Issue navigation
    
     Volume 2013, Issue 10, October 2013 
        
        Case Reports
Primary spinal epidural Hodgkin's lymphoma
                                        Onur Yaman and others
                                    
                                    Journal of Surgical Case Reports, Volume 2013, Issue 10, October 2013, rjt090, https://doi.org/10.1093/jscr/rjt090
                                    Submucosal lipoma acting as a leading point for colo-colic intussusception in an adult
                                        Khalid N. Shehzad and others
                                    
                                    Journal of Surgical Case Reports, Volume 2013, Issue 10, October 2013, rjt088, https://doi.org/10.1093/jscr/rjt088
                                    Pleomorphic adenoma of lacrimal gland
                                        Özcan Binatli and others
                                    
                                    Journal of Surgical Case Reports, Volume 2013, Issue 10, October 2013, rjt089, https://doi.org/10.1093/jscr/rjt089
                                    Difficulties in diagnosing an intermittent mesenteroaxial gastric volvulus
                                        David J. Kang and others
                                    
                                    Journal of Surgical Case Reports, Volume 2013, Issue 10, October 2013, rjt078, https://doi.org/10.1093/jscr/rjt078
                                    Acute appendicitis as a rare complication of gastric band
                                        Christos Petridis and others
                                    
                                    Journal of Surgical Case Reports, Volume 2013, Issue 10, October 2013, rjt084, https://doi.org/10.1093/jscr/rjt084
                                    Pseudoaneurysm of the internal iliac artery resulting in massive per-rectal bleeding
                                        T.I. Arthur and others
                                    
                                    Journal of Surgical Case Reports, Volume 2013, Issue 10, October 2013, rjt069, https://doi.org/10.1093/jscr/rjt069
                                    Spontaneous evisceration of bowel through an umbilical hernia in a patient with refractory ascites
                                        Uchechukwu Stanley Ogu and others
                                    
                                    Journal of Surgical Case Reports, Volume 2013, Issue 10, October 2013, rjt073, https://doi.org/10.1093/jscr/rjt073
                                    Unusual presentation of popliteal soft tissue sarcoma: not every swelling in the knee is a Baker's cyst
                                        Anantha Krishnan Raghupathi and Anupkumar Shetty
                                    
                                    Journal of Surgical Case Reports, Volume 2013, Issue 10, October 2013, rjt074, https://doi.org/10.1093/jscr/rjt074
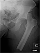
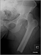
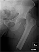
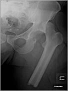
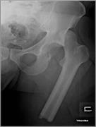
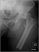
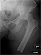
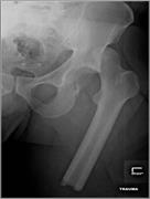
                                    The irreducible floating hip: a unique presentation of a rare injury
                                        Nathan C. Tiedeken and others
                                    
                                    Journal of Surgical Case Reports, Volume 2013, Issue 10, October 2013, rjt075, https://doi.org/10.1093/jscr/rjt075
                                    Laparoscopic repair of left paraduodenal hernia
                                        Arifa Siddika and others
                                    
                                    Journal of Surgical Case Reports, Volume 2013, Issue 10, October 2013, rjt079, https://doi.org/10.1093/jscr/rjt079
                                    Incidental complete excision of appendiceal gastric cancer metastasis
                                        Gregory S. Simpson and others
                                    
                                    Journal of Surgical Case Reports, Volume 2013, Issue 10, October 2013, rjt080, https://doi.org/10.1093/jscr/rjt080
                                    A double aortic arch presenting in the 7th decade of life
                                        Jamie Vatish and others
                                    
                                    Journal of Surgical Case Reports, Volume 2013, Issue 10, October 2013, rjt081, https://doi.org/10.1093/jscr/rjt081
                                    Advertisement
            Advertisement
             
                 
                                










