-
PDF
- Split View
-
Views
-
Cite
Cite
KE Aagaard, K Lunsjö, Occult fracture of the lesser tuberosity in a 9-year-old female swimmer, Journal of Surgical Case Reports, Volume 2017, Issue 1, January 2017, rjw238, https://doi.org/10.1093/jscr/rjw238
Close - Share Icon Share
Abstract
The adolescent avulsion of the lesser tuberosity of the humerus has historically been considered as very rare. The youngest patient reported in the literature is 11 years old. We report a case of a 9-year-old girl who suffered a subscapularis tendon tear with an occult avulsion of the lesser tuberosity. Late repair restored function. Despite that late repair in this present case resulted in excellent outcome, we strongly recommend the additional axillary lateral view of the plain radiographs, as well as proper physical examination to facilitate early diagnosis.
INTRODUCTION
Various avulsion fractures occur in pediatric patients. Avulsion of the anterior tibial tuberosity, the medial epicondyle of the humerus and the anterior superior iliac spine are some of the most common [1]. Rotator cuff tears are rare in the pediatric population. In skeletally immature patients, subscapularis injuries are to our knowledge always associated with an avulsion of the lesser tuberosity in varying size. The lesion is often a type of a periosteal sleeve fracture and if the avulsion fragment is small or consist of periosteum only, the diagnosis might go undetected. The plain radiographs together with the radiological report could mislead the emergency care doctor to interpret the injury as a simple strain.
CASE REPORT

Anteroposterior view of the right shoulder (A) shows the exostosis localized inferior and medial to the origin of the native lesser tuberosity. On the transverse view of the arthro MRI (B), the anteriorly displaced subscapularis tendon due to the new insertion site on the exostosis, is marked with the red arrow.

Axillary lateral view of the injured right shoulder. The avulsion fragment of the lesser tuberosity is marked by the red arrow.
Despite the meticulous rehabilitation, the girl complained of persistent weakness of her shoulder in addition to lack of internal rotation. The physical examination revealed full forward flexion, abduction and extern rotation but ~30° deficits in internal rotation. The exostosis was palpable and there was a popping sensation over the exostosis during rotation of the humerus. Belly-press and lift-off tests were both positive. Fifteen months after the traumatic event she underwent excision of the exostosis with reattachment of the subscapularis tendon to its original footprint.

Open repair of the subscapularis tendon with a suture bridging technic leaving the uninjured long head of the biceps intact. The standard deltopectoral incision goes directly over the palpable bony mass developed after endostal hematoma ossification (A). Almost the complete subscapularis tendon was attached to the bony mass (B). After osteotomizing the tendon insertion, the tendon including the underlying anterior capsule, was dissected free (C) and secured back to anatomic position using suture bridging technic (D).

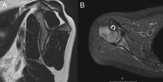
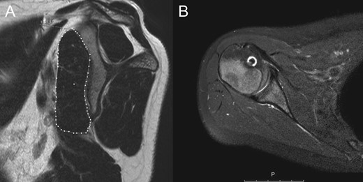
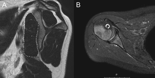
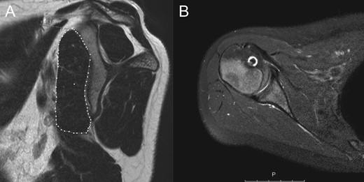
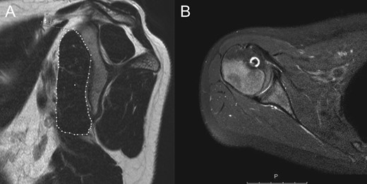
MRI 1-year after surgery. In the sagittal view there are no sign of atrophy or fatty infiltration of the subscapularis muscle (A). The subscapularis tendon is healed in an anatomical position (B).
DISCUSSION
Traumatic rotator cuff tears occur mostly in middle-aged men with inferior tendon quality due to degeneration and tendon weakness [2]. Strong, healthy tendons, as in adolescents, typically resist even excessive force and the weaker link of the chain, the apophysis including the periosteum avulse from the bone [3]. Most authors advocate surgical treatment because of the high risk of impaired shoulder function after missed or delayed diagnosis [4, 5].
The few reports in the literature support the theory postulated by Vezeridis et al. [6], that these injuries are ‘transitional’ fracture in the skeletally immature adolescents. According to Goeminne et al. [7], the injury is most frequent between the age of 12 and 14 and there are only two published cases of avulsion fracture of the lesser tuberosity among female adolescents. To the best of our knowledge, the youngest patient reported was 11 years old at the time of the injury.
Even though late repair, as in this present case and other published cases [5, 8–10], could restore function and provide excellent outcome, more attention should be given to early diagnosis. This would prevent prolonged impairment of the shoulder function and the inability to continue with sport activities. Proper physical examination combined with plain radiographs including the axillary lateral view should lead to a strong suspicion of this lesion which is best confirmed by MRI or computed tomography arthrogram.
In conclusion, occult avulsion fracture of the lesser tubercle is very rare and early diagnosis is challenging. Axillary lateral view radiographs together with proper physical examination should lead to suspicion. However, by late diagnosis, delayed repair may restore function.
ACKNOWLEDGEMENT
The study was supported by grants from Stig og Ragna Gorthon Research Foundation, Helsingborg, Sweden.
CONFLICT OF INTEREST STATEMENT
The author has no conflict of interest to report and have received no financial or material support related to this manuscript.
CONSENT
The patient and her parents have given their informed consent for publishing this case report.