Volume 2014, Issue 11, November 2014
Case reports
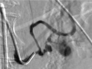
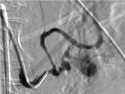
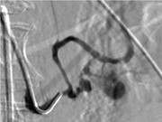
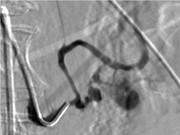
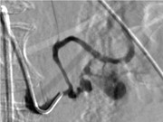
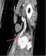
A benign gastric ulcer eroding into a splenic artery pseudoaneurysm presenting as a massive upper gastrointestinal bleed
Shareef M. Syed and others
Journal of Surgical Case Reports, Volume 2014, Issue 11, November 2014, rju102, https://doi.org/10.1093/jscr/rju102
Videoscopic inguinal lymphadenectomy in malignant melanoma: safe in pregnancy?
James R. Davis and others
Journal of Surgical Case Reports, Volume 2014, Issue 11, November 2014, rju103, https://doi.org/10.1093/jscr/rju103
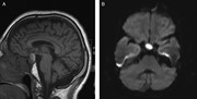
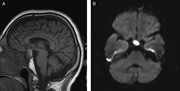
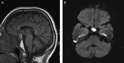
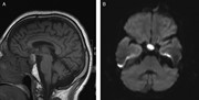
Abscess formation within a Rathke's cleft cyst
Ian C. Coulter and others
Journal of Surgical Case Reports, Volume 2014, Issue 11, November 2014, rju105, https://doi.org/10.1093/jscr/rju105
Endoscopic management of Boerhaave's syndrome presenting with hematemesis
Vid Fikfak and others
Journal of Surgical Case Reports, Volume 2014, Issue 11, November 2014, rju110, https://doi.org/10.1093/jscr/rju110
Fused ureters in patient with horseshoe kidney and aortic abdominal aneurysm
Stephen Obidike and others
Journal of Surgical Case Reports, Volume 2014, Issue 11, November 2014, rju113, https://doi.org/10.1093/jscr/rju113
A rare case of acute on chronic gastric volvulus with Borchardt's triad
Andrew Senior and Churunal Hari
Journal of Surgical Case Reports, Volume 2014, Issue 11, November 2014, rju114, https://doi.org/10.1093/jscr/rju114
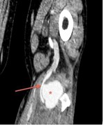
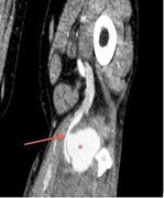
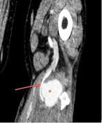
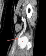
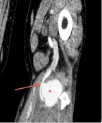
An iatrogenic popliteal pseudoaneurysm masked under compartment syndrome of leg
Jahangir Sajjad and others
Journal of Surgical Case Reports, Volume 2014, Issue 11, November 2014, rju116, https://doi.org/10.1093/jscr/rju116
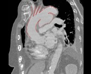
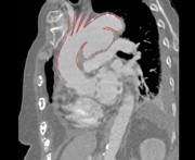
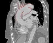
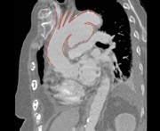
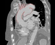
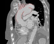
Mycotic thoracic aortic arch aneurysm from haematogenous spread of Clostridium septicum due to metastatic colorectal cancer: a survival guide
Luke Lintin and others
Journal of Surgical Case Reports, Volume 2014, Issue 11, November 2014, rju117, https://doi.org/10.1093/jscr/rju117
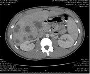
A case of pyogenic liver abscesses in a previously healthy adolescent man
Dena A. Mentel and others
Journal of Surgical Case Reports, Volume 2014, Issue 11, November 2014, rju118, https://doi.org/10.1093/jscr/rju118
An unusual cecal mass on routine colonoscopy
Joseph J. Eid and others
Journal of Surgical Case Reports, Volume 2014, Issue 11, November 2014, rju119, https://doi.org/10.1093/jscr/rju119
Fatty meal ultrasonography in chronic acalculous cholecystitis
Anna Donen and Robin Kantor
Journal of Surgical Case Reports, Volume 2014, Issue 11, November 2014, rju120, https://doi.org/10.1093/jscr/rju120
A rare spontaneous enterocutaneous fistula
Elroy P. Weledji and others
Journal of Surgical Case Reports, Volume 2014, Issue 11, November 2014, rju121, https://doi.org/10.1093/jscr/rju121
Complicated malaria and a covert ruptured spleen: a case report
Peter Waweru and others
Journal of Surgical Case Reports, Volume 2014, Issue 11, November 2014, rju122, https://doi.org/10.1093/jscr/rju122
Advertisement
Advertisement









