Issue navigation
Volume 2025, Issue 3, March 2025
Case Reports
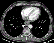
Surgical treatment option for incidental azygos vein aneurysm: a case report
Angel Guan and others
Journal of Surgical Case Reports, Volume 2025, Issue 3, March 2025, rjaf089, https://doi.org/10.1093/jscr/rjaf089
Dedifferentiated liposarcoma of transverse colon: a case report and review of the literature
Nicole Hawkins and Chrispen Mushaya
Journal of Surgical Case Reports, Volume 2025, Issue 3, March 2025, rjaf097, https://doi.org/10.1093/jscr/rjaf097
Common hepatic bile duct partial transection: a rare consequence of blunt abdominal trauma. A case report and brief narrative review
Mohamed Abdelgawad and others
Journal of Surgical Case Reports, Volume 2025, Issue 3, March 2025, rjaf101, https://doi.org/10.1093/jscr/rjaf101
Robot-assisted corpo-caudal pancreatectomy and splenectomy for pancreatic acinar cell carcinoma: a case report
Muñoz Andrade Luis and Nevarez Francisco
Journal of Surgical Case Reports, Volume 2025, Issue 3, March 2025, rjaf112, https://doi.org/10.1093/jscr/rjaf112
A novel approach used for reconstruction of facial blast wound injury—a case report from the Russo-Ukrainian war
Igor A Lurin and others
Journal of Surgical Case Reports, Volume 2025, Issue 3, March 2025, rjae709, https://doi.org/10.1093/jscr/rjae709
Breaking new ground: penetrating trauma and cisterna chyli injury: a case report
Nawaf AlShahwan and others
Journal of Surgical Case Reports, Volume 2025, Issue 3, March 2025, rjaf093, https://doi.org/10.1093/jscr/rjaf093
Hemoperitoneum complicating uterine fibroid: case report
Charles Mawunyo Senaya and others
Journal of Surgical Case Reports, Volume 2025, Issue 3, March 2025, rjaf095, https://doi.org/10.1093/jscr/rjaf095
Advanced rectal cancer in an 11-year-old Sudanese patient with rare metastatic site: a case report
Nadir Ali Hilal and others
Journal of Surgical Case Reports, Volume 2025, Issue 3, March 2025, rjaf096, https://doi.org/10.1093/jscr/rjaf096
Ascending colon carcinoma presenting as ileocecal intussusception in an adult—a case report with review of literature
Areeba Khursheed and others
Journal of Surgical Case Reports, Volume 2025, Issue 3, March 2025, rjaf110, https://doi.org/10.1093/jscr/rjaf110
Hepatitis A-associated jaundice, intermittent abdominal pain, and hepatic cystic mass: case report
Alaa Aljohani and others
Journal of Surgical Case Reports, Volume 2025, Issue 3, March 2025, rjaf113, https://doi.org/10.1093/jscr/rjaf113
A hybrid approach to multiple endoleaks in a patient with situs inversus totalis
Guorui Liang and others
Journal of Surgical Case Reports, Volume 2025, Issue 3, March 2025, rjaf116, https://doi.org/10.1093/jscr/rjaf116
Left portal vein thrombosis as an unusual complication following acute cholecystitis: case report and literature review
Faisal A Almudaiheem and others
Journal of Surgical Case Reports, Volume 2025, Issue 3, March 2025, rjaf118, https://doi.org/10.1093/jscr/rjaf118
Synchronous cancers including parathyroid carcinoma with urinary calculus as the initial sign
Yoshihiro Kawaguchi and others
Journal of Surgical Case Reports, Volume 2025, Issue 3, March 2025, rjaf121, https://doi.org/10.1093/jscr/rjaf121
Delayed cardiac tamponade caused by erosion 5Â years after percutaneous closure of atrial septal defect with Figulla Flex II: a case report
Kazuki Sakumoto and others
Journal of Surgical Case Reports, Volume 2025, Issue 3, March 2025, rjaf104, https://doi.org/10.1093/jscr/rjaf104
Incarcerated lateral inguinal hernia following ilioinguinal lymph node dissection: an unusual case
Mansha Jiwane and others
Journal of Surgical Case Reports, Volume 2025, Issue 3, March 2025, rjaf107, https://doi.org/10.1093/jscr/rjaf107
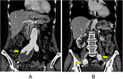
Left anterior paraduodenal hernia: a rare observation and clinical implications
Tarik Deflaoui and others
Journal of Surgical Case Reports, Volume 2025, Issue 3, March 2025, rjaf120, https://doi.org/10.1093/jscr/rjaf120
Efficacy of the ‘hole-punch’ technique in recurrent auricular hematoma after excisional hemangioma: a case report
Ali S Al Shahrani and others
Journal of Surgical Case Reports, Volume 2025, Issue 3, March 2025, rjaf124, https://doi.org/10.1093/jscr/rjaf124
Transapical aortic valve replacement and concomitant coronary bypass grafting in on-pump beating fashion: a case report
Shougo Takahashi and others
Journal of Surgical Case Reports, Volume 2025, Issue 3, March 2025, rjaf119, https://doi.org/10.1093/jscr/rjaf119
Surgical management of oligometastatic recurrence in primary esophageal melanoma: a feasible approach in resource-limited settings
Yurii Kondratskyi and others
Journal of Surgical Case Reports, Volume 2025, Issue 3, March 2025, rjaf123, https://doi.org/10.1093/jscr/rjaf123
Posterior cervical instrumented fusion case complicated by acute generalized erythematous pustulosis
Ali Bakhsh and others
Journal of Surgical Case Reports, Volume 2025, Issue 3, March 2025, rjaf126, https://doi.org/10.1093/jscr/rjaf126
Prurigo pigmentosa following laparoscopic sleeve gastrectomy: a case report
Faisal A Almudaiheem and others
Journal of Surgical Case Reports, Volume 2025, Issue 3, March 2025, rjaf128, https://doi.org/10.1093/jscr/rjaf128
Gallbladder perforation due to the obstructing periampullary duodenal diverticulum (Lemmel’s syndrome): a case report
Shruti Sah and others
Journal of Surgical Case Reports, Volume 2025, Issue 3, March 2025, rjaf129, https://doi.org/10.1093/jscr/rjaf129
Left-sided appendicitis revealing situs inversus: diagnostic challenges and emergency surgical management strategies – a case report
Mohammed Mahmoudi and others
Journal of Surgical Case Reports, Volume 2025, Issue 3, March 2025, rjaf130, https://doi.org/10.1093/jscr/rjaf130
Decision making in surgery: honoring patient autonomy despite high mortality risk in a 36-year-old woman with endocarditis
Renata Sonnenfeld and others
Journal of Surgical Case Reports, Volume 2025, Issue 3, March 2025, rjaf131, https://doi.org/10.1093/jscr/rjaf131
Invasive ductal carcinoma at the site of a cosmetic nipple piercing
Jenny Bui and others
Journal of Surgical Case Reports, Volume 2025, Issue 3, March 2025, rjaf132, https://doi.org/10.1093/jscr/rjaf132
A case report of minimally invasive management of congenital retrocaval ureter
Orna T Cantillon and others
Journal of Surgical Case Reports, Volume 2025, Issue 3, March 2025, rjaf134, https://doi.org/10.1093/jscr/rjaf134
Orbital hydatid cyst from Echinococcus granulosus: a case report
Ammer Alabed and others
Journal of Surgical Case Reports, Volume 2025, Issue 3, March 2025, rjaf135, https://doi.org/10.1093/jscr/rjaf135
Occult breast cancer discovered due to a large mass in the axilla: a case report
Ryusei Yoshino and others
Journal of Surgical Case Reports, Volume 2025, Issue 3, March 2025, rjaf137, https://doi.org/10.1093/jscr/rjaf137
Radiofrequency sacroplasty as a pain treatment for symptomatic sacral destruction due to prostate metastasis: a case report and a review of the literature
Julian Ramin Andresen and others
Journal of Surgical Case Reports, Volume 2025, Issue 3, March 2025, rjae733, https://doi.org/10.1093/jscr/rjae733
Rare presentation of gastric antral web in a neonate: a case report
Ehab Malek Abdelkader and others
Journal of Surgical Case Reports, Volume 2025, Issue 3, March 2025, rjaf133, https://doi.org/10.1093/jscr/rjaf133
A break in the line: anastomotic leak triggered by a traumatic fall
Areen Hassan Haleem and others
Journal of Surgical Case Reports, Volume 2025, Issue 3, March 2025, rjaf125, https://doi.org/10.1093/jscr/rjaf125
Intra pancreatic accessory spleen mimicking pancreatic insulinoma: a case report
Fatima Chait and others
Journal of Surgical Case Reports, Volume 2025, Issue 3, March 2025, rjaf138, https://doi.org/10.1093/jscr/rjaf138
Temporalis muscle abscess with intracranial invasion from odontogenic infection: a case report
So Hee Park
Journal of Surgical Case Reports, Volume 2025, Issue 3, March 2025, rjaf139, https://doi.org/10.1093/jscr/rjaf139
Giant natal cleft epidermal inclusion cyst surgically excised in a young male in Australia
William Layt and others
Journal of Surgical Case Reports, Volume 2025, Issue 3, March 2025, rjaf141, https://doi.org/10.1093/jscr/rjaf141
A rare case of successful staged surgery for giant coronary artery aneurysm, multiple artery aneurysms, and coronary-to-pulmonary artery fistula
Tadashi Kamio and others
Journal of Surgical Case Reports, Volume 2025, Issue 3, March 2025, rjaf154, https://doi.org/10.1093/jscr/rjaf154
Intraluminal migration of a gossypiboma, a rare complication of a problem we should never have to face
Gabriel Medina and others
Journal of Surgical Case Reports, Volume 2025, Issue 3, March 2025, rjaf142, https://doi.org/10.1093/jscr/rjaf142
Synchronous colonic metastasis of sarcomatoid chromophobe renal cell carcinoma. Diagnostic challenges and value of CD10 and vimentin immunostains in diagnosis
Kenza Oqbani and others
Journal of Surgical Case Reports, Volume 2025, Issue 3, March 2025, rjaf145, https://doi.org/10.1093/jscr/rjaf145
Primary pancreatic hydatid cyst—a rare case report with review of literature
Areeba Khursheed and others
Journal of Surgical Case Reports, Volume 2025, Issue 3, March 2025, rjaf150, https://doi.org/10.1093/jscr/rjaf150
Myoepithelial carcinoma of the skin: a case report
Sarra Ben Rejeb and others
Journal of Surgical Case Reports, Volume 2025, Issue 3, March 2025, rjaf151, https://doi.org/10.1093/jscr/rjaf151
Lymphoepithelial cyst of the pancreatic tail: a rare entity with surgical and histopathological insights
William T Rumble and Priscilla Martin
Journal of Surgical Case Reports, Volume 2025, Issue 3, March 2025, rjaf186, https://doi.org/10.1093/jscr/rjaf186
Laparoscopic upper pole partial splenectomy for a complex splenic cyst with selective clamping of the magistral blood supply—a case report
Jessica L O’Sullivan and others
Journal of Surgical Case Reports, Volume 2025, Issue 3, March 2025, rjaf183, https://doi.org/10.1093/jscr/rjaf183
Recurrent pleural effusion: a case of metastatic melanoma 12Â years after initial diagnosis
Olia Poursina and others
Journal of Surgical Case Reports, Volume 2025, Issue 3, March 2025, rjaf144, https://doi.org/10.1093/jscr/rjaf144
From lung to breast: a rare case of metastatic lung adenocarcinoma presenting as a breast lump in a male patient
Elias Edward Lahham and others
Journal of Surgical Case Reports, Volume 2025, Issue 3, March 2025, rjaf148, https://doi.org/10.1093/jscr/rjaf148
Intra-thyroid thyroglossal duct cyst: a case report and review of the literature
Sarra Ben Rejeb and others
Journal of Surgical Case Reports, Volume 2025, Issue 3, March 2025, rjaf152, https://doi.org/10.1093/jscr/rjaf152
Intestinal non-Hodgkin lymphoma with peritoneal lymphomatosis mimicking acute appendicitis
MarÃa Guadalupe Sánchez-Villegas and others
Journal of Surgical Case Reports, Volume 2025, Issue 3, March 2025, rjaf147, https://doi.org/10.1093/jscr/rjaf147
Beyond the ordinary: primary breast lymphoma with diagnostic and therapeutic challenges
Theresia E Mwakyembe and others
Journal of Surgical Case Reports, Volume 2025, Issue 3, March 2025, rjaf149, https://doi.org/10.1093/jscr/rjaf149
Calcifying fibrous tumor of the small intestine
Zouhry Ibrahim and others
Journal of Surgical Case Reports, Volume 2025, Issue 3, March 2025, rjaf158, https://doi.org/10.1093/jscr/rjaf158
Sclerosing encapsulating peritonitis in advanced liver cirrhosis presenting with acute small bowel obstruction: a case report and literature review
Louis Britten-Jones and others
Journal of Surgical Case Reports, Volume 2025, Issue 3, March 2025, rjaf159, https://doi.org/10.1093/jscr/rjaf159
Brown tumor causing pathologic fracture of the ipsilateral femur and pelvis in a pregnant woman: a case report
Kyle Gouveia and others
Journal of Surgical Case Reports, Volume 2025, Issue 3, March 2025, rjaf160, https://doi.org/10.1093/jscr/rjaf160
Post-traumatic diaphragmatic hernia: a rare case of intestinal obstruction
Claudio Guerci and others
Journal of Surgical Case Reports, Volume 2025, Issue 3, March 2025, rjaf163, https://doi.org/10.1093/jscr/rjaf163
A case of spontaneous reduction of incarcerated inguinal hernia caused by Meckel’s diverticulum
Yoko Nakayama and others
Journal of Surgical Case Reports, Volume 2025, Issue 3, March 2025, rjaf157, https://doi.org/10.1093/jscr/rjaf157
Dartos flap rotation for severe congenital penile torsion in a nine-year-old: a case report and surgical insights
Isaack Mlatie and others
Journal of Surgical Case Reports, Volume 2025, Issue 3, March 2025, rjaf164, https://doi.org/10.1093/jscr/rjaf164
A 15-year-old male with embryonal rhabdomyosarcoma of the testis—a rare tumor with unusual presentation
Wael A Abuisneneh and others
Journal of Surgical Case Reports, Volume 2025, Issue 3, March 2025, rjaf166, https://doi.org/10.1093/jscr/rjaf166
Colo-cutaneous fistula: an unusual complication after hemilaminectomy and microdiscectomy
Isabella Zappala and others
Journal of Surgical Case Reports, Volume 2025, Issue 3, March 2025, rjaf167, https://doi.org/10.1093/jscr/rjaf167
Case Series
Effective surgical outcomes of the pararectus approach for psoas abscess: a case series
Yi-Jou Chen and Yi-Hsun Yu
Journal of Surgical Case Reports, Volume 2025, Issue 3, March 2025, rjaf114, https://doi.org/10.1093/jscr/rjaf114
Mesenteric cystic lymphangioma in three adults
Imane Boujguenna and others
Journal of Surgical Case Reports, Volume 2025, Issue 3, March 2025, rjaf115, https://doi.org/10.1093/jscr/rjaf115
Scapular osteochondroma with pseudo-winging: a report of two cases
Konstantina Pouli and others
Journal of Surgical Case Reports, Volume 2025, Issue 3, March 2025, rjaf117, https://doi.org/10.1093/jscr/rjaf117
Two cases of posterior spinal fixation with titanium mesh cage and fenestrated pedicle screw for pyogenic spondylitis
Soei Asuka and others
Journal of Surgical Case Reports, Volume 2025, Issue 3, March 2025, rjaf122, https://doi.org/10.1093/jscr/rjaf122
Utilities of 3D technology for planning endoscopic endonasal approaches. Case series of anatomical-imaging review
Daniel Alejandro Vega-Moreno and others
Journal of Surgical Case Reports, Volume 2025, Issue 3, March 2025, rjaf087, https://doi.org/10.1093/jscr/rjaf087
Case series of high pressure paint injection injuries in single digits in a tertiary referral centre over a one year period
Aine Cotter and others
Journal of Surgical Case Reports, Volume 2025, Issue 3, March 2025, rjaf127, https://doi.org/10.1093/jscr/rjaf127
Correction
Correction to: Simultaneous bilateral deep femoral artery aneurysms: case report of a rare peripheral arterial aneurysm
Journal of Surgical Case Reports, Volume 2025, Issue 3, March 2025, rjaf174, https://doi.org/10.1093/jscr/rjaf174
Advertisement
Advertisement