-
PDF
- Split View
-
Views
-
Cite
Cite
Apresh Singla, Animesh Singla, Richard Gallagher, A rare case and literature review of primary neuroendocrine carcinoma of the tongue, Journal of Surgical Case Reports, Volume 2014, Issue 8, August 2014, rju084, https://doi.org/10.1093/jscr/rju084
Close - Share Icon Share
Abstract
Neuroendocrine tumours are rare and have been reported to arise in a number of structures within the head and neck. We present the case of a 55-year-old lady who presented a T1-N2-M0 neuroendocrine tumour of the tongue and right level 2A lymphadenopathy. The patient underwent a partial right-sided glossectomy and a modified radical neck dissection. Given the rarity of small cell neuroendocrine tumours of the tongue, there is some ambiguity with respect to classification. Treatment for neuroendocrine tumours is most effective with a multimodality approach and a poor response to chemotherapy is an important prognostic indicator. Radiotherapy, combined with chemotherapy, has shown the most promise with complete resolution of the primary tumour and metastatic disease. Due to the rarity of neuroendocrine tumours and the lack of favourable prognostic indicators, defining optimal treatment remains difficult. As a result, they continue to have a poor overall prognosis.
INTRODUCTION
Neuroendocrine tumours are rare and have been reported to arise in a number of structures within the head and neck. To date only four cases of small cell/high-grade neuroendocrine tumour of the tongue have been reported [1–4].
CASE REPORT
A 55-year-old Caucasian lady initially presented to her General Practitioner with a 2-month history of a non-tender, firm lump and odynophagia in the right side of her neck. Fine needle aspiration biopsy showed a small cell carcinoma.
On further examination she had a 1.5 cm diameter mass on the right lateral posterior tongue and palpable lymph nodes in the right level 2 area. The remainder of her oral cavity was unremarkable. She is a smoker of 20 pack years and denies any current alcohol intake. Her only comorbidity is type 2 diabetes.
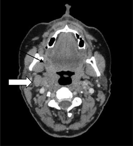
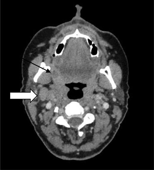
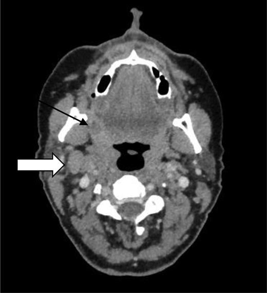
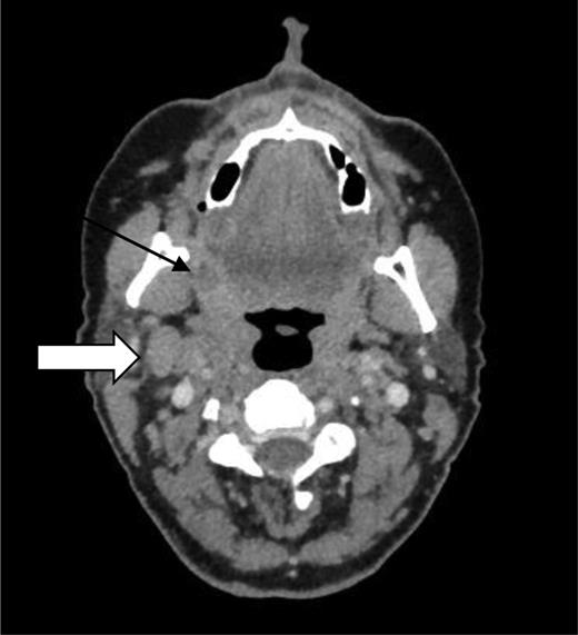
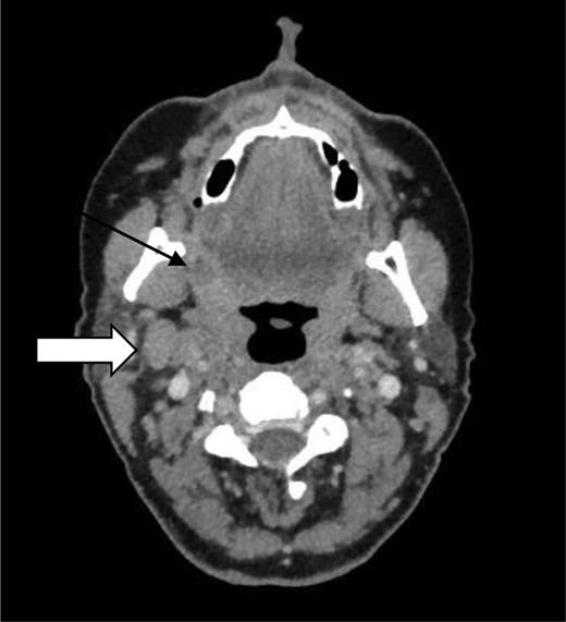
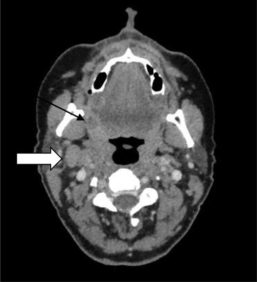
On imaging with computed tomography (CT) of the neck and chest, an asymmetrically enhancing soft tissue mass was seen in the right glossotonsillar sulcus, with associated ipsilateral right-sided level 2A lymphadenopathy (Fig. 1). Positron emission tomography (PET) demonstrated hypermetabolism in the right glossotonsillar sulcus, which was consistent with the primary site and evidence of distant metastases (Fig. 2). The patient was reviewed in the Head and Neck clinic and was staged on imaging as T1 N2b M0.

CT showing a primary tumour in the right glossotonsillar sulcus (black arrow) and lymphadenopathy (white arrow).

PET scan showing metastatic disease in the right level 2A lymph nodes.
The patient subsequently underwent a partial right hemiglossectomy and right-sided modified radical neck dissection (Fig. 3). Macroscopically, the primary site showed an ulcerating tumour 18 by 14 mm at its posterior end. Microscopically, the tumour extended 7 mm into the underlying skeletal muscle and showed malignant cells with frequent mitoses and apoptotic necrosis. The tumour mass was 3 mm clear of the nearest margin (medial). There was no evidence of lympovascular invasion, but multiple foci of perineural invasion was present (Fig. 4). Furthermore, there was an involvement of four out of six ipsilateral lymph nodes at level 2A/3. On immunoperoxidase staining the tumour was strongly positive for CD 56 and positive for chromogranin, synaptophysin, pan cytokeratin, cam 5.2 and TTF-1 (Fig. 5). The Ki67 proliferation index was 80–90%. These features were consistent with a high-grade neuroendocrine carcinoma.

Macroscopic specimen of the primary tumour on the posterior aspect of the right side of the tongue.

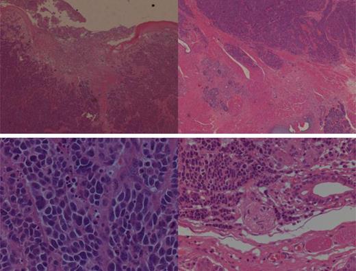
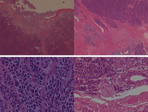
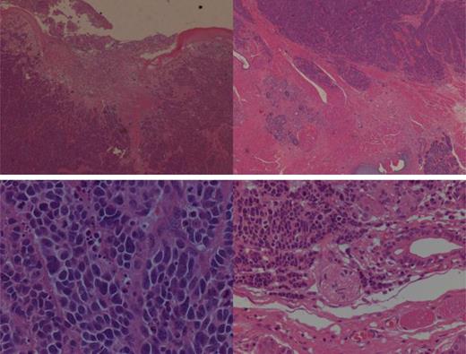
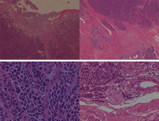
(Top left) Section through superior aspect, illustrating surface ulceration and normal adjacent squamous cells. (Top right) Low-power view of poorly differentiated small cell carcinoma. (Bottom left) High-power view of carcinoma, illustrating hyperchromatic nuclei with variable cytoplasm and apoptosis. (Bottom right) High-power view of carcinoma illustrating perineural invasion.

(Top left) Histopathology demonstrating positive CD 56, (top right) chromogranin, (bottom left) cam 5.2 and (bottom right) synaptophysin.
DISCUSSION
The larynx is the most common site for primary neuroendocrine tumour in the head and neck region; however, it represents <0.5% of all primary laryngeal malignancies [5]. There is very limited literature on neuroendocrine tumours of the oral cavity and, thus, some ambiguity arises with respect to classification. To date, there have been only four cases in the literature of a primary small cell neuroendocrine tumour of the tongue. Hence, the following discussion is based on neuroendocrine neoplasms of the larynx [1–4].
The World Health Organization classification divides neuroendocrine carcinoma of the larynx into five categories, namely: typical carcinoma, atypical carcinoma, small cell carcinoma, combined cell carcinoma and paraganglioma [6]. Tumour grade has been shown to correlate with survival [7]. Our patient had a high-grade neuroendocrine carcinoma on histology, which is synonymous with poorly differentiated, small cell or grade III neuroendocrine tumour. On light microscopy, poorly differentiated neuroendocrine tumours are characterized by a high mitotic count (>10–20 mitoses per 10 high-power field in extrapulmonary sites) and extensive necrotic material [8].
The role of staging in small cell neuroendocrine tumours is less clear and has not been shown to correlate well with overall survival [9]. Our patient had metastases to ipsilateral lymph nodes at the time of diagnosis, but no evidence of metastatic disease elsewhere. Other single-centre institutions have reported cervical adenopathy in 80% of patients at the time of diagnosis [10].
The treatment modalities for high-grade neuroendocrine tumours of the head and neck consist of a combination of surgery, radiotherapy and chemotherapy. In our case, the patient underwent surgical excision of the primary tumour and modified radical neck dissection. The patient is currently receiving concomitant radiotherapy and chemotherapy. Yoshida et al. treated their patient with radiotherapy only, due to the patient's poor general condition, whereas Khurana et al. and Latif et al. used a combination of chemotherapy and radiotherapy. All three patients demonstrated an excellent initial response with complete resolution of the tumour. In both patients receiving combined chemotherapy, however, there were severe complications including mucositis, necessitating a PEG tube, and neutropenia. There was documented tumour recurrence in only one patient treated with combination therapy, who remained stable with further chemotherapy. Cymmerman et al. was the only one to use surgical resection combined with adjuvant radiotherapy.
Review articles of neuroendocrine tumours of the larynx have shown that surgical excision alone does not significantly improve local control and should be avoided even for early lesions. Radiotherapy alone has displayed some success in tumour control at the primary site, but did not improve survival. Chemotherapy, however, when used in combination with radiotherapy has been shown to significantly improve survival and platinum-based chemotherapy is proving to be the most efficacious [5].
Overall, the prognosis of small cell neuroendocrine tumour of the head and neck remains very poor, with progression to metastatic disease in the majority of cases. The reported median survival times for tumours of the larynx range from 9.8 to 14 months. An early study by Baugh et al. reported comparative medial survival rates of up to 19 months in those who received chemotherapy, compared with 11 months in those who did not receive any chemotherapy [9].
It is generally recognized that poor response to chemotherapy is an important poor prognostic factor [5]. In a small case series of 12 patients by Hautom et al., there was a suggestion that the site of the primary tumour may also be of prognostic value. Small cell neuroendocrine tumours of the salivary glands (parotid/tonsil) had better overall median survival (30 months) versus those arising from other head and neck sites (15.2 months) [10].
In conclusion, neuroendocrine carcinomas of the head and neck are a rare entity and this makes it difficult to conduct high-quality studies to define the optimal treatment of such cancers. Therefore, until favourable prognostic indicators can be established, neuroendocrine carcinomas of the head and neck will continue to have a poor prognosis.
REFERENCES
Author notes
This paper is not based on previous communication to a society or meeting.
The corresponding author is not a recipient of a research scholarship.