volume focal cystic degeneration within the tumour (Fig. 2c).


(A) Coronal image of T2-weighted turbo spin echo (TSE) MRI of the sinonasal region. (B) Axial image of STIR (short tau inversion recovery) MR sequence through the sinonasal region. (C) Axial image of T1-weighted MR sequence through the sinonasal regions. (D) Post-contrast T1-weighted axial image through the sinonasal region.
Urgent biopsy of the nasal lesion was arranged and tissue on initial histologic examination revealed mixed Antoni A and B substructure and when stained with S100, had a moderate uptake, confirming a diagnosis of schwannoma of the nasal septum. Later this patient underwent a mid-facial de-gloving approach for excisional biopsy of the entire tumour which was performed as an elective, non-urgent admission. Excisional biopsy histopathological staining was consistent with that of the biopsy, reaffirming the diagnosis of septal schwannoma. Deep margins of the specimen contained schwannoma tissue.
Post-operatively the patient continues to be well and has had no complications after removal of the lesion. There was no sign of septal perforation on any review and the area of the initial lesion had re-epithelialized. No sign of deep margin recurrence has been found.
DISCUSSION
To date, only 20 case reports of nasal septal schwannoma have been published in western literature. Imaging of the lesion proved typically non-specific as would be expected from the previous literature on the subject, and as such this is a diagnosis made on biopsy or complete excision. Biopsies typically show Antoni A or B cell structures under basic haematoxylin and eosin staining and will also have a strong staining with S100 under immunohistochemistry [6].
As with all schwannoma, nasal septal schwannoma is a benign tumour originating from the Schwann cells of peripheral nerves. In this case, it is likely from the somatosensory nerves of the nasal septum (nasopalatine nerve or nasociliary nerve branches). Typically schwannomas arise from larger peripheral nerves such as the vestibulo-cochlear nerve (CN VIII), sympathetic trunk or vagus nerve; however, can rarely be seen in smaller nerves of the head and neck where nerve of origin is exceptionally difficult to assess [1, 3, 6].
On consideration of our patient's history, it is striking that a variety of different pathologies were suggested as possible causes for his nasal growth. The presence of septal schwannoma is interesting because it is a very rare presentation of a well-understood disease process. In a 2010 study, it was found that of those cases presenting with a unilateral nasal mass, the most common diagnoses were: nasal polyposis (22%), antrochoanal polyp (19%), chronic rhinosinusits (13%), concha bullosa (11%), inverted papilloma (6%) and retention cysts (6%) [6]. Many other causes were found less commonly and included fibrous dysplasia, mucocoele, lymphoma, schwannoma, ameloblastoma, pleomorphic adenoma, myxoma and squamous cell carnioma [6]. Such a wide variety of possible pathologies in unilateral obstruction illustrate the difficulties in diagnosis of nasal lesions by imaging alone; however, the location of the lesion does help to narrow the diagnosis as septal lesions are less common than sinonasal lesions [7]. Acquired soft tissue lesions of the nasal septum most commonly represent inflammatory processes (such as sarcoidosis, Wegener's granulomatosis, foreign body granuloma and other autoimmune causes), neoplastic lesions (basal cell carcinoma, squamous cell carcinoma, esthesioneuroblastoma and nerve sheath tumours, sarcomas and melanoma) and infective processes [7].
The MRI findings in the previous cases reported in the literature have shown specific appearances including the ‘target sign’ which this lesion did not exhibit and the ‘fascicular sign’ which this lesion did exhibit on the T2-weighted sequence [1, 7, 8]. The presence of these appearances may raise the possibility of a nerve sheath tumour [8].
The presenting symptoms of nasal septal schwannomas usually involve occlusion, epistaxis, congestion and nasal swelling [1–6]. Septal schwannomas do tend to present early due to the limited room for growth within the nasal cavity and as such a significant portion of the previous cases did not require imaging and the diagnosis was made on excisional biopsy alone [1]. Given the large variability of unilateral nasal mass pathologies, the diagnosis of septal schwannoma requires a high degree of suspicion or a clear illustration of the Antoni A or B cell structures on histological examination [5]. Aspects which would raise the likelihood of a unilateral nasal mass would include a slow-growing history, absence of malignant clinical history and typical findings on CT (non-specific soft tissue mass) and MRI as described above. Excisional biopsy is typically curative for these patients and no reports of recurrence have been published to date [1–6].
CONFLICT OF INTEREST STATEMENT
This article and it's authors received no specific grant from any funding agency, commercial or not-for-profit sectors and there are no known conflicts of interest. The authors received no funding in compiling this article and have neither conflicts of interest nor financial disclosures to declare with regard to the submission of this case report. This case report is not currently submitted elsewhere.