Issue navigation
    
     Volume 2014, Issue 10, October 2014 
        
        Case Reports
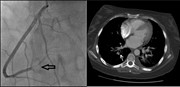
Right atrial myxoma with a large tumor embolus in the left pulmonary artery
                                        Akihiko Ikeda and others
                                    
                                    Journal of Surgical Case Reports, Volume 2014, Issue 10, October 2014, rju115, https://doi.org/10.1093/jscr/rju115
                                    A traumatic superficial temporal artery aneurysm after a bicycle accident
                                        Egbert J.D. Veen and others
                                    
                                    Journal of Surgical Case Reports, Volume 2014, Issue 10, October 2014, rju112, https://doi.org/10.1093/jscr/rju112
                                    Fatal fungal infection: the living dead
                                        Sankar Narayanan ML and others
                                    
                                    Journal of Surgical Case Reports, Volume 2014, Issue 10, October 2014, rju104, https://doi.org/10.1093/jscr/rju104
                                    Rare skeletal muscle metastasis after radical nephrectomy for renal cell carcinoma: evaluation of two cases
                                        Guray Togral and others
                                    
                                    Journal of Surgical Case Reports, Volume 2014, Issue 10, October 2014, rju101, https://doi.org/10.1093/jscr/rju101
                                    Unusual cause of pneumomediastinum in a laparoscopic extraperitoneal inguinal hernia repair
                                        Tze Yeong Teng and Cheryl Chien-Li Lau
                                    
                                    Journal of Surgical Case Reports, Volume 2014, Issue 10, October 2014, rju106, https://doi.org/10.1093/jscr/rju106
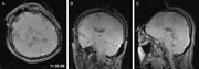
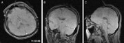
                                    Chronic cough as a presenting feature of cerebral lymphoma
                                        Stephen P. Williams and Mahmood F. Bhutta
                                    
                                    Journal of Surgical Case Reports, Volume 2014, Issue 10, October 2014, rju109, https://doi.org/10.1093/jscr/rju109
                                    Transverse testicular ectopia: a rare association with inguinal hernia
                                        Prakash Dahal and others
                                    
                                    Journal of Surgical Case Reports, Volume 2014, Issue 10, October 2014, rju097, https://doi.org/10.1093/jscr/rju097
                                    A case of loss of consciousness with contralateral acute subdural haematoma during awake craniotomy
                                        Kotoe Kamata and others
                                    
                                    Journal of Surgical Case Reports, Volume 2014, Issue 10, October 2014, rju098, https://doi.org/10.1093/jscr/rju098
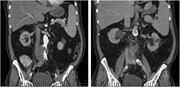
                                    A rare case of ovarian cancer in pregnancy complicated by pulmonary embolus and myocardial infarction: management dilemmas
                                        Sara Nasser and others
                                    
                                    Journal of Surgical Case Reports, Volume 2014, Issue 10, October 2014, rju099, https://doi.org/10.1093/jscr/rju099
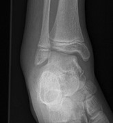
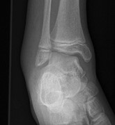
                                    Unusual fracture combination in a paediatric acute ankle (combined medial talar compression fracture with medial malleolus fracture in an immature skeleton): a case report
                                        Sebastien Crosswell and others
                                    
                                    Journal of Surgical Case Reports, Volume 2014, Issue 10, October 2014, rju100, https://doi.org/10.1093/jscr/rju100
                                    Traumatic ventricular septal defect resulting in severe pulmonary hypertension
                                        Joseph G. Crompton and others
                                    
                                    Journal of Surgical Case Reports, Volume 2014, Issue 10, October 2014, rju107, https://doi.org/10.1093/jscr/rju107
                                    Stent graft infection secondary to appendicitis: an unusual complication of endovascular abdominal aortic aneurysm repair
                                        Kalpa G. Perera and others
                                    
                                    Journal of Surgical Case Reports, Volume 2014, Issue 10, October 2014, rju108, https://doi.org/10.1093/jscr/rju108
                                    Advertisement
            Advertisement
            
                
                                









