-
PDF
- Split View
-
Views
-
Cite
Cite
Amy H. Pun, Harry Kasmeridis, Nicholas Rieger, Arun Loganathan, Enteropathy associated T-cell lymphoma presenting with multiple episodes of small bowel haemorrhage and perforation, Journal of Surgical Case Reports, Volume 2014, Issue 3, March 2014, rju013, https://doi.org/10.1093/jscr/rju013
Close - Share Icon Share
Abstract
Enteropathy-associated T cell lymphoma (EATCL) is an intestinal neoplasm of intra-epithelial T lymphocytes associated with coeliac disease. Although the incidence is rare, EATCL runs an aggressive disease course and produces multi-focal ulcerative lesions most commonly in the proximal small bowel. As such, patients may present with intestinal perforation, obstruction or haemorrhage. Management of EATCL requires a combination of early diagnosis and treatment by surgical resection followed by chemotherapy to achieve treatment success. Overall however, the treatment completion rate remains at 50% and EATCL carries a poor prognosis with a 5-year survival rate of <20%.
INTRODUCTION
Enteropathy-associated T cell lymphoma (EATCL) arises from malignant transformation of intra-epithelial T lymphocytes (IEL). This intestinal neoplasm most commonly involves the proximal small bowel and is thought to be a consequence of coeliac disease (CD). Macroscopically, EATCL presents as multi-focal ulcerative lesions and as such, the potential for intestinal perforation, obstruction or refractory haemorrhage is significant.
This high-grade neoplasm can represent a management challenge to the surgeon and awareness of this rare complication of CD is required to achieve a successful outcome. We present a pictorial case of recurrent episodes of small bowel haemorrhage and perforation secondary to EACTL.
CASE REPORT
A 60-year old male patient presented to Haematology with weight loss, rectal bleeding and night sweats. He underwent a CT and MRI scan, which showed circumferential thickening of the jejunum and mesenteric lymphadenopathy. A laparoscopic lymph node biopsy was performed but the histology was inconclusive. Endoscopy and push enteroscopy with biopsies showed multiple jejunal ulcers with histological evidence of CD.
He represented 4 weeks later with massive rectal bleeding and haemodynamic instability and was taken to theatre. On table endoscopy and enteroscopy identified multiple bleeding ulcers in the mid–jejunum and so a jejunal resection and primary anastomosis was performed.
A week post-operatively he developed recurrent rectal bleeding. A colonoscopy, red blood cell (RBC) scan and CT angiography (CTA) were performed but failed to localize the site. Later that day he had further episodes of large volume rectal bleeding and a repeat CTA identified the jejunal anastomosis as the site of bleeding (Fig. 1). He underwent table endoscopy and re-laparotomy and the anastomosis was resected and the jejunum re-anastomosed. Post-operatively the bleeding settled and he was discharged home 2 weeks later.

Arteriogram showing active bleeding from branch of the superior mesenteric artery into the jejunum (arrowed), which was subsequently embolized.
Pathological examination of the small bowel lumen showed numerous ulcers ranging up to 30 mm in diameter with no discreet mass lesion. Histological examination showed that these ulcers penetrated to differing levels including some that were the full thickness of the bowel wall (Fig. 2).

Resected segment of jejunum showing numerous ulcers ranging up to 30 mm in diameter with no discreet mass lesion. Histological examination showed these ulcers penetrated to differing levels including the full thickness of the bowel wall.
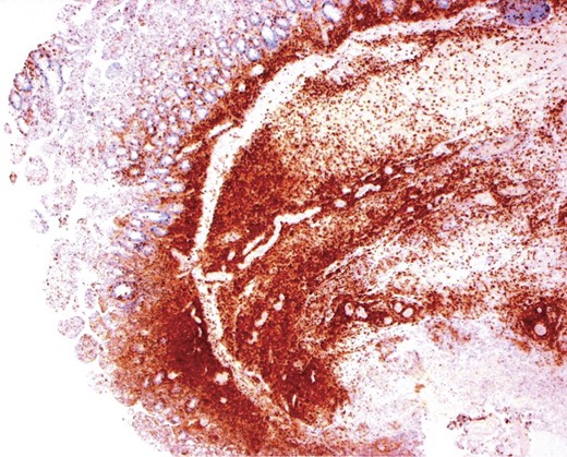
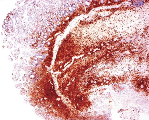
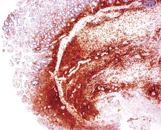
Immunohistochemical staining confirmed the lymphocytes adjacent to the areas of ulceration were CD3+ T cells, co-expressing CD8 but negative for CD4 and CD5 (Fig. 3). The immunoprofile of lymphocytes seen in association with coeliac disease amounted to an EATCL.

CD8 immunohistochemical stain, small bowel: brown staining indicating the CD8+ T lymphocytes in the mucosa and remaining bowel wall. The large amount of T-lymphocytes is surprising given the more subtle H&E appearance.
Two weeks after discharge he commenced three agent chemotherapy (cyclophosphomide, vincristine, prednisolone). Approximately 10 h after this he developed severe abdominal pain and signs of peritonism. A CT scan showed free intra-peritoneal gas and a re-laparotomy was performed. Two spontaneous small bowel perforations were found proximal and distal to prior small bowel anastomosis and these were oversewn. On the fourth post-operative day he developed malaena and rectal bleeding. A CTA showed bleeding from a branch of the superior mesenteric artery, which was embolized with three tornado coils and haemostasis was achieved. A day later however he had ongoing rectal bleeding at which stage a decision was made not to perform any further interventions due to the poor prognosis and he subsequently passed away 3 days later.
DISCUSSION
The majority of primary gastrointestinal lymphomas are of B-cell origin. EATCL is rare but over-represented in regions where the incidence of CD is seen with greater frequency. The annual incidence of EATCL in Western countries is 0.5–1 per million [1]. There is a predilection for males in their sixth decade of life [1, 2].
Based on the World Health Organisation classification of haematological malignancies, there are two types of EATCL. In 2–3% of CD, malignant transformation occurs on a continuum from a refractory state with IEL aberrations to ulcerative jejunitis before developing into EATCL type I [3]. The time lag between diagnosis of coeliac disease and EATCL can vary from 2 months to 5 years. In contrast, EATCL type II appears to arise de novo, although possibly these patients have had lifelong, subclinical coeliac disease [4].
The initial presentation of EATCL may be as non-specific as weight loss and abdominal pain, or it may present as a surgical emergency, with intestinal perforation or obstruction [5]. There have been previous reports in the literature of EACTL presenting with either small bowel or colonic perforation and rectal bleeding but no previous reports of both in the same patient [6–9].
Unlike other gastrointestinal lymphomas, surgery plays a key role in the management of EATCL. Where feasible, surgical resection should be performed prior to initiation of chemotherapy as EATCL lesions have a propensity to readily perforate, as was illustrated in our case [10]. Recently, some centres have used adjuvant stem cell transplantation with encouraging results. Despite evolving treatment practices, relapses occur within a matter of months and the overall prognosis for EATCL remains poor with a 5-year overall survival of <20% [5, 10]. Patients seldom complete the prescribed treatment due to malnourishment, poor performance status and treatment-related complications.
In conclusion, this was a case involving an aggressive disease process and it is likely that once the disease process was well established that surgical intervention would not be successful. With the benefit of retrospect, it is conceivable that earlier surgical intervention with resection of affected jejunum prior to the development of gastrointestinal bleeding may have allowed more timely diagnosis and commencement of chemotherapy while the patient was well nourished and stable. This may have been the only opportunity to avert this poor outcome. It is therefore important that surgeons are aware of the aggressive nature of this condition and that there is a limited window for successful surgical intervention.