-
PDF
- Split View
-
Views
-
Cite
Cite
Will Kieffer, Migratory abdominal pain, Journal of Surgical Case Reports, Volume 2010, Issue 8, October 2010, Page 7, https://doi.org/10.1093/jscr/2010.8.7
Close - Share Icon Share
Abstract
A 63 year old woman, presenting as an emergency provides an useful example of the difficulties in diagnosing acute appendicitis when faced with an atypical history. This patient underwent plain radiography, computed tomography, repeat biochemical investigations and finally an exploratory laparotomy before the diagnosis of acute appendicitis was made. The case was confounded by a highly mobile caecal pole which brought the inflamed appendix to lie over the pancreas highlighting the need for vigilance in diagnosing acute appendicitis.
INTRODUCTION
Appendicitis is the most common abdominal surgical emergency accounting for up to 17% of all surgical abdomens (1). However, despite its prevalence it can be difficult to diagnose and delayed diagnosis is the main cause of both operative mortality and morbidity. The accuracy of diagnosis in men varies between 78-92% and in women 58-85%, the difference being due to pathology of the female reproductive tract. This diagnostic problem is illustrated by the following case of a 63 year-old woman, with migratory abdominal pain and highlights the need for vigilance in diagnosing appendicitis in all cases of abdominal pain, regardless of the presentation or clinical suspicion.
CASE REPORT
A 63-year-old woman, presented as an emergency with a 2-day history of central abdominal pain and vomiting. Her medical history included alcohol excess, complicated by mild Korsakoff’s syndrome, and surgery consisting of a laparoscopic cholecystectomy and a negative, exploratory laparotomy, for a previous, similar presentation.
On examination, she was afebrile with a temperature of 37.2 oC. Initial observations were blood pressure 124/78mmHg, pulse 86 beats/min, respiratory rate of 18 breaths/min with a saturation of 97% on air. Her abdomen was mildly tender in the umbilical and epigastric regions with no evidence of either focal or generalised peritonism. A previous laparotomy and laparoscopy scars were observed and normal bowel sounds were auscultated throughout. No hernias were palpable.
Haematology revealed a normal white cell count of 9.0×10^9/L (neutrophilia of 7.4×10^9/L). Amylase was 95u/L, CRP 8mg/L with hyponatraemia of 125 mmol/L but otherwise normal laboratory values. Her arterial blood sample only demonstrated a mild hypoxaemia of 10.4kPa.
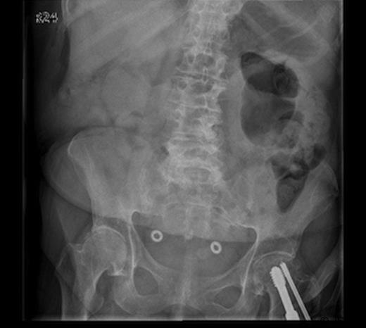
Plain abdominal radiograph showed a non-dilated, gas-filled loop of large bowel in the left upper quadrant, but no free gas within the peritoneal cavity (fig1). The erect chest radiograph demonstrated ectasia of the thoracic aorta but no subphrenic gas.

Plain abdominal radiograph showing a non-dilated, gas-filled loop of large bowel in the left upper quadrant, but no free gas within the peritoneal cavity
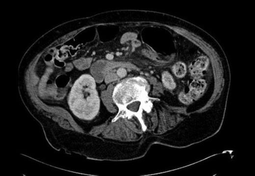
The following morning, she underwent Helical Computed Tomography (CT) of her abdomen and pelvis. This revealed her caecal pole to be situated in the left upper quadrant, with evidence of fat stranding between the caecum and pancreas(fig 2). The appendix was not visualised. The liver, spleen, stomach and pancreas all had normal CT appearances and were in their expected, anatomical locations. Other findings were cystic duct clips from a previous cholecsytectomy and intra-hepatic biliary duct dilatation (max diameter of the CBD 1.2cm). There was also an atrophic left kidney but no evidence of lymphadenopathy, (some of the images were degraded by artefact from a DHS fixation of the left hip), and no evidence of bowel obstruction or appendicolith.

CT showing the caecal pole to be situated in the left upper quadrant, with evidence of fat stranding between the caecum and pancreas
The patient’s clinical condition deteriorated, with increasing abdominal pain, which had now moved to the left upper quadrant. Localised peritonism was present and arterial and venous blood samples were repeated. Her white cell count was still within normal limits at 8.9×10^9/L, although with a neutrophilia of 7.9×10^9/L and a CRP of 254mg/L. Once again her renal and liver function tests were all within normal laboratory ranges, adjusted for age and gender. Her hypoxaemia had deteriorated to 10.7kPa on 2L oxygen, with a pH of 7.35, a corrected bicarbonate of 21.7mmol/L and a base excess of -3.2mmol/L.
Given her clinical and biochemical deterioration, an emergency laparotomy was arranged that confirmed the presence of a mobile caecal pole, located in the left upper quadrant, lying alongside the splenic flexure. At the base of the caecum was a retrocaecal appendix, surrounded by adherent mesoappendix, with focal inflammation, a haemorrhagic surface and surrounding exudates. There was no evidence of caecal volvulus (axial torsion type) or colonic necrosis. Appendicectomy and caecopexy were performed and the patient had an uneventful post-operative recovery. She was treated with 3 days of antibiotics and discharged 4 days post-laparotomy.
DISCUSSION
Appendicitis is the commonest surgical emergency, presenting with abdominal pain, in which the classical history of central abdominal pain migrating to the right iliac fossa, is taken for granted. Irvin et al in 1989 performed an audit of diagnoses made on 1190 cases of acute abdominal pain presenting to their surgical department and noted that second to non-specific abdominal pain which comprised 35% of cases, appendicitis was the second commonest at 17% and intestinal obstruction third at 15% (1).
Left sided appendicitis has been reported in the literature, with the majority of patients suffering from situs inversus or midgut malrotation. One case report noted the incidence of situs inversus to be between 1 in 6000 and 1 in 35000, and midgut malrotation to be even rarer (2). In the absence of either of these abnormalities, there is the possibility of incomplete intestinal rotation, whereby at the end of embryonic intestinal development, the right colonic mesentery is incompletely fixed to the retroperitoneal structures. It is estimated that in the adult population, sufficient caecal mobility exists in 25% of patients for bascule formation (3), which was the mechanism of caecal malposition in this case.
The classical history of appendicitis is one, which is frequently inconsistent, with patients presenting with a variety of other symptoms that might not point the clinician directly towards the diagnosis of appendicitis. Indeed, specific scoring tools for suspected appendicitis, such as the MANTRELS score are limited in their diagnostic ability, as 30% of their criteria are by definition, not applicable in patients presenting with an appendix that is not located in the right iliac fossa. The criteria state that whilst abdominal rebound tenderness has a sensitivity of 96% for appendicitis, pain shifting to the right lower quadrant only has an 80% sensitivity with a leukocytosis on white blood cell count also being 80% (4). Other studies have shown neutrophilia and a raised C-Reactive Protein to be more sensitive at 95% and 97-100% respectively. It must be noted however that these criteria alone are no substitute for a thorough clinical history and examination. Recently, Helical CT scanning has been advocated as an appropriate, first-line investigation for suspected appendicitis, with a sensitivity of 100%, specificity of 97%, positive predictive value of 97% and a negative predictive value of 100% (5). Imaging, would also enable detection of any rotational, visceral abnormalities.
Given the increase in availability of Helical CT scanning and its decrease in cost, increased use as evaluation of the acute abdomen should be considered in atypical or diagnostically challenging cases as a minimum. Compared to standard CT scanning, Helical CT provides shorter acquisition times, better parenchymal visceral and vascular imaging as well as decreasing the radiation doses involved and quantities of contrast required for accurate imaging (6). One of the problems however with CT scanning is attenuation and artefact due to surgical implants for example and care should always be taken to ensure this is considered when contemplating the best imaging modality for the clinical situation. In this case the patient’s Dynamic Hip Screw would have caused severe degradation in the images had the area of interest been in the lower abdomen or pelvis.
The management of appendicitis is not becoming drastically easier with surgeons still performing a number of unnecessary appendicectomies today despite advances in diagnosis and imaging technologies and until a set of robust criteria for diagnosing acute appendicitis, a low clinical incidence of suspicion should be maintained at all times by surgeons when evaluating acute admissions with abdominal pain. To the authors’ knowledge, this is the first case in English literature, of a case of left-sided abdominal pain and appendicitis, without either of the above anatomical abnormalities.
In conclusion, this case highlights the need for vigilance, in all presentations of abdominal pain, with the inclusion of appendicitis as a differential. Although, in cases in which the site of presentation is not the right iliac fossa, the statistical likelihood of the primary pathology being appendicitis is low, it is nonetheless an important differential due to the consequences of a missed diagnosis. Where there is no clear clinical picture and the patient is deteriorating, with signs of local or generalised peritonitis, Helical CT scanning and a high degree of clinical suspicion play an important role in assisting the surgeon in making the diagnosis and instituting the appropriate treatment.
REFERENCES