Issue navigation
Volume 2013, Issue 11, November 2013
Case Reports
Disseminated enteroinvasive aspergillosis in a critically ill patient without severe immunocompromise
Jennifer H. Fieber and others
Journal of Surgical Case Reports, Volume 2013, Issue 11, November 2013, rjt091, https://doi.org/10.1093/jscr/rjt091
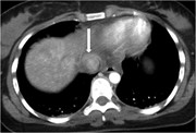
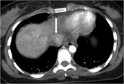
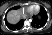
A rare opportunity for conservative treatment in a case of blunt trauma to the supradiaphragmatic inferior vena cava
Nicholas G. Matthees and others
Journal of Surgical Case Reports, Volume 2013, Issue 11, November 2013, rjt092, https://doi.org/10.1093/jscr/rjt092
Massive prolapsed haemorrhoids managed by ablation and correction in a poor resourced area
Elroy Patrick Weledji and others
Journal of Surgical Case Reports, Volume 2013, Issue 11, November 2013, rjt094, https://doi.org/10.1093/jscr/rjt094
Advertisement
Advertisement


