Volume 2013, Issue 8
August 2013
EISSN 2042-8812
Issue navigation
Volume 2013, Issue 8, August 2013
Case Report
Stable construction of the sternum after broad radical resection of malignant tumours
Sven A.F. Tulner and others
Journal of Surgical Case Reports, Volume 2013, Issue 8, August 2013, rjt049, https://doi.org/10.1093/jscr/rjt049
Acutely slipped gastric band with gastric necrosis and massive haemorrhage
Simon Parys and Senarath Werapitiya
Journal of Surgical Case Reports, Volume 2013, Issue 8, August 2013, rjt053, https://doi.org/10.1093/jscr/rjt053
Successful liver resection for the unusual case of peripheral intra bile duct growth of liver metastasis from colorectal carcinoma
Tsukasa Nakamura and others
Journal of Surgical Case Reports, Volume 2013, Issue 8, August 2013, rjt055, https://doi.org/10.1093/jscr/rjt055
Case reports
Management of a complex recurrent perineal hernia
Rikesh K. Patel and others
Journal of Surgical Case Reports, Volume 2013, Issue 8, August 2013, rjt056, https://doi.org/10.1093/jscr/rjt056
Case Report
Young male survivor of a spontaneous left main coronary artery dissection treated with surgery
Santiago A. Endara and others
Journal of Surgical Case Reports, Volume 2013, Issue 8, August 2013, rjt058, https://doi.org/10.1093/jscr/rjt058
Case reports
An alternative option in the management of blunt splenic injury
David Bodansky and others
Journal of Surgical Case Reports, Volume 2013, Issue 8, August 2013, rjt061, https://doi.org/10.1093/jscr/rjt061
Obstructive jaundice: a rare complication of laparoscopic greater curvature plication
Abdullah Almulaifi and Waleed M. Mohammad
Journal of Surgical Case Reports, Volume 2013, Issue 8, August 2013, rjt062, https://doi.org/10.1093/jscr/rjt062
Case Report
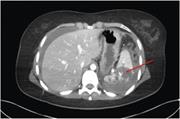
Intrapericardial parathyroid adenoma
Kristin L. Long and others
Journal of Surgical Case Reports, Volume 2013, Issue 8, August 2013, rjt064, https://doi.org/10.1093/jscr/rjt064
Case reports
A case report of a rare adnexal tumour: aggressive digital papillary adenocarcinoma
Samuel G. Coulson and others
Journal of Surgical Case Reports, Volume 2013, Issue 8, August 2013, rjt065, https://doi.org/10.1093/jscr/rjt065
Case Report
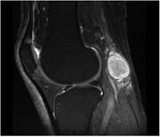
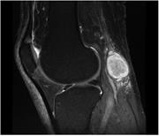
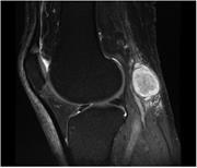
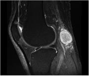
Popliteal schwannoma mimicking baker cyst: an unusual case
Erkam Komurcu and others
Journal of Surgical Case Reports, Volume 2013, Issue 8, August 2013, rjt066, https://doi.org/10.1093/jscr/rjt066
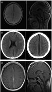
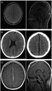
Pediatric parafalcine empyemas
Franziska Niklewski and others
Journal of Surgical Case Reports, Volume 2013, Issue 8, August 2013, rjt067, https://doi.org/10.1093/jscr/rjt067
Spontaneous idiopathic recurrent pneumoperitoneum
Oliver McLaren
Journal of Surgical Case Reports, Volume 2013, Issue 8, August 2013, rjt071, https://doi.org/10.1093/jscr/rjt071
Advertisement
Advertisement









