-
PDF
- Split View
-
Views
-
Cite
Cite
Yingda Li, Megan Ang, Julie A Miller, A rare cause of bowel obstruction in pregnancy, Journal of Surgical Case Reports, Volume 2012, Issue 12, December 2012, rjs034, https://doi.org/10.1093/jscr/rjs034
Close - Share Icon Share
Abstract
We present the case of a 30-year-old woman admitted at 38 weeks and 3 days gestation with a rare cause of bowel obstruction. Definitive diagnosis was not made until laparotomy. We present the unique management challenges posed and a review of the literature.
INTRODUCTION
Abdominal pain is common in pregnancy, with a wide differential diagnosis. Obstetric causes include ruptured ectopic, premature labour and placental abruption. General causes include appendicitis, cholecystitis, bowel obstruction and urinary tract infection [1]. Bowel obstruction complicates about 1 in 1500 pregnancies, most commonly in the third trimester. Adhesions are the commonest cause of small bowel obstruction, while large bowel obstruction can be caused by malignancy, diverticular disease and volvulus [1]. Abdominal pain in pregnancy presents a unique diagnostic challenge. The enlarging gravid uterus complicates the physical examination. Furthermore, clinicians are reluctant to use tests such as computed tomography because of radiation risk to the foetus [1].
CASE REPORT
A 30-year-old primigravid Caucasian female presented at 38 weeks and 3 days gestation with 24-h of abdominal pain, nausea and vomiting. She continued to pass flatus and had opened her bowels the day before. Past medical history included polycystic ovarian syndrome and right donor hepatectomy 6 years prior in a living-related liver transplant. She took no regular medications, had no allergies and did not smoke or drink alcohol.
On assessment, she appeared to be uncomfortable and had a tympanitic abdomen, which was generally tender but soft to palpation with scant bowel sounds. Vital signs were normal and fundal height was appropriate for gestational age. A ‘Mercedes-Benz’ scar was seen (a Chevron incision extended up to the xiphoid), consistent with previous liver surgery. Urinalysis was negative for infection, pelvic examination was unremarkable and cardiotocography showed a reassuring foetal trace. Rectal examination showed an empty vault with no masses and was negative for occult blood.
Laboratory investigations revealed a high normal white cell count (16 × 109/l, reference range for pregnancy 5.9–16.9) with mild neutrophilia (14.4 × 109/l, normal 3.9–13.1). Haemoglobin, electrolytes, renal and liver function tests and lactate were normal.
Provisional diagnosis of adhesive partial small bowel obstruction was made. A nasogastric tube was inserted, affording marginal symptomatic relief. Rectal enema was unsuccessful. Plain radiography showed colonic faecal loading with superolateral displacement of bowel loops by the gravid uterus, without evidence of obstruction or free sub-diaphragmatic air. Ultrasound showed a viable foetus with no specific intra-abdominal pathology.
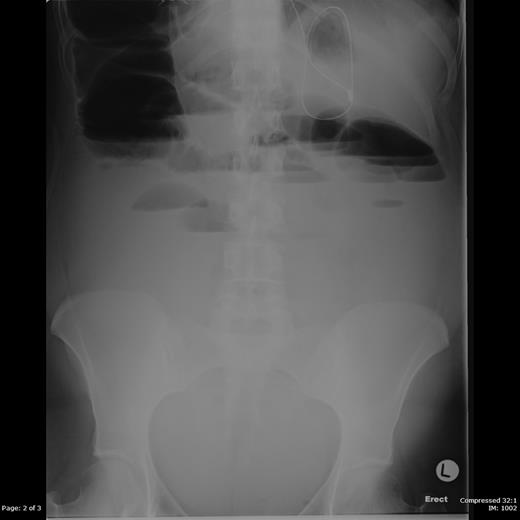
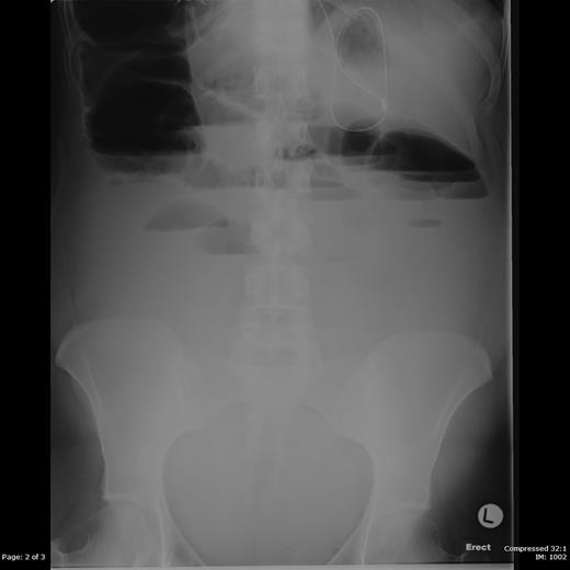
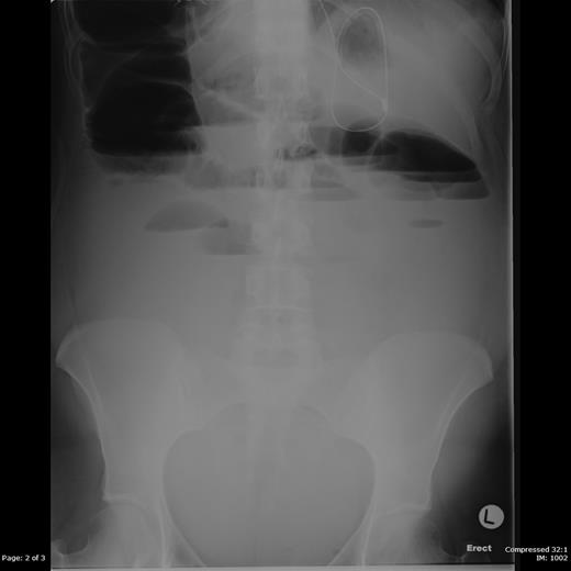
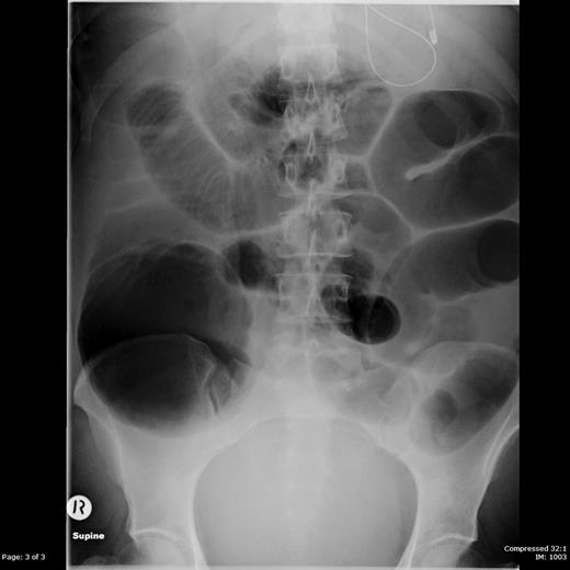
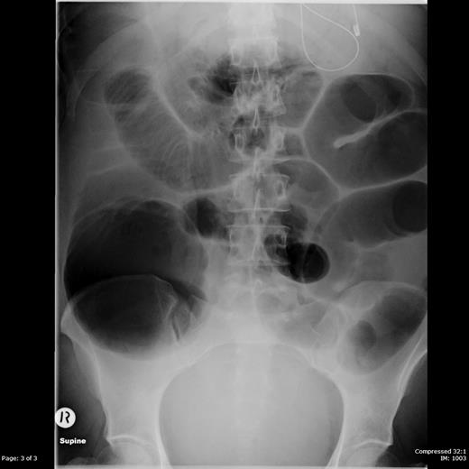
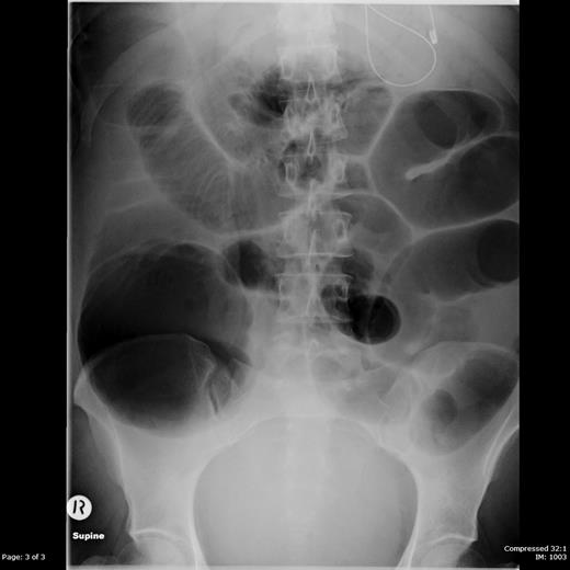
Increasing analgesic and antiemetic requirements prompted induction of labour at 38 weeks and 4 days gestation, with vaginal delivery of a baby boy. Despite clinical improvement initially, symptoms worsened again 24 h postpartum. She was no longer passing flatus and there were no audible bowel sounds. Repeat abdominal radiograph showed a large bowel obstruction with caecal dilatation up to 13 cm (Figures 1 and 2). The small bowel was also dilated, up to 5 cm.


Supine abdominal radiograph showing dilated loops of both large and small bowel.
The patient was brought to the operating theatre for midline laparotomy. Large volume ascites was encountered and several small bowel adhesions divided. A transition point was identified in the right upper quadrant, with incarceration of omentum and colon through a 2 cm defect in the posterolateral right hemidiaphragm, producing a Richter's hernia. The defect was extended to facilitate reduction of the hernial contents. The herniated omentum was necrotic, but the large bowel appeared viable. The defect was closed with interrupted figure-of-eight 0-Ethibond sutures (Johnson and Johnson). A 14-French Foley catheter was placed into the pleural space through the diaphragmatic defect and slowly withdrawn on suction as the diaphragmatic sutures were tightened to prevent pneumothorax.
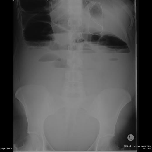
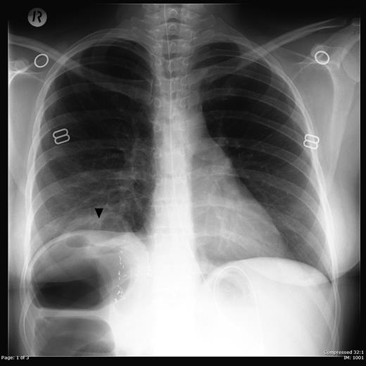
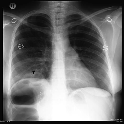
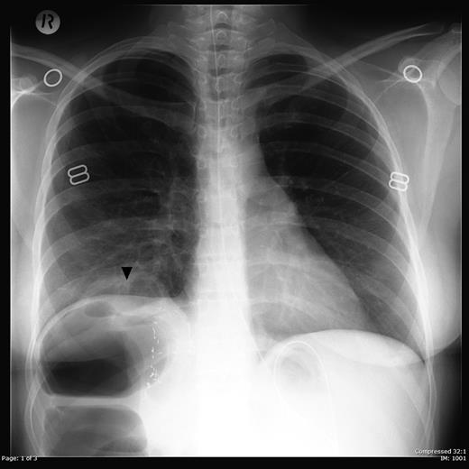
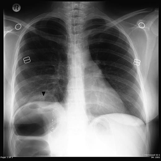
The patient's symptoms resolved postoperatively and mother and baby discharged home on the seventh postoperative day. Retrospective review of the preoperative erect chest X-ray showed a knuckle of herniated colon was in fact visible above the diaphragm (Figure 3).

Erect chest radiograph showing a loop of bowel (arrowhead) projecting above the right hemidiaphragm. Clips are seen in the right upper quadrant consistent with previous liver surgery.
DISCUSSION
Diaphragmatic hernias can be congenital or acquired. Congenital hernias occur in 1 in 2000 births and usually manifest in the neonatal period with respiratory dysfunction [2]. They are predominantly left-sided, with the liver impeding right-sided herniation. Acquired diaphragmatic hernias can be caused by blunt, penetrating or iatrogenic injury. A large European series showed that the prevalence of diaphragmatic injury in patients admitted to hospital following trauma was 3.7% in those who suffered blunt truncal injury and 2.6% in the penetrating group [3]. Iatrogenic diaphragmatic hernias are uncommon, with a handful of cases reported following hiatus hernia repair and oesophagectomy [4]. There is an isolated report of acquired diaphragmatic herniation complicating donor hepatectomy [5], as was the case here.
Diaphragmatic hernia manifesting in pregnancy is uncommon and presents a complex management problem. Edlington et al., in the largest review on the subject, identified 36 cases of diaphragmatic hernia presenting in pregnancy, most commonly third trimester [2]. The cause was congenital in one-third of cases and acquired in 14%, with no cause assigned to the remainder. The majority were left sided (94%). The commonest mode of presentation was bowel obstruction (61%), followed by respiratory distress and incidental radiological finding. Half were repaired in the postpartum period and one-third antepartum, with the remainder conservatively managed. In those that were repaired, abdominal approach was most commonly used (43%), followed by thoracic and combined thoraco-abdominal approaches. Laparoscopic approach was used in two cases. Most foetuses were delivered vaginally (80%). Large bowel was the most commonly herniated viscus (77%), followed by stomach (57%), small intestines (30%) and omentum (23%). Maternal mortality was 10% while foetal mortality was 13% [2].
Raised intra-abdominal pressure associated with the growing foetus has been identified as a central factor in the pathophysiology of pregnancy-associated diaphragmatic hernias. Elevated progesterone levels causing diaphragmatic muscle laxity and labour-induced diaphragmatic contractions have also been implicated [2].
The optimal approach to managing diaphragmatic hernias in pregnancy is unclear. Kurtzel et al. have advocated for early operative repair of symptomatic diaphragmatic hernias detected in the first or second trimesters before uterine enlargement causes further visceral herniation and incarceration [6]. Delivery can subsequently be achieved by the vaginal route. Similarly, elective Caesarean delivery with concurrent abdominal repair of the diaphragmatic hernia was recommended in those presenting in third trimester. A more conservative approach has been proposed towards asymptomatic hernias, given the relative prevalence of diaphragmatic hernias among the general population, and particularly in the first two trimesters prior to completion of organogenesis [7].
Most antepartum repairs have been performed in the supine position, avoiding potential foetal pressure on the inferior vena cava in the right lateral position [2]. However, more recent experience suggests that the right lateral approach improves exposure, as the majority of diaphragmatic hernias are left-sided hernias, although this was done in the elective setting [8]. Primary closure of the defect is generally performed, although prosthetic meshes, such as Gore-tex, have been used for larger defects [9]. Reinforcement with falciform ligament and peritoneum have been reported in congenital hernia repairs [10]. Prostheses are contraindicated in cases of perforation given the high postoperative infection rates observed in other contaminated hernia operations.
In conclusion, pregnancy-related diaphragmatic hernias are uncommon, associated with high foeto-maternal morbidity and present a challenging management problem. While urgent surgery is indicated in those presenting emergently, both the approach to incidentally detected hernias and the timing of elective repair of symptomatic hernias remain controversial. Our case highlights the need for a high index of diagnostic suspicion in patients presenting with bowel obstruction who have suffered thoraco-abdominal trauma, or undergone upper gastrointestinal or liver surgery previously.