Issue navigation
    
     Volume 2013, Issue 5, May 2013 
        
        Portal hypertension from nodular regenerative hyperplasia of the liver treated with distal splenorenal shunt
                                        JA Greene and others
                                    
                                    Journal of Surgical Case Reports, Volume 2013, Issue 5, May 2013, rjt036, https://doi.org/10.1093/jscr/rjt036
                                    Case Reports
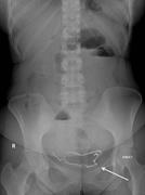
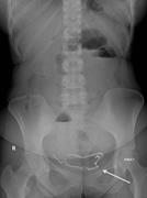
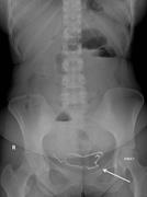
Penetration of a divided cystoperitoneal shunt catheter into the transverse colon inducing acute mastitis
                                        Kentaro Shimodaira and others
                                    
                                    Journal of Surgical Case Reports, Volume 2013, Issue 5, May 2013, rjt039, https://doi.org/10.1093/jscr/rjt039
                                    Kirschner wire migration into intramedullary canal of ulna during open reduction and internal fixation
                                        Vivek Eranki and others
                                    
                                    Journal of Surgical Case Reports, Volume 2013, Issue 5, May 2013, rjt026, https://doi.org/10.1093/jscr/rjt026
                                    Clavicular osteomyelitis: a rare presentation of extra pulmonary tuberculosis
                                        Pankaj Dugg and others
                                    
                                    Journal of Surgical Case Reports, Volume 2013, Issue 5, May 2013, rjt030, https://doi.org/10.1093/jscr/rjt030
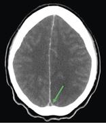
                                    Cortical blindness as a rare presentation of cerebral venous thrombosis
                                        Bonnie Wang and others
                                    
                                    Journal of Surgical Case Reports, Volume 2013, Issue 5, May 2013, rjt035, https://doi.org/10.1093/jscr/rjt035
                                    Unicystic ameloblastoma metastasizing to multiple cervical lymph nodes
                                        Kazuma Noguchi and others
                                    
                                    Journal of Surgical Case Reports, Volume 2013, Issue 5, May 2013, rjt033, https://doi.org/10.1093/jscr/rjt033
                                    Intraluminal migration of retained surgical sponge as a cause of intestinal obstruction
                                        Basmah A. Rafie and others
                                    
                                    Journal of Surgical Case Reports, Volume 2013, Issue 5, May 2013, rjt032, https://doi.org/10.1093/jscr/rjt032
                                    Simultaneous double ileoileal intussusception due to Burkitt's lymphoma in a young male
                                        Hiba H. El Hage Chehade and others
                                    
                                    Journal of Surgical Case Reports, Volume 2013, Issue 5, May 2013, rjt031, https://doi.org/10.1093/jscr/rjt031
                                    Internal hernia due to mesenteric defect
                                        Hideki Katagiri and others
                                    
                                    Journal of Surgical Case Reports, Volume 2013, Issue 5, May 2013, rjt037, https://doi.org/10.1093/jscr/rjt037
                                    Intrathyroidal parathyroid hyperplasia in tertiary hyperparathyroidism
                                        Byung Seup Kim and others
                                    
                                    Journal of Surgical Case Reports, Volume 2013, Issue 5, May 2013, rjt034, https://doi.org/10.1093/jscr/rjt034
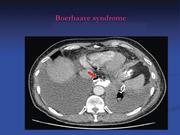
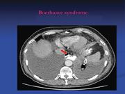
                                    A delayed presentation of Boerhaave's syndrome with mediastinitis managed using the over-the-scope clip
                                        Eamon Ramhamadany and others
                                    
                                    Journal of Surgical Case Reports, Volume 2013, Issue 5, May 2013, rjt020, https://doi.org/10.1093/jscr/rjt020
                                    Advertisement
            Advertisement
            
                
                                








