Issue navigation
Volume 2013, Issue 10, October 2013
Case Reports
Primary spinal epidural Hodgkin's lymphoma
Onur Yaman and others
Journal of Surgical Case Reports, Volume 2013, Issue 10, October 2013, rjt090, https://doi.org/10.1093/jscr/rjt090
Submucosal lipoma acting as a leading point for colo-colic intussusception in an adult
Khalid N. Shehzad and others
Journal of Surgical Case Reports, Volume 2013, Issue 10, October 2013, rjt088, https://doi.org/10.1093/jscr/rjt088
Pleomorphic adenoma of lacrimal gland
Özcan Binatli and others
Journal of Surgical Case Reports, Volume 2013, Issue 10, October 2013, rjt089, https://doi.org/10.1093/jscr/rjt089
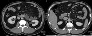
Difficulties in diagnosing an intermittent mesenteroaxial gastric volvulus
David J. Kang and others
Journal of Surgical Case Reports, Volume 2013, Issue 10, October 2013, rjt078, https://doi.org/10.1093/jscr/rjt078
Acute appendicitis as a rare complication of gastric band
Christos Petridis and others
Journal of Surgical Case Reports, Volume 2013, Issue 10, October 2013, rjt084, https://doi.org/10.1093/jscr/rjt084
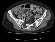
Pseudoaneurysm of the internal iliac artery resulting in massive per-rectal bleeding
T.I. Arthur and others
Journal of Surgical Case Reports, Volume 2013, Issue 10, October 2013, rjt069, https://doi.org/10.1093/jscr/rjt069
Spontaneous evisceration of bowel through an umbilical hernia in a patient with refractory ascites
Uchechukwu Stanley Ogu and others
Journal of Surgical Case Reports, Volume 2013, Issue 10, October 2013, rjt073, https://doi.org/10.1093/jscr/rjt073
Unusual presentation of popliteal soft tissue sarcoma: not every swelling in the knee is a Baker's cyst
Anantha Krishnan Raghupathi and Anupkumar Shetty
Journal of Surgical Case Reports, Volume 2013, Issue 10, October 2013, rjt074, https://doi.org/10.1093/jscr/rjt074
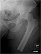
The irreducible floating hip: a unique presentation of a rare injury
Nathan C. Tiedeken and others
Journal of Surgical Case Reports, Volume 2013, Issue 10, October 2013, rjt075, https://doi.org/10.1093/jscr/rjt075
Laparoscopic repair of left paraduodenal hernia
Arifa Siddika and others
Journal of Surgical Case Reports, Volume 2013, Issue 10, October 2013, rjt079, https://doi.org/10.1093/jscr/rjt079
Incidental complete excision of appendiceal gastric cancer metastasis
Gregory S. Simpson and others
Journal of Surgical Case Reports, Volume 2013, Issue 10, October 2013, rjt080, https://doi.org/10.1093/jscr/rjt080
A double aortic arch presenting in the 7th decade of life
Jamie Vatish and others
Journal of Surgical Case Reports, Volume 2013, Issue 10, October 2013, rjt081, https://doi.org/10.1093/jscr/rjt081
Advertisement
Advertisement











