-
PDF
- Split View
-
Views
-
Cite
Cite
M.J. Johnston, C.L. Prew, I. Fraser, An unusual case of pancreatic fistula, Journal of Surgical Case Reports, Volume 2013, Issue 3, March 2013, rjt014, https://doi.org/10.1093/jscr/rjt014
Close - Share Icon Share
Abstract
We report an unusual case of a pancreatic fistula communicating with an appendicectomy wound. This occurred following an episode of acute haemorrhagic pancreatitis. The patient was initially admitted with signs and symptoms indicating appendicitis and went to theatre for an open appendicectomy. However, this did not resolve his symptoms and a laparotomy was performed the next day revealing haemorrhagic pancreatitis. He endured a stormy post-operative course, the cause of which was found to be an external pancreatic fistula with discharge of amylase-rich fluid from the Lanz incision. A trial of conservative management failed despite multiple percutaneous drainage procedures and treatment with broad-spectrum antibiotics. After a second opinion was sought, it was decided to fit a roux loop anastomosis between the head of the pancreas and the duodenum to divert the fistulous fluid. This procedure was a success and the patient remains well 2 years later.
INTRODUCTION
The commonest cause of external pancreatic fistulae is pancreatic surgery with an incidence reported between 3 and 30% [1]; 90% of cases are initially treated conservatively although 20% may ultimately require surgery [2]. Other causes of pancreatic fistula include pancreatitis and trauma [3].
CASE REPORT
A 39-year-old type 2 diabetic (FN) presented with a 48-h history of central crampy abdominal pain, radiating into his back and lower abdomen. He had not opened his bowels or passed flatus in 36 h, although his appetite remained normal. He had recently stopped smoking and drank 14 units of alcohol per week. He was tachycardic, but other observations were normal. There was no respiratory distress, and his chest was clear. He had generalized abdominal tenderness localizing to the right iliac fossa (RIF) with guarding. Digital rectal examination was normal.
Blood tests showed raised C-reactive protein (CRP) 94 mg/l, white cell count 21.79 × 109/l and neutrophils 19.04 × 109/l with normal liver function tests. An amylase level was not possible as the blood was lipaemic. His condition deteriorated later that day, he became anorexic with localized peritonism in the RIF. A clinical diagnosis of appendicitis was made, and the patient submitted to open appendicectomy.
At operation, purulent fluid was found in the RIF along with evidence of inflammatory changes in retroperitoneal tissues and a mildly inflamed retrocaecal appendix. The appendix was removed and a drain inserted into the right paracolic gutter. IV antibiotics were commenced prior to and following surgery. At this stage, it was unclear whether the appendix was responsible for the inflammatory process, the decision to operate was based on clinical findings; however, subsequent histology showed no active inflammation.
On the first post-operative day, the patient had a pyrexia, tachycardia and guarding in the RIF. His CRP had increased to 392 mg/l. A decision was made to proceed to laparotomy. At the surgery, copious blood-stained fluid was found in the right paracolic gutter, pelvis and right subhepatic space. No visceral perforation was seen. A consultant hepato-pancreato-biliary (HPB) surgeon was called for an opinion and found a severely swollen pancreas with areas of fat necrosis; therefore, a diagnosis of acute haemorrhagic pancreatitis was made. Gallstones were neither seen nor found later by ultrasound scanning. Excess alcohol intake was the suggested cause for the pancreatitis.
Following the laparotomy, FN was treated with IV meropenem and vancomycin. He remained unwell and 14 days later a computed tomography (CT) scan was performed, which confirmed the appearances of acute pancreatitis with poor perfusion and necrosis of most of the head area. There was good perfusion of the body and tail, which were considerably swollen.
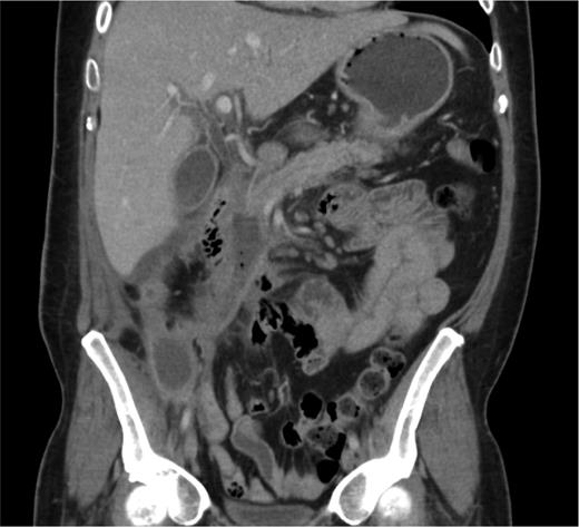
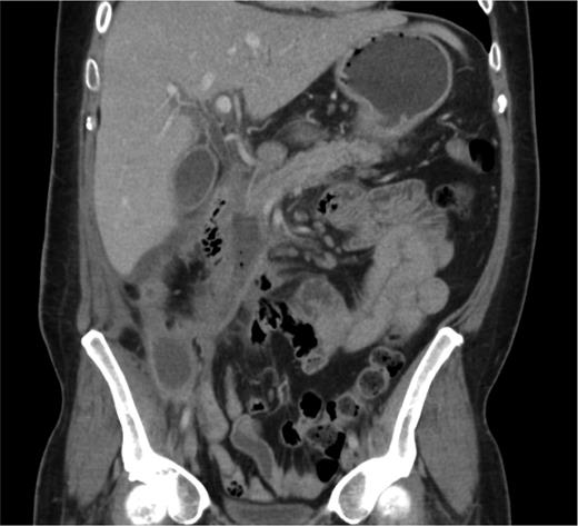
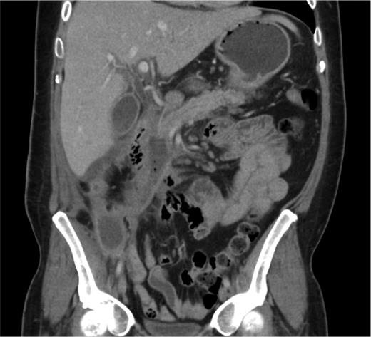
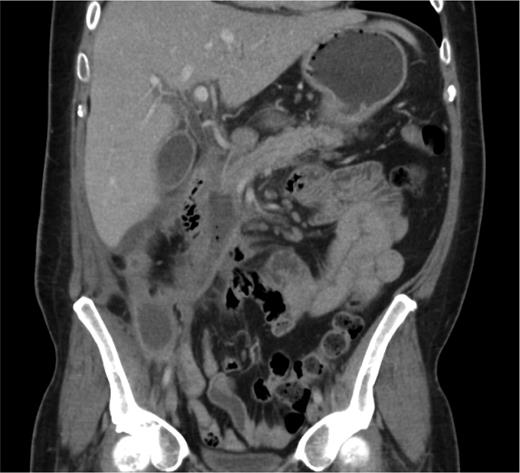
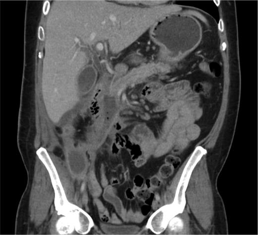
On the 16th day, beige fluid began to discharge from the appendicectomy wound. The amylase level of this fluid was 18 240 IU/l, suggesting the presence of a pancreatic fistula emerging via the appendicectomy wound (see Fig. 1). A decision was made to treat the fistula conservatively. Octreotide was administered and the patient was fed parenterally, and later enterally. Abdominal collections were drained percutaneously on a number of occasions under radiological guidance. Serial CT scans continued to confirm that necrosis was limited to the head of the pancreas, the body and tail enhanced healthily. Fluid collections were seen especially in the right paracolic area compatible with a fistulous track and drains inserted into this area on several occasions. However, this never significantly affected the persistent fistulous output through the appendicectomy wound which remained between 150 and 250 ml per day. After ∼8 weeks, the patient improved enough to be managed with regular home leave; however, he did remain significantly nauseated and had a low mood throughout this period.

A coronal CT image 12 weeks following his initial presentation with necrotizing pancreatitis; there is atrophy of the pancreatic head and a fluid collection tracks caudally to the right iliac fossa wound. Small bubbles of gas are also seen within the fluid collection. The pancreatic duct is visible and of normal calibre.
After 3 months, fluid was still constantly draining from the appendicectomy wound. His case was discussed with several HPB surgeons and a decision was made that further conservative management was futile. On Day 113 after his first laparotomy, he underwent a second laparotomy to explore and drain the fistulous track. There was extensive fibrosis around the right colon, where the fistulous track was found. It ran close in front of the duodenum but was not possible to track safely into the pancreatic head itself. A 50 cm Roux loop procured from the proximal jejunum was anastomosed widely to the track just below the pancreatic head in front of the third part of the duodenum. Post-operatively, lanreotide injections were maintained, also parenteral nutrition for the first 2 weeks. The fistulous output continued for 4 weeks, then declined to cease after 5 weeks.
The wounds then all healed and he was discharged. A CT scan confirmed no further collections and healthy looking body and tail of pancreas. He did not become diabetic and was well at 6- and 24-month follow-up.
DISCUSSION
We are not aware that a pancreatic fistula has previously been described through an appendicectomy incision. It seems likely that, in this case, the original diagnosis of acute pancreatitis was missed because of clinical suspicion of appendicitis and laboratory difficulty measuring serum amylase because of lipaemia. This might have been a clue to the diagnosis, which could have been confirmed by a CT scan and obviated the need for an unnecessary appendectomy. This cannot have been the first patient to undergo appendectomy at first presentation of pancreatitis. The Lanz incision has contributed to the development of the external pancreatic fistula.
There are two valuable learning points to take way from this case. First, pancreatitis can present in unusual ways and it is worthwhile sending peritoneal fluid for amylase if the appendix appears grossly normal. Secondly, this case confirms the fact that pancreatic fistulae are difficult to manage and may require prolonged conservative management. Failure of conservative management may require endoscopic or surgical treatment.
It is interesting to note that the conservative approach to management of this case seemed ineffective. Pancreatic fistulae are not uncommon, and their development is due, in part, to proteolytic secretions [4], which can make them refractory to conservative management. In this case, a surgical approach to provide internal drainage was successful and proved an important and useful technique [5].
ACKNOWLEDGEMENT
The authors thank Dr William Shatwell for his assistance selecting the radiological image.