Issue navigation
Volume 2014, Issue 2, February 2014
Case Reports
Small bowel obstruction secondary to bilateral obturator hernia: a rare occurrence
Chin Li Tee and others
Journal of Surgical Case Reports, Volume 2014, Issue 2, February 2014, rju009, https://doi.org/10.1093/jscr/rju009
Chopart arthrodesis with graft bone from the iliac crest after a traumatic subamputation of the forefoot: surgical technique
Marco Cianforlini and others
Journal of Surgical Case Reports, Volume 2014, Issue 2, February 2014, rju007, https://doi.org/10.1093/jscr/rju007
Primary malignant melanoma of the oesophagus: two case reports
Amy Hoi-Ying Pun and Peter G. Devitt
Journal of Surgical Case Reports, Volume 2014, Issue 2, February 2014, rju005, https://doi.org/10.1093/jscr/rju005
Fetus-in-fetu: a pediatric rarity
Jeyanthi N. Narayanasamy and others
Journal of Surgical Case Reports, Volume 2014, Issue 2, February 2014, rju001, https://doi.org/10.1093/jscr/rju001
Vaginal repair of vaginal vault dehiscence after postpartum hysterectomy
Sümeyra Nergiz Avcıoğlu and others
Journal of Surgical Case Reports, Volume 2014, Issue 2, February 2014, rjt127, https://doi.org/10.1093/jscr/rjt127
De Garengeot's hernia: diagnosis and surgical management of a rare type of femoral hernia
Jason Ramsingh and others
Journal of Surgical Case Reports, Volume 2014, Issue 2, February 2014, rju008, https://doi.org/10.1093/jscr/rju008
An unusual presentation of aplastic anaemia: compartment syndrome
Toby Jennison and others
Journal of Surgical Case Reports, Volume 2014, Issue 2, February 2014, rjt095, https://doi.org/10.1093/jscr/rjt095
Successful embolization of vulval varices arising from the external pudendal vein
Muhammad I. Aslam and others
Journal of Surgical Case Reports, Volume 2014, Issue 2, February 2014, rjt129, https://doi.org/10.1093/jscr/rjt129
Progression of malrotation into volvulus in an adult after appendectomy
Johanna Basa and others
Journal of Surgical Case Reports, Volume 2014, Issue 2, February 2014, rju002, https://doi.org/10.1093/jscr/rju002
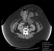
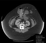
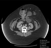
A rare case of umbilical hernia containing the pancreas
Nasra Alam and others
Journal of Surgical Case Reports, Volume 2014, Issue 2, February 2014, rju006, https://doi.org/10.1093/jscr/rju006
Advertisement
Advertisement








