Issue navigation
Volume 2014, Issue 6, June 2014
Case Reports
Mesothelial cyst with endometriosis mimicking a Nuck cyst
Yoshiko Uno and others
Journal of Surgical Case Reports, Volume 2014, Issue 6, June 2014, rju067, https://doi.org/10.1093/jscr/rju067
Gastric glomus tumor
Sumita A. Jain and others
Journal of Surgical Case Reports, Volume 2014, Issue 6, June 2014, rju049, https://doi.org/10.1093/jscr/rju049
Internal hernia through the foramen of Winslow: a diagnosis to consider in moderate epigastric pain
Pélagie Sikiminywa-Kambale and others
Journal of Surgical Case Reports, Volume 2014, Issue 6, June 2014, rju065, https://doi.org/10.1093/jscr/rju065
Pilonidal abscess in the breast: a case report
Rashmi Lahiri and others
Journal of Surgical Case Reports, Volume 2014, Issue 6, June 2014, rju061, https://doi.org/10.1093/jscr/rju061
Torsion of a lipoma of parietal peritoneum: a rare case mimicking acute appendicitis
Binod Bade Shrestha and Mikesh Karmacharya
Journal of Surgical Case Reports, Volume 2014, Issue 6, June 2014, rju062, https://doi.org/10.1093/jscr/rju062
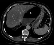
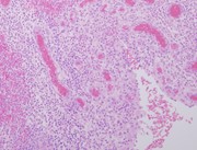
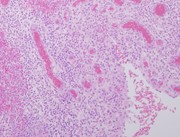
Chronic spontaneous idiopathic spleen hematoma presenting as a large cystic tumor: a case report with review of the literature
Dany Barrak and others
Journal of Surgical Case Reports, Volume 2014, Issue 6, June 2014, rju060, https://doi.org/10.1093/jscr/rju060
A rare case of ipsilateral shoulder and thumb CMC joint neuropathic arthropathy
Rajendraprasad R. Butala and others
Journal of Surgical Case Reports, Volume 2014, Issue 6, June 2014, rju054, https://doi.org/10.1093/jscr/rju054
Repeated cannulation of umbilical hernia with Ventriculoperiotoneal shunt catheter
R.S. Laidlaw and N. Little
Journal of Surgical Case Reports, Volume 2014, Issue 6, June 2014, rju059, https://doi.org/10.1093/jscr/rju059
Scrotal enterocutaneous fistula: a rare initial presentation of inguinal hernia
Puneet Malik and others
Journal of Surgical Case Reports, Volume 2014, Issue 6, June 2014, rju056, https://doi.org/10.1093/jscr/rju056
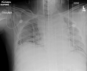
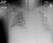
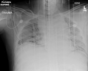
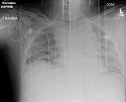
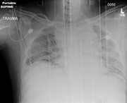
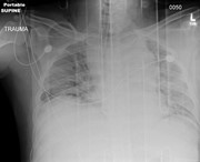
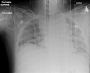
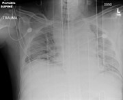
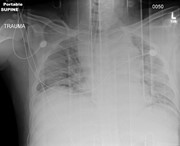
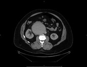
Blunt chest trauma
Asya Fish and others
Journal of Surgical Case Reports, Volume 2014, Issue 6, June 2014, rju053, https://doi.org/10.1093/jscr/rju053
Very late relapse of germ cell tumor as a teratoma: a case report and review of the literature
Waddah Arafat and others
Journal of Surgical Case Reports, Volume 2014, Issue 6, June 2014, rju051, https://doi.org/10.1093/jscr/rju051
True idiopathic saccular aneurysm of the radial artery
Hossam I. Shaabi
Journal of Surgical Case Reports, Volume 2014, Issue 6, June 2014, rju058, https://doi.org/10.1093/jscr/rju058
Epithelioid hemangioendothelioma encasing the left brachiocephalic vein
Kristin Long and others
Journal of Surgical Case Reports, Volume 2014, Issue 6, June 2014, rju057, https://doi.org/10.1093/jscr/rju057
Diffuse large B cell lymphoma presenting as a peri-anal abscess
Hasanga Jayasekera and others
Journal of Surgical Case Reports, Volume 2014, Issue 6, June 2014, rju035, https://doi.org/10.1093/jscr/rju035
Advertisement
Advertisement













