-
PDF
- Split View
-
Views
-
Cite
Cite
Samuel P. Carmichael, Joseph F. Pulliam, John A. D'Orazio, Delayed tumor resection in a 5-year-old child with bilateral Wilms tumor, Journal of Surgical Case Reports, Volume 2013, Issue 3, March 2013, rjt012, https://doi.org/10.1093/jscr/rjt012
Close - Share Icon Share
Abstract
We describe the case of a 5-year-old girl whose abdominal pain and distension were caused by Wilms tumor of the kidney. Because of the bilateral nature of her disease, she was spared biopsy or initial nephrectomy as part of her treatment course. Rather, she was treated presumptively for Wilms tumor based primarily on radiologic findings. Neoadjuvant chemotherapy consisting of vincristine, dactinomycin and doxorubicin was given to facilitate nephron-sparing surgery for tumor resection. Her initial chemotherapeutic course was complicated by tumor lysis syndrome manifested by elevated serum uric acid and was treated effectively with hyperhydration and alkalization of intravenous fluids. The patient's disease responded well to chemotherapy, and she underwent successful tumor excision after 12 weeks of chemotherapy. The resected tumor was identified as anaplastic Wilms tumor, illustrating that pathologic identification of Wilms tumor is possible even after multiple cycles of neoadjuvant chemotherapy and marked tumor shrinkage.
INTRODUCTION
Wilms tumor is the most common renal tumor in children, peaking at 2–3 years of age [1]. Though uniformly fatal in previous decades, the prognosis for most patients has greatly improved due to advances in chemotherapy and surgical treatment. Most cases are unilateral and treated by resection at presentation, which allows for diagnostic pathology and bulk of disease removal. Surgery is then followed by several weeks of adjuvant chemotherapy, with radiotherapy used mainly for cases of tumor rupture or peritoneal seeding [2]. Though primary kidney resection has long been the cornerstone of effective treatment for Wilms tumors, this approach has recently been reevaluated in the context of synchronous bilateral disease [3].
Bilateral Wilms tumor accounts for only ∼5% of cases [4] but is associated with higher morbidity and mortality [5]. Frequently one kidney will have a much larger tumor burden, as in the present case, and surgery would consist of complete nephrectomy for one side and partial nephrectomy for the other [6]. However, as many as 15% of stage V Wilms tumor patients treated in this manner eventually develop chronic renal failure by age 20 compared with 1% of unilateral Wilms tumor patients [7], prompting efforts to surgically spare as much normal renal tissue as possible. Thus, the current open national Wilms tumor protocol—Children's Oncology Group trial AREN0534—calls for pre-operative neoadjuvant chemotherapy to be given in order to shrink tumors to facilitate partial nephrectomies to maximize preservation of normal renal tissue [8]. Here, we describe a young girl with bilateral Wilms tumor who had marked tumor response after 12 weeks of chemotherapy. Her case illustrates that tumor lysis precautions should be considered in children with a large amount of disease who undergo neoadjuvant treatment and that pathologic interpretation of the tumor is possible even after many cycles of chemotherapy.
CASE REPORT
A normally developed 5-year-old girl presented to the emergency department with a 1 month history of worsening abdominal pain that localized to the right upper quadrant with intermittent vomiting and fevers over the week prior to presentation. On physical examination, the child was febrile to 37.6°C with abdominal distension. A tender right-sided abdominal mass was found extending from the costal margin to the pelvis and beyond midline. Bowel sounds were heard only on the left. Abdominal CT imaging identified a large mass arising from the right kidney with at least one smaller lesion in the left kidney (Fig. 1A). Serum WBC and electrolytes were normal, with a serum creatinine of 0.40 mg/dl and a BUN of 7 mg/dl. Chest X-ray and pulmonary CT scans were negative for malignant disease.

Computed tomography of the patient's abdominal disease at presentation (A), after 6 weeks of chemotherapy per COG AREN0534 (B) and post-surgically (C). (A) Axial abdominal CT image at presentation showing large right-sided renal mass (23 × 13 × 15.8 cm; large triangle) and small contralateral renal lesion (small triangle), (B) Axial abdominal CT after 6 weeks of chemotherapy showing marked response of the right-sided renal tumor (8.6 × 4.1 × 5.3 cm) to therapy. Left-sided renal renal tumor remained approximately stable in size (8 mm) throughout neoadjuvant therapy. (C) Post-surgical abdominal CT reflecting right radical nephrectomy and wedge resection of left kidney.
The patient was given a presumptive diagnosis of bilateral (Stage V) Wilms tumor. The family consented for her to participate in the Children's Oncology Group trial AREN0534 which called for pre-operative chemotherapy in order to facilitate nephron-sparing surgery at the time of tumor resection. A central venous catheter was placed, and neoadjuvant chemotherapy with vincristine, dactinomycin and doxorubicin was initiated. Within hours of starting her therapy, we found that lactate dehydrogenase and uric acid were both elevated (1134 U/l and 6.3 mg/dl, respectively; Fig. 2). Serum potassium and phosphate were both normal. The patient's hyperuricemia was felt to be consistent with tumor lysis syndrome, and allopurinol and alkalinized fluids were administered. The hyperuricemia soon resolved, and the patient maintained normal serum creatinine, potassium and phosphorus levels throughout her hospital stay. A follow-up CT scan after 6 weeks of therapy showed a marked response to chemotherapy of the right-sided lesion (Fig. 1B). The left-sided mass remained stable in size. We decided to administer another 6 weeks of chemotherapy to improve her candidacy for right partial nephrectomy instead of whole nephrectomy. However, despite further tumor shrinkage, total nephrectomy eventually had to be performed for the right kidney because no clear surgical plane could be identified at the time of resection (Fig. 1C). Pathologic interpretation of the right- and left-sided tumors confirmed Wilms tumor in each and a focus of anaplastic disease on the right (Fig. 3C). 10.8 Gy of radiation to the right flank was administered because of the pathologic finding of focal anaplasia, in accordance with the AREN0534 protocol. Presently the patient is well, with good renal function and in remission, now roughly 6 months after her end of therapy.

Tumor lysis metabolic abnormalities reflecting serum uric acid and creatinine levels in the context of the therapeutic timeline.

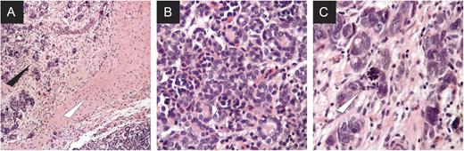
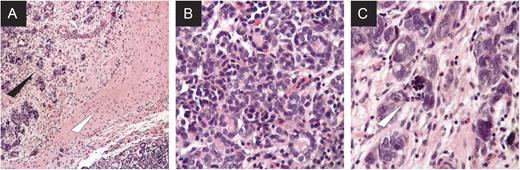
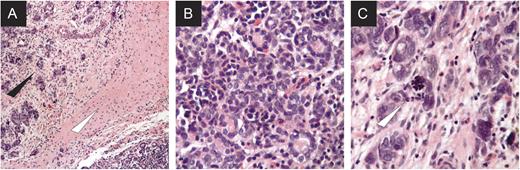
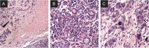
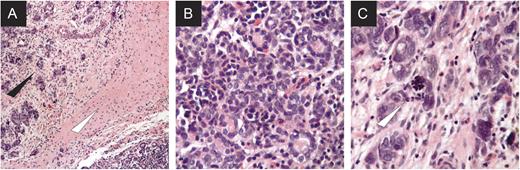
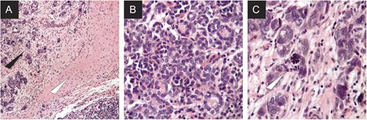
Pathologic images from right-sided lesion after 12 weeks of neoadjuvant chemotherapy. Note that the architecture of the tumor is still well preserved, confirming a diagnosis of Wilms tumor. (A) lower-power power image (×100) showing the area of anaplasia (black triangle) immediately adjacent to an area of scarring and fibrosis (white triangle), (B) a region of non-anaplastic glandular Wilms tumor (×400), (C) anaplastic focus of disease (white triangle; ×400).
DISCUSSION
Wilms tumor is responsible for roughly 6% of all childhood cancers and 95% of renal tumors in the pediatric population. Survivability from this malignancy now approaches 90% with proper management, including surgery, chemotherapy and radiation [1]. Historically, most Wilms tumors have been resected at diagnosis, with adjuvant chemotherapy to manage micrometastatic disease. Even with bilateral disease, chemotherapy would typically be administered only after the large primary tumor had been removed. However, current high-risk Wilms tumor protocols, as apply to patients with bilateral disease, are designed to reduce long-term risk of renal failure by shrinking tumors with chemotherapy to enable nephron-sparing sub-total nephrectomy [1]. Clinical trials by SIOP (International Society of Paediatric Oncology) and other consortia have found that pre-nephrectomy chemotherapy may decrease the stage of disease and risk of tumor rupture during local control [9]; however, this approach brings risks of tumor lysis syndrome, veno-occlusive disease and potential interference with tumor staging and pathologic diagnosis [10].
In the present case, initial chemotherapeutic management of Wilms tumor was complicated by hyperuricemia, presumably caused by tumor lysis syndrome in which metabolites are released from large numbers of cancer cells dying simultaneously in response to chemotherapy. Classically, tumor lysis syndrome occurs in the setting of initial treatment of hematologic malignancies such as Burkitt's lymphoma and leukemia, presumably because of the large burden of disease and the exquisite chemosensitivity of such malignancies. Laboratory findings of tumor lysis syndrome include hyperuricemia, hyperkalemia and hyperphosphatemia with secondary hypocalcemia. Central to the pathophysiology of tumor lysis syndrome is renal dysfunction. We reason that our patient developed hyperuricemia because of her large tumor burden, the chemosensitivity of her disease and perhaps because of the presence of tumors in her kidneys that may have physically interfered with normal glomerular filtration. Many cases of tumor lysis can be managed conservatively with ample hydration, alkalization and xanthine oxidase inhibition by allopurinol. More severe or refractory cases may require administration of uric acid oxidase (rasburicase), a recombinant enzyme that degrades uric acid, or hemodialysis. Our case illustrates that Wilms tumor, being a chemosensitive embryonal malignancy of childhood, can also be associated with tumor lysis syndrome. In the past, most patients with bilateral Wilms tumors were treated up-front with surgery and therefore had much lower burdens of disease when adjuvant chemotherapy. This case illustrates that if surgery is postponed, tumor lysis precautions should be considered when chemotherapy is given to patients with large Wilms tumors. This case also demonstrates that pathologic findings are preserved even after several weeks of chemotherapy.
REFERENCES
- doxorubicin
- abdominal pain
- biopsy
- chemotherapy regimen
- child
- dactinomycin
- dilatation, pathologic
- nephrectomy
- nephroblastoma
- nephrons
- surgical procedures, operative
- tumor lysis syndrome
- vincristine
- neoplasms
- radiology specialty
- intravenous fluid
- urate measurement, serum
- chemotherapy, neoadjuvant
- tumor excision
- anaplastic renal wilms tumor
- bilateral wilms tumor
- alkalization