Issue navigation
Volume 2024, Issue 10, October 2024
Case Reports
Synovial sarcoma of the ethmoid sinus with extension to the cavernous sinus: a case report and literature review
Haneen H Sharabati and others
Journal of Surgical Case Reports, Volume 2024, Issue 10, October 2024, rjae579, https://doi.org/10.1093/jscr/rjae579
Recurrent syncope during mastication
Otavio F De Toledo and others
Journal of Surgical Case Reports, Volume 2024, Issue 10, October 2024, rjae585, https://doi.org/10.1093/jscr/rjae585
Epithelioid sarcoma of the pretragus: a rare pediatric entity with an unusual site
Rihane El Mohtarim and others
Journal of Surgical Case Reports, Volume 2024, Issue 10, October 2024, rjae606, https://doi.org/10.1093/jscr/rjae606
A delayed presentation of traumatic diaphragmatic hernia in a young male: a unusual case report and comprehensive review of literature
Suraj K C and others
Journal of Surgical Case Reports, Volume 2024, Issue 10, October 2024, rjae613, https://doi.org/10.1093/jscr/rjae613
A case of idiopathic superior lumbar hernia repaired using a transabdominal laparoscopic approach
Koki Kawakami and others
Journal of Surgical Case Reports, Volume 2024, Issue 10, October 2024, rjae608, https://doi.org/10.1093/jscr/rjae608
Puestow surgery in a SPINK mutation chronic pancreatitis: a rare case report
Paola Solis-Pazmino and others
Journal of Surgical Case Reports, Volume 2024, Issue 10, October 2024, rjae614, https://doi.org/10.1093/jscr/rjae614
Surgical challenges of simultaneous laparoscopic management of gastrointestinal stromal tumor and adrenocortical nodular hyperplasia in a 39-year-old female patient: a case report
Ali Gavrankapetanovic and others
Journal of Surgical Case Reports, Volume 2024, Issue 10, October 2024, rjae616, https://doi.org/10.1093/jscr/rjae616
Successful surgical repair of isolated supra-cardiac total anomalous pulmonary venous connection (TAPVC) with venous confluence stenosis using dual anastomosis: a case report from Syria
Ghaith Hasan and others
Journal of Surgical Case Reports, Volume 2024, Issue 10, October 2024, rjae621, https://doi.org/10.1093/jscr/rjae621
Entangled: Rapunzel syndrome with postoperative intussusception
Zoha Shahzad and others
Journal of Surgical Case Reports, Volume 2024, Issue 10, October 2024, rjae623, https://doi.org/10.1093/jscr/rjae623
Cholecystocutaneous fistula after cholecystectomy
Raju Sah and others
Journal of Surgical Case Reports, Volume 2024, Issue 10, October 2024, rjae617, https://doi.org/10.1093/jscr/rjae617
A case of minimum invasive debranch thoracic endovascular aortic repair for isolated left vertebral artery: complete revascularization without artificial vessels via a single small incision
Masahiro Tsutsui and others
Journal of Surgical Case Reports, Volume 2024, Issue 10, October 2024, rjae595, https://doi.org/10.1093/jscr/rjae595
Mixed neuroendocrine–nonneuroendocrine epithelial neoplasm of muscle invasive bladder cancer: a clinicopathologic case study
Pierre Tran and others
Journal of Surgical Case Reports, Volume 2024, Issue 10, October 2024, rjae612, https://doi.org/10.1093/jscr/rjae612
Recurrent positional unilateral pulmonary edema following CABG: an uncommon case report
Aimen Dammak and others
Journal of Surgical Case Reports, Volume 2024, Issue 10, October 2024, rjae615, https://doi.org/10.1093/jscr/rjae615
Appendicular diverticulosis complicated by acute appendicitis and organizing abscess: what does the surgeon need to consider intraoperatively?
Hussain Al Jabran and others
Journal of Surgical Case Reports, Volume 2024, Issue 10, October 2024, rjae618, https://doi.org/10.1093/jscr/rjae618
Follow-up report on pulmonary mucosa-associated lymphoma in a patient with von Hippel–Lindau disease
Bukola A Olarewaju and others
Journal of Surgical Case Reports, Volume 2024, Issue 10, October 2024, rjae619, https://doi.org/10.1093/jscr/rjae619
Laparoscopic excision of an incidental vascular tumor
Sofia Boligo and others
Journal of Surgical Case Reports, Volume 2024, Issue 10, October 2024, rjae624, https://doi.org/10.1093/jscr/rjae624
Ileal intussusception due to heterotopic pancreas in the ileum: a case report
Francesco Cammarata and others
Journal of Surgical Case Reports, Volume 2024, Issue 10, October 2024, rjae570, https://doi.org/10.1093/jscr/rjae570
Successful surgical repair of a huge left ventricular pseudoaneurysm after repair of left ventricular rupture during mitral valve replacement
Kyoka Hayashi and others
Journal of Surgical Case Reports, Volume 2024, Issue 10, October 2024, rjae636, https://doi.org/10.1093/jscr/rjae636
Surgical resection of late extrahepatic metastasis of hepatocellular carcinoma 11 years after initial diagnosis: case report and literature review
Carolina Baz and others
Journal of Surgical Case Reports, Volume 2024, Issue 10, October 2024, rjae632, https://doi.org/10.1093/jscr/rjae632
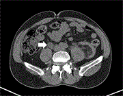
Spontaneous splenic rupture as a primary manifestation of angiosarcoma: a case report
Ameer Awashra and others
Journal of Surgical Case Reports, Volume 2024, Issue 10, October 2024, rjae633, https://doi.org/10.1093/jscr/rjae633
Basosquamous cutaneous carcinoma: a rare case study involving the perineum and review of the literature
Charles Lu and others
Journal of Surgical Case Reports, Volume 2024, Issue 10, October 2024, rjae635, https://doi.org/10.1093/jscr/rjae635
A case of benign multicystic peritoneal mesothelioma
Jessica Wassef and others
Journal of Surgical Case Reports, Volume 2024, Issue 10, October 2024, rjae629, https://doi.org/10.1093/jscr/rjae629
Importance of high suspicion of intestinal perforation in blunt abdominal injury in patients with inflammatory bowel disease
Nadia El-Diaz and others
Journal of Surgical Case Reports, Volume 2024, Issue 10, October 2024, rjae630, https://doi.org/10.1093/jscr/rjae630
Successful surgical resection of an incidental primary lung giant cell carcinoma
Jurgienne Umali and Jenelle Taylor
Journal of Surgical Case Reports, Volume 2024, Issue 10, October 2024, rjae634, https://doi.org/10.1093/jscr/rjae634
Effective percutaneous treatment of severe necrotizing pancreatitis: a case report
Yavor Asenov and others
Journal of Surgical Case Reports, Volume 2024, Issue 10, October 2024, rjae627, https://doi.org/10.1093/jscr/rjae627
Interval robotic cholecystoduodenal fistula repair and cholecystectomy for gallstone ileus: a case report
Alexandra Z Agathis and others
Journal of Surgical Case Reports, Volume 2024, Issue 10, October 2024, rjae628, https://doi.org/10.1093/jscr/rjae628
Unique encounter of a branchial cleft cyst compressing the great auricular nerve in an adult: a case report
Yazan AlHabil and others
Journal of Surgical Case Reports, Volume 2024, Issue 10, October 2024, rjae640, https://doi.org/10.1093/jscr/rjae640
Dialysis-associated steal syndrome as a rare complication of arteriovenous fistula angioplasty
Fang Nian Joanne Lim and Zhi Peng Nick Ng
Journal of Surgical Case Reports, Volume 2024, Issue 10, October 2024, rjae645, https://doi.org/10.1093/jscr/rjae645
Oculomotor compressive neuropathy secondary to calcifying pseudoneoplasm of the neuraxis (CAPNON)
Verónica Alzate-Carvajal and others
Journal of Surgical Case Reports, Volume 2024, Issue 10, October 2024, rjae507, https://doi.org/10.1093/jscr/rjae507
Early surgical intervention is critical for strangulated Richter’s hernia
Christopher R Smith and Michail Chatzikonstantinou
Journal of Surgical Case Reports, Volume 2024, Issue 10, October 2024, rjae642, https://doi.org/10.1093/jscr/rjae642
A heart so black: a case of alkaptonuric ochronosis of the aortic and mitral valves in a female patient with severe aortic valve stenosis and coronary artery disease
Alex Kamougeros and others
Journal of Surgical Case Reports, Volume 2024, Issue 10, October 2024, rjae644, https://doi.org/10.1093/jscr/rjae644
Correction of lower limb deformity in an adult patient with Ellis-van Creveld syndrome: a rare case report
Yukie Metoki and others
Journal of Surgical Case Reports, Volume 2024, Issue 10, October 2024, rjae648, https://doi.org/10.1093/jscr/rjae648
Gastric tube-preserving pancreaticoduodenectomy for ampullary adenocarcinoma after Lewis-Santy esophagectomy: a case report and literature review
Sylvie Nachtergaele and others
Journal of Surgical Case Reports, Volume 2024, Issue 10, October 2024, rjae610, https://doi.org/10.1093/jscr/rjae610
Massive chest wall bleeding 3 days after lung wedge resection caused by a protruding staple
Jincheng Fang and others
Journal of Surgical Case Reports, Volume 2024, Issue 10, October 2024, rjae620, https://doi.org/10.1093/jscr/rjae620
Adult presentation of symptomatic annular pancreas treated with gastrojejunostomy
Violet M Kryzsko and others
Journal of Surgical Case Reports, Volume 2024, Issue 10, October 2024, rjae638, https://doi.org/10.1093/jscr/rjae638
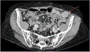
Idiopathic splenic infarcts in a patient with situs inversus totalis: a case report
Bashar Abunasser and Hisham Issa Shabani
Journal of Surgical Case Reports, Volume 2024, Issue 10, October 2024, rjae605, https://doi.org/10.1093/jscr/rjae605
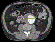
A common femoral vein aneurysm diagnostic challenge: a case report and review of the literature
Melaku Teshale Gemechu and Dagim Leykun Berhanu
Journal of Surgical Case Reports, Volume 2024, Issue 10, October 2024, rjae652, https://doi.org/10.1093/jscr/rjae652
The role of a specialized urethral catheter in early detection of intra-abdominal hypertension: a case report
Dia R Halalmeh and others
Journal of Surgical Case Reports, Volume 2024, Issue 10, October 2024, rjae653, https://doi.org/10.1093/jscr/rjae653
Dorsal agenesis of the pancreas: an incidental finding
Daphne Cauchi and others
Journal of Surgical Case Reports, Volume 2024, Issue 10, October 2024, rjae655, https://doi.org/10.1093/jscr/rjae655
A case of solitary metastatic colon adenocarcinoma of the sternum: an unusual metastatic site
Elias Edward Lahham and others
Journal of Surgical Case Reports, Volume 2024, Issue 10, October 2024, rjae656, https://doi.org/10.1093/jscr/rjae656
Mature cystic teratoma originating in the broad ligament: a case report
Tingzhu Meng and others
Journal of Surgical Case Reports, Volume 2024, Issue 10, October 2024, rjae661, https://doi.org/10.1093/jscr/rjae661
Surgical treatment of coexisting intra and extralobar sequestration in an infant
Ahmad Saleh and others
Journal of Surgical Case Reports, Volume 2024, Issue 10, October 2024, rjae660, https://doi.org/10.1093/jscr/rjae660
Unexpected intraoperative finding of a hyalinizing cholecystitis in a patient with gallbladder calculi
Klaudia Gjinoska and others
Journal of Surgical Case Reports, Volume 2024, Issue 10, October 2024, rjae651, https://doi.org/10.1093/jscr/rjae651
Broncho biliary fistula, a rare complication after hepatectomy: case report of endoscopic and radiological management
Ibtissam I E El Ouali and others
Journal of Surgical Case Reports, Volume 2024, Issue 10, October 2024, rjae657, https://doi.org/10.1093/jscr/rjae657
Gallstone ileus causing perforation of multiple segments of small bowel
Andrew D Eiref and others
Journal of Surgical Case Reports, Volume 2024, Issue 10, October 2024, rjae647, https://doi.org/10.1093/jscr/rjae647
Rare finding of ectopic pancreas in a cholecystectomy specimen: case report and literature review
Carolina Baz and others
Journal of Surgical Case Reports, Volume 2024, Issue 10, October 2024, rjae659, https://doi.org/10.1093/jscr/rjae659
A rare finding of pulmonary nodules in a middle ear neuroendocrine tumor: a case report and review of the literature
Nader Alharbi and others
Journal of Surgical Case Reports, Volume 2024, Issue 10, October 2024, rjae662, https://doi.org/10.1093/jscr/rjae662
Surgical intervention of a giant bronchogenic cyst in the right middle lobe with recurrent infections: a case report
Quan Qiao and others
Journal of Surgical Case Reports, Volume 2024, Issue 10, October 2024, rjae664, https://doi.org/10.1093/jscr/rjae664
Postsurgical pyoderma gangrenosum after mastectomy with a familial component
Christine Courtney Rogers and others
Journal of Surgical Case Reports, Volume 2024, Issue 10, October 2024, rjae667, https://doi.org/10.1093/jscr/rjae667
The conundrum of the giant condyloma: is it carcinoma?
Hyung C Kim and others
Journal of Surgical Case Reports, Volume 2024, Issue 10, October 2024, rjae668, https://doi.org/10.1093/jscr/rjae668
Postoperative chylothorax following video-assisted mediastinoscopic lymphadenectomy (VAMLA) for early-stage non-small cell lung carcinoma
Kayleigh A M van Dam and others
Journal of Surgical Case Reports, Volume 2024, Issue 10, October 2024, rjae665, https://doi.org/10.1093/jscr/rjae665
Peritoneal invagination hernia in the virgin abdomen
Evan A Thomas and Adam S Harris
Journal of Surgical Case Reports, Volume 2024, Issue 10, October 2024, rjae666, https://doi.org/10.1093/jscr/rjae666
Rare case of concomitant coronary artery bypass grafting and open abdominal aortic aneurysm repair
Dakota Pastore and others
Journal of Surgical Case Reports, Volume 2024, Issue 10, October 2024, rjae672, https://doi.org/10.1093/jscr/rjae672
Successful surgical treatment of a right atrial myxoma with hypothermic circulatory arrest and venous cannulation in pulmonary artery
Takao Miki and others
Journal of Surgical Case Reports, Volume 2024, Issue 10, October 2024, rjae677, https://doi.org/10.1093/jscr/rjae677
Progressive dysphagia from an esophageal liposarcoma, a complex problem in a challenging setting
Santiago A Endara and others
Journal of Surgical Case Reports, Volume 2024, Issue 10, October 2024, rjae670, https://doi.org/10.1093/jscr/rjae670
Incidental aortic valve papillary fibroelastoma diagnosed by transesophageal echocardiography in a patient undergoing coronary artery bypass surgery: a case report
Nael Al-Sarraf and others
Journal of Surgical Case Reports, Volume 2024, Issue 10, October 2024, rjae679, https://doi.org/10.1093/jscr/rjae679
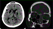
Primary intraosseous meningioma: a case of early symptomatic calvarial origin meningioma
Olia Poursina and Jingxin Qiu
Journal of Surgical Case Reports, Volume 2024, Issue 10, October 2024, rjae676, https://doi.org/10.1093/jscr/rjae676
Case Series
Chevrel’s procedure for midline incisional hernia repair—not to be abandoned or forgotten
Andrej Nikolovski and others
Journal of Surgical Case Reports, Volume 2024, Issue 10, October 2024, rjae643, https://doi.org/10.1093/jscr/rjae643
Surgical Technique
Use of tricortical iliac crest allograft for augmentation of depressed lateral tibial plateau fracture: a surgical technique
Pierre-Emmanuel Schwab and others
Journal of Surgical Case Reports, Volume 2024, Issue 10, October 2024, rjae637, https://doi.org/10.1093/jscr/rjae637
Advertisement
Advertisement