Issue navigation
Volume 2014, Issue 7, July 2014
Case Reports
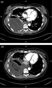
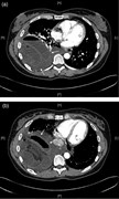
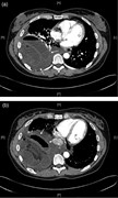
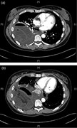
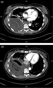
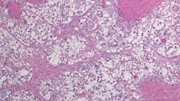
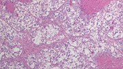
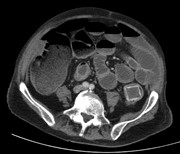
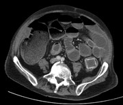
Pancreatic paraganglioma - a rare and dangerous entity. Vascular anatomy and impact on management
Martin Straka and others
Journal of Surgical Case Reports, Volume 2014, Issue 7, July 2014, rju074, https://doi.org/10.1093/jscr/rju074
Chyle leak following biliary pancreatitis
Jocelyn F. Lippey and Tuck L. Yong
Journal of Surgical Case Reports, Volume 2014, Issue 7, July 2014, rju052, https://doi.org/10.1093/jscr/rju052
Laparoscopic resection for torsion of an omental lipoma presenting as an acute abdomen in a 5-year-old girl
Yousuke Kinjo and others
Journal of Surgical Case Reports, Volume 2014, Issue 7, July 2014, rju072, https://doi.org/10.1093/jscr/rju072
Multiple ileal perforations and concomitant cholecystitis with gall bladder gangrene as complication of typhoid fever
Paras K. Pandove and others
Journal of Surgical Case Reports, Volume 2014, Issue 7, July 2014, rju070, https://doi.org/10.1093/jscr/rju070
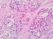
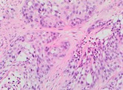
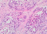
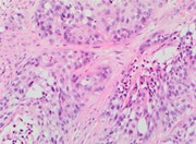
A case of CD68 negative histiocytic sarcoma of axilla masquerading as metastatic breast cancer
Jitendra Kumar Nangal and others
Journal of Surgical Case Reports, Volume 2014, Issue 7, July 2014, rju071, https://doi.org/10.1093/jscr/rju071
Laparoscopic management of a delayed traumatic diaphragmatic rupture complicated by bowel strangulation
Mathew Baldwin and others
Journal of Surgical Case Reports, Volume 2014, Issue 7, July 2014, rju073, https://doi.org/10.1093/jscr/rju073
Invasive ductal carcinoma of the breast with clear cell and pseudo-lactating changes
Christopher Ovanez and others
Journal of Surgical Case Reports, Volume 2014, Issue 7, July 2014, rju063, https://doi.org/10.1093/jscr/rju063
An unusual case of hypothenar hammer syndrome in the non-dominant hand
Natasha J.G. Bauer and Simon C. Hardy
Journal of Surgical Case Reports, Volume 2014, Issue 7, July 2014, rju068, https://doi.org/10.1093/jscr/rju068
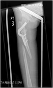
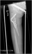
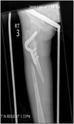
Use of a proximal humeral plate for a paediatric peri-prosthetic femoral fracture
C.R. Shaw and others
Journal of Surgical Case Reports, Volume 2014, Issue 7, July 2014, rju069, https://doi.org/10.1093/jscr/rju069
Synchronous tumours of the breast and bladder
David Wallace and others
Journal of Surgical Case Reports, Volume 2014, Issue 7, July 2014, rju066, https://doi.org/10.1093/jscr/rju066
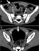
What to do with a non-rolling stone? Surgical on-table dilemma in large bowel obstruction due to an impacted gallstone
Niloy Das and others
Journal of Surgical Case Reports, Volume 2014, Issue 7, July 2014, rju042, https://doi.org/10.1093/jscr/rju042
Advertisement
Advertisement










