Issue navigation
Volume 2013, Issue 5, May 2013
Portal hypertension from nodular regenerative hyperplasia of the liver treated with distal splenorenal shunt
JA Greene and others
Journal of Surgical Case Reports, Volume 2013, Issue 5, May 2013, rjt036, https://doi.org/10.1093/jscr/rjt036
Case Reports
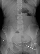
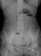
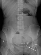
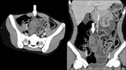
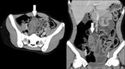
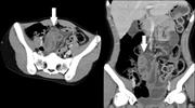
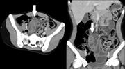
Penetration of a divided cystoperitoneal shunt catheter into the transverse colon inducing acute mastitis
Kentaro Shimodaira and others
Journal of Surgical Case Reports, Volume 2013, Issue 5, May 2013, rjt039, https://doi.org/10.1093/jscr/rjt039
Kirschner wire migration into intramedullary canal of ulna during open reduction and internal fixation
Vivek Eranki and others
Journal of Surgical Case Reports, Volume 2013, Issue 5, May 2013, rjt026, https://doi.org/10.1093/jscr/rjt026
Clavicular osteomyelitis: a rare presentation of extra pulmonary tuberculosis
Pankaj Dugg and others
Journal of Surgical Case Reports, Volume 2013, Issue 5, May 2013, rjt030, https://doi.org/10.1093/jscr/rjt030
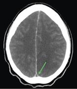
Cortical blindness as a rare presentation of cerebral venous thrombosis
Bonnie Wang and others
Journal of Surgical Case Reports, Volume 2013, Issue 5, May 2013, rjt035, https://doi.org/10.1093/jscr/rjt035
Unicystic ameloblastoma metastasizing to multiple cervical lymph nodes
Kazuma Noguchi and others
Journal of Surgical Case Reports, Volume 2013, Issue 5, May 2013, rjt033, https://doi.org/10.1093/jscr/rjt033
Intraluminal migration of retained surgical sponge as a cause of intestinal obstruction
Basmah A. Rafie and others
Journal of Surgical Case Reports, Volume 2013, Issue 5, May 2013, rjt032, https://doi.org/10.1093/jscr/rjt032
Simultaneous double ileoileal intussusception due to Burkitt's lymphoma in a young male
Hiba H. El Hage Chehade and others
Journal of Surgical Case Reports, Volume 2013, Issue 5, May 2013, rjt031, https://doi.org/10.1093/jscr/rjt031
Internal hernia due to mesenteric defect
Hideki Katagiri and others
Journal of Surgical Case Reports, Volume 2013, Issue 5, May 2013, rjt037, https://doi.org/10.1093/jscr/rjt037
Intrathyroidal parathyroid hyperplasia in tertiary hyperparathyroidism
Byung Seup Kim and others
Journal of Surgical Case Reports, Volume 2013, Issue 5, May 2013, rjt034, https://doi.org/10.1093/jscr/rjt034
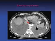
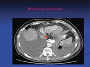
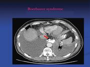
A delayed presentation of Boerhaave's syndrome with mediastinitis managed using the over-the-scope clip
Eamon Ramhamadany and others
Journal of Surgical Case Reports, Volume 2013, Issue 5, May 2013, rjt020, https://doi.org/10.1093/jscr/rjt020
Advertisement
Advertisement









