-
PDF
- Split View
-
Views
-
Cite
Cite
Christopher Fenelon, John G. Galbraith, David M. Dalton, Eric Masterson, Streptococcus gordonii—a rare cause of prosthetic joint infection in a total hip replacement, Journal of Surgical Case Reports, Volume 2017, Issue 1, January 2017, rjw235, https://doi.org/10.1093/jscr/rjw235
Close - Share Icon Share
Abstract
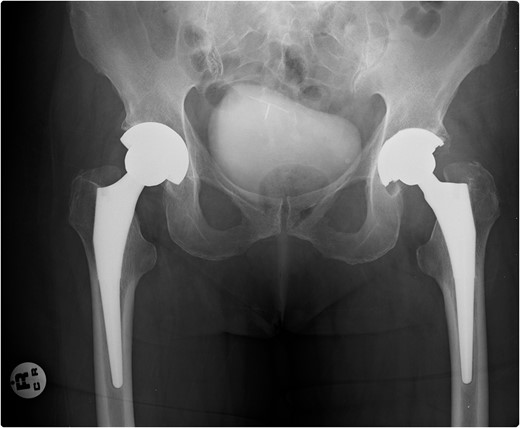
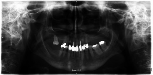
A 69-year-old female with a history of bilateral total hip replacements presented with rigors, fever and sudden onset left groin pain. A pelvic X-ray showed well-fixed implants. Blood results revealed a leucocytosis (white cell count 22.3 × 109 l–1) and elevated C-reactive protein (211 mg/l). Ultrasound-guided aspiration of her left hip grew Streptococcus gordonii. No source infection could be identified apart from a new chronic sinus infection in a left upper incisor. Following a discussion with the patient a 6-week course of intravenous ceftriaxone was started and was successful in normalizing her inflammatory markers. She was placed on long-term suppressive amoxicillin following this. Her suppressive antibiotic therapy was complicated by the development of a clostridium difficile infection and her antibiotics were changed to doxycycline. At 1-year follow-up, she was asymptomatic with no further episodes of groin pain or fever.
INTRODUCTION
Prosthetic joint infection (PJI) following total hip replacement (THR) occurs in 1–2% of procedures but is one of the primary reasons for prosthesis revision (1). We report the only case of Streptococcus gordonii, a member of the viridans group streptococci (VGS), causing PJI in the setting of THR.
CASE REPORT



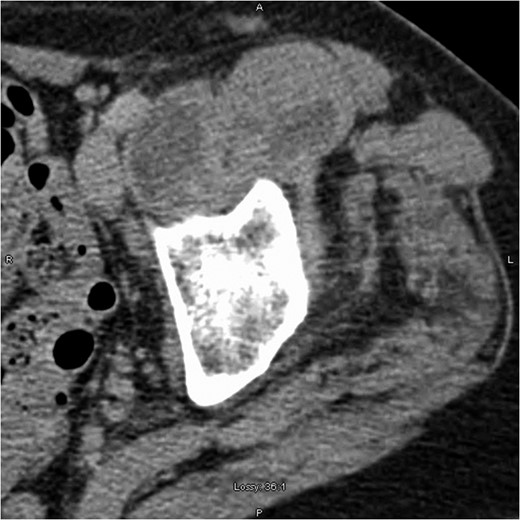
Computed tomography scan showing left iliopsoas involvement and heterogeneity, with a well-defined intramuscular hypoattenuation typical for abscess formation.
DISCUSSION
PJI occurs via direct inoculation, contiguous or haematogenous spread. Late onset infections (>12 months after surgery) are predominantly due to haematogenous seeding of virulent pathogens at another site (urinary tract, soft tissue infection). PJI is primarily caused by staphylococci with only a small percentage caused by streptococci, <10% [1, 2]. Streptococcus gordonii, a member of the Streptococcus Sanguinis group, a subdivision of VGS, is one of the microbiota of the oral cavity that contributes to plaque formation. It is recognized in the setting of bacterial endocarditis [3], but has only recently been described in the literature as causing PJI, in the setting of total knee replacement reported in 2015 [4].
The reasons for the emergence of S. gordonii in PJI are not certain. One reason may be due to improved diagnostic technologies. Historically, the automated identification systems for VGS have been problematic due to changing taxonomy and addition of new species. Another reason for this is that all species are not represented in identification databases [5, 6]. In our institution, we have moved from API Strep (Biomérieux) identification system to MALDI-TOF (Bruker) identification allowing us now to accurately identify members of the streptococcus genus. Exact identification of the streptococcal organism is important, if further aspirations are required in order to reduce confusion that may result if different organisms are detected.
Treatment of PJI is a complex and challenging practice. Guidelines advise debridement, antibiotics and implant retention for patients who present with a well-fixed implant and no sinus tract within 30 days of implantation [7, 8]. For other patient's, replacement of the prosthesis or resection arthroplasty should be performed [9]. Rarely, medical therapy alone may be considered where medical comorbidities preclude against the above or where patient's autonomy must be respected. In our case, the patient was reluctant to undergo any further surgery. Little research exists regarding the treatment of PJI with antibiotics alone and the role of suppressive long-term antibiotics. Treatment failure with suppressive antibiotics is most commonly seen with staphylococci bacteria [10]. Chronic suppressive antibiotics are not without their risks, as seen in our case. It is important that fully informed consent is achieved prior to beginning the above treatment.
While the rate of PJI is low, the increasing demand for joint replacement will cause a considerable burden of infection in the future. Recognizing and managing PJI promptly is vital in reducing patient morbidity and mortality as well as costs [11, 12]. PJI will impose increasing challenges due to an ageing population, comorbidities and the emergence of increased antimicrobial resistance. Our case highlights a previously undescribed pathogen in late PJI post-THR.
CONFLICT OF INTEREST STATEMENT
None declared.
REFERENCES
- amoxicillin
- antibiotics
- doxycycline
- ceftriaxone
- inflammatory markers
- clostridium difficile infections
- fever
- chills
- follow-up
- hip region
- hip joint
- incisors
- leukocytes
- leukocytosis
- sinusitis
- streptococcus
- infections
- hip replacement arthroplasty
- antibiotic therapy
- prosthetic joint infections
- groin pain
- aspiration, ultrasound-guided
- pelvis radiography
- c-reactive protein, increased
- implants