Issue navigation
Volume 2013, Issue 3, March 2013
Case Reports
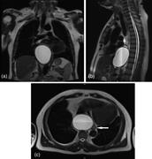
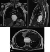
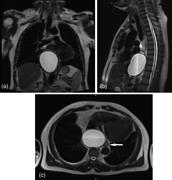
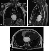
Three-dimensional simulation, surgical navigation and thoracoscopic lung resection
Masato Kanzaki and others
Journal of Surgical Case Reports, Volume 2013, Issue 3, March 2013, rjt015, https://doi.org/10.1093/jscr/rjt015
Bypass laparoscopic procedure for palliation of esophageal cancer
Marcos Duarte Siosaki and others
Journal of Surgical Case Reports, Volume 2013, Issue 3, March 2013, rjt017, https://doi.org/10.1093/jscr/rjt017
Repair of massive inguinal hernia with loss of abdominal domain using laparoscopic component separation technique
Ahmed Hamad and others
Journal of Surgical Case Reports, Volume 2013, Issue 3, March 2013, rjt008, https://doi.org/10.1093/jscr/rjt008
An unusual case of pancreatic fistula
M.J. Johnston and others
Journal of Surgical Case Reports, Volume 2013, Issue 3, March 2013, rjt014, https://doi.org/10.1093/jscr/rjt014
Emergency decompression of tension retrobulbar emphysema secondary to orbital floor fracture
Patrick Tomasetti and others
Journal of Surgical Case Reports, Volume 2013, Issue 3, March 2013, rjt011, https://doi.org/10.1093/jscr/rjt011
Isolated trapdoor-type medial blowout fracture in an adult presenting horizontal diplopia treated by endoscopic endonasal approach
Woong Jae Noh and others
Journal of Surgical Case Reports, Volume 2013, Issue 3, March 2013, rjt009, https://doi.org/10.1093/jscr/rjt009
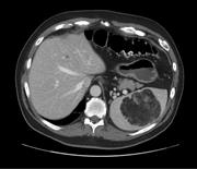
Myelolipoma in the spleen: a rare discovery of extra-adrenal hematopoietic tissue
William G. Wood and others
Journal of Surgical Case Reports, Volume 2013, Issue 3, March 2013, rjt007, https://doi.org/10.1093/jscr/rjt007
Delayed tumor resection in a 5-year-old child with bilateral Wilms tumor
Samuel P. Carmichael and others
Journal of Surgical Case Reports, Volume 2013, Issue 3, March 2013, rjt012, https://doi.org/10.1093/jscr/rjt012
Unusual cause of upper gastrointestinal bleeding
Joram Wardi and others
Journal of Surgical Case Reports, Volume 2013, Issue 3, March 2013, rjt013, https://doi.org/10.1093/jscr/rjt013
An unusual cause of dysphagia: transabdominal Roux-en-Y cyst-jejunostomy in the surgical management of a symptomatic mediastinal cyst
Cara R. Baker and others
Journal of Surgical Case Reports, Volume 2013, Issue 3, March 2013, rjs042, https://doi.org/10.1093/jscr/rjs042
Advertisement
Advertisement









