-
PDF
- Split View
-
Views
-
Cite
Cite
MJ Emami, I Vadiee, H Namazi, AR Vosoughi, Concomitant flying lunate and scaphoid, Journal of Surgical Case Reports, Volume 2011, Issue 11, November 2011, Page 4, https://doi.org/10.1093/jscr/2011.11.4
Close - Share Icon Share
Abstract
Devastating perilunate injuries are rare, compromising of less than 10% of wrist injuries. We report a 19-year-old worker man who presented with left wrist pain and swelling after falling from a height. Not only the lunate was seen in middle third of forearm, but also proximal part of the scaphoid was in distal forearm. Open reduction and internal fixation was done via volar approach. He came back after two years with limited motion, pain, and weakness because of static scapholunate dissociation and osteonecrosis of lunate and proximal scaphoid. Despite optimal management, the prognosis of this injury is relatively poor especially if the initial trauma was severe.
INTRODUCTION
Perilunate injuries consist of perilunate dislocations, and perilunate fracture dislocations belong to the carpal instability complex type of wrist dysfunction. These injuries are rare and account for less than 10% of all wrist injuries(1). Direction of dislocation is dorsal in 97% of cases(2). Dorsal perilunate fracture dislocations usually occur by hyperextension with ulnar deviation mechanism due to high energy trauma including motor vehicle accidents, fall from a height, and sports activities(1,3,4). A considerable portion of these injuries (16% to 25%) are frequently missed owing to lack of obvious deformity(1,4).
Although, there are many cases of trans-scaphoid perilunate fracture dislocations in the literature, to the best of our knowledge, this is the first case describing the lunate in middle third of forearm and proximal part of the scaphoid in distal part. It explains how severe the initial trauma was.
CASE REPORT
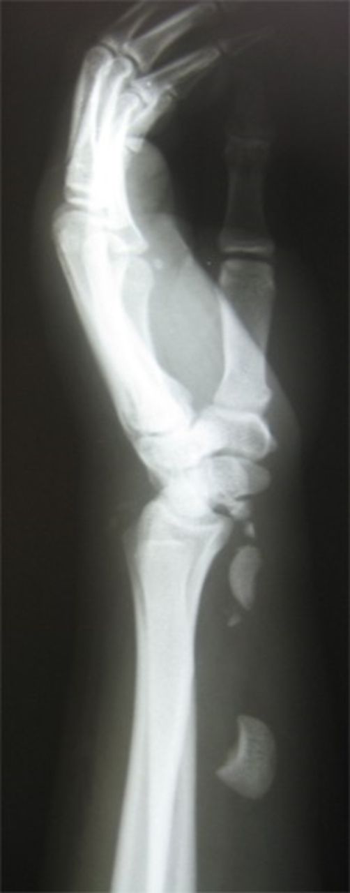
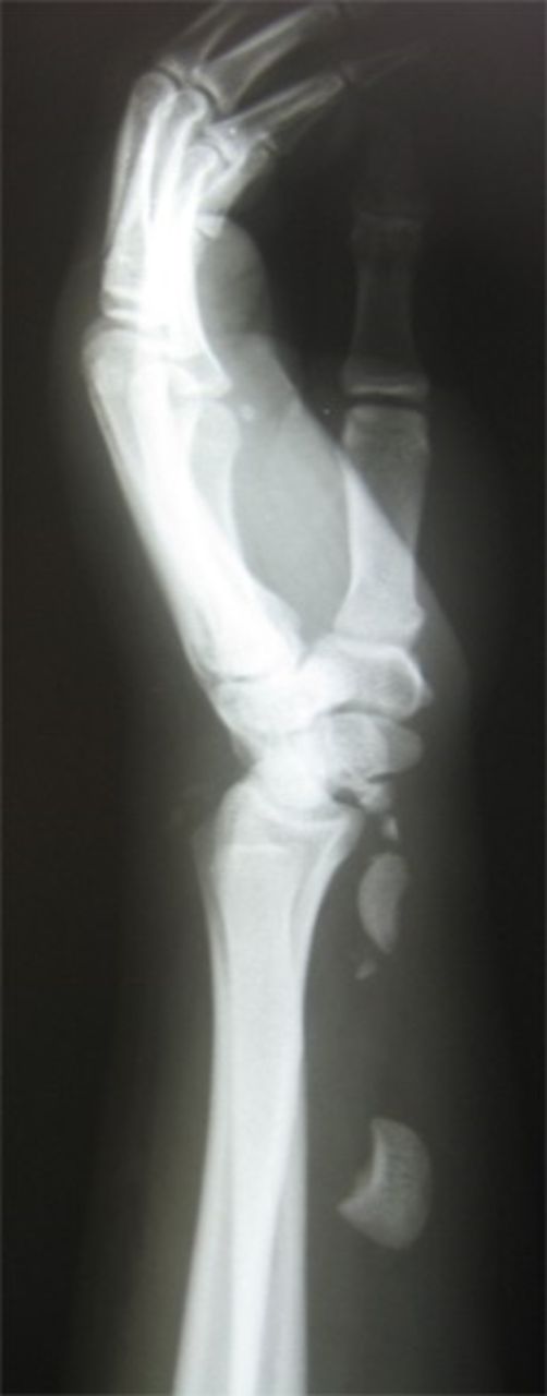
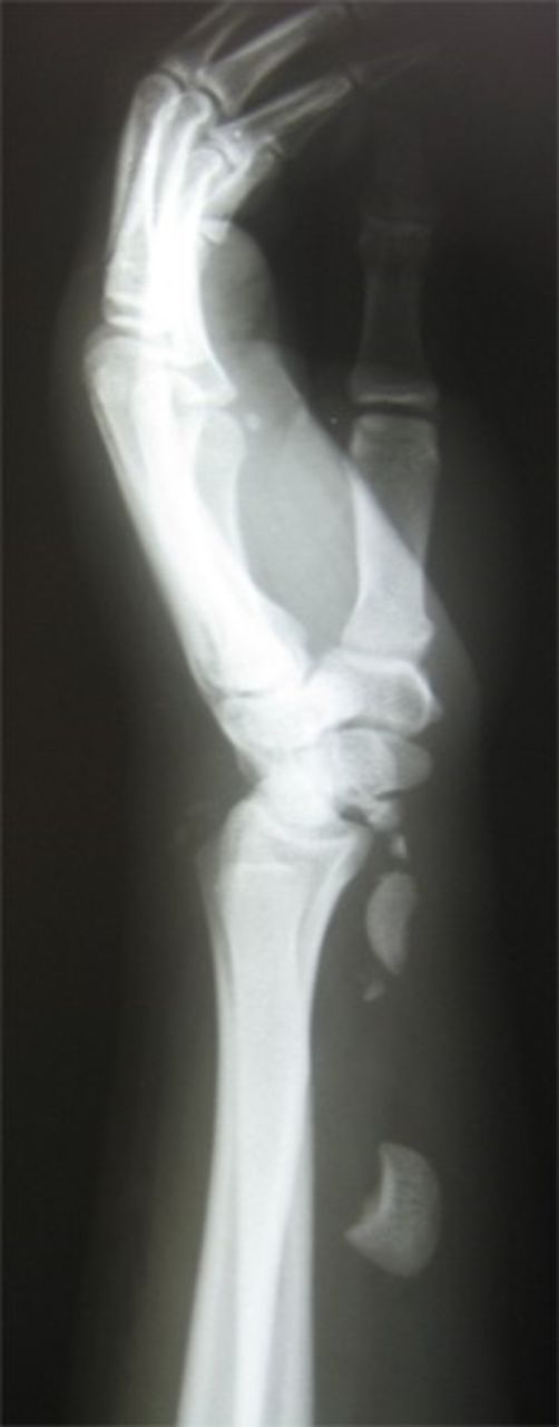
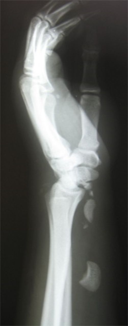
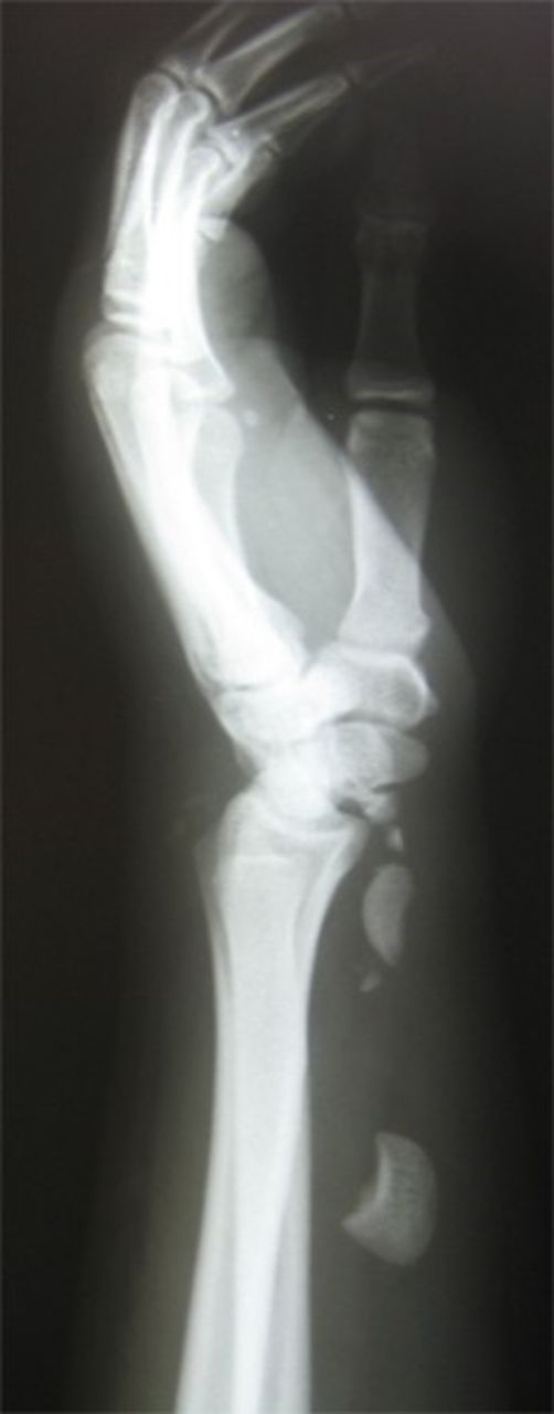
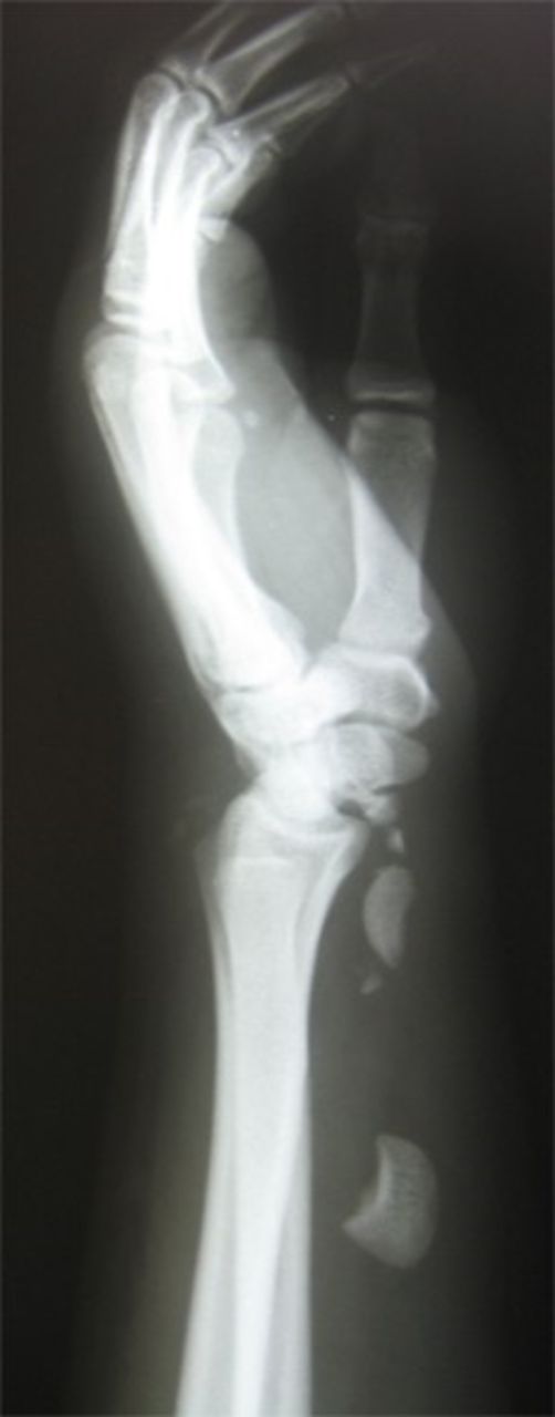
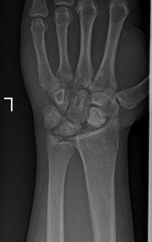
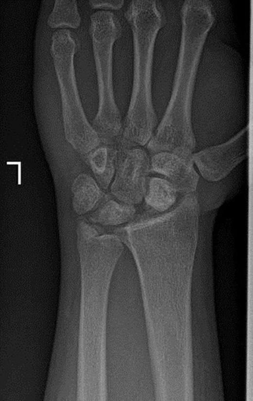
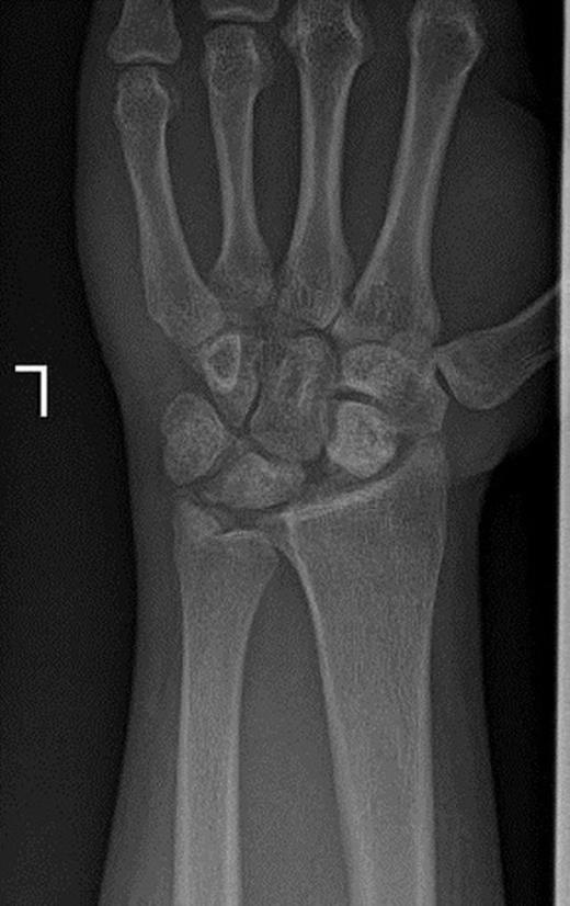
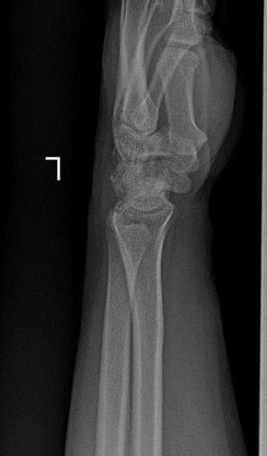
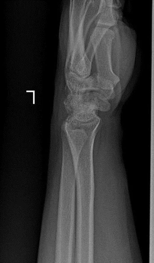
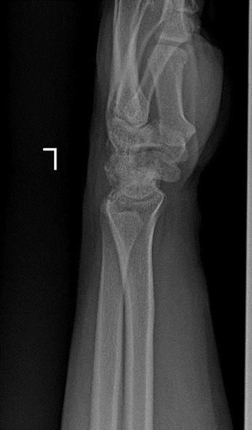
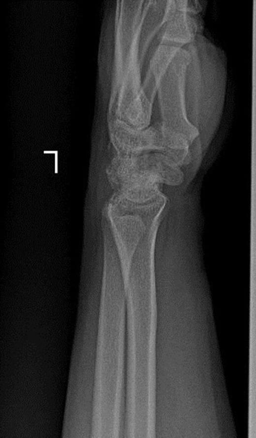
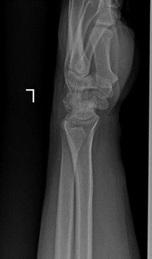
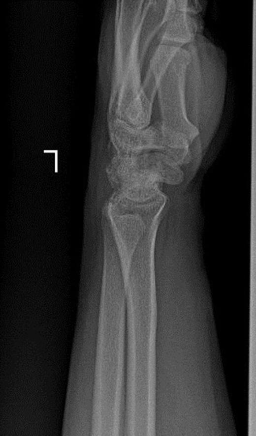
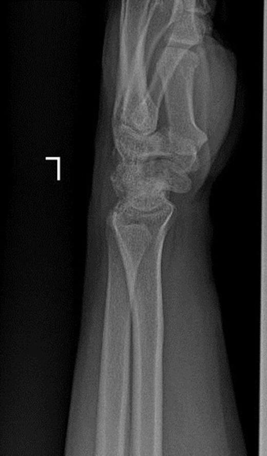
A 19-year old right hand dominant worker man presented after falling from height of about 6 meters onto his left hyperextened wrist. He was a multiple-injured case with closed fractures of femoral shaft and proximal phalanx of left second finger. In exam, wrist swelling was generally moderate with subtle deformity and ecchymosis in volar part. Range of wrist motion was very tender. A thorough serial neurovascular examination showed progressive paresthesia in median nerve territory checked by two points discrimination. Taken X-ray disclosed trans-scaphoid dorsal perilunate fracture dislocation and avulsion fracture of ulnar styloid. Excessive displacement of the lunate to middle third of the forearm and proximal scaphoid with multiple bony fragments to distal third was obvious (Figure 1a & 1b).
Posteroanterior and lateral X-rays of left wrist show perilunate fracture dislocation with excessive proximal displacement of lunate and proximal scaphoid. Loss of carpal height with broken Gilula’s arcs is obvious.
We decided to perform urgent open reduction and internal fixation under general anesthesia. Through extended standard carpal tunnel release approach to mid-part of the forearm, after carpal tunnel release, lunate and proximal scaphoid with bony fragments were found. Lunate and proximal scaphoid were free of any ligaments remnants. Multiple small bony fragments were excised from the wrist joint and the forearm. Comminuted scaphoid fracture was fixed after harvesting bone graft from distal radius with pins. Lunate was positioned in its natural place and fixed by multiple pins (a pin from distal radius to lunate and to capitate, another from triquetrum to lunate). Because of lack of any remnant of scapholunate interosseous ligament for primary repair, we fixed scaphoid to lunate by a pin. After obtaining perfect carpal alignment, approved by X-rays, wound was closed and short scaphoid cast was applied. We did not approach the wrist joint dorsally because of perfect reduction and no ligament remnant for primary repair of scapholunate ligament.
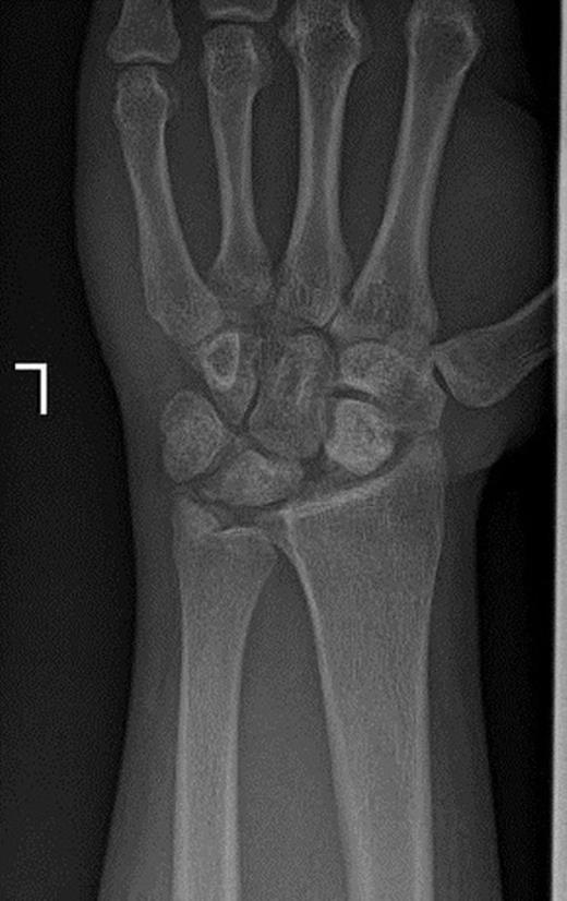
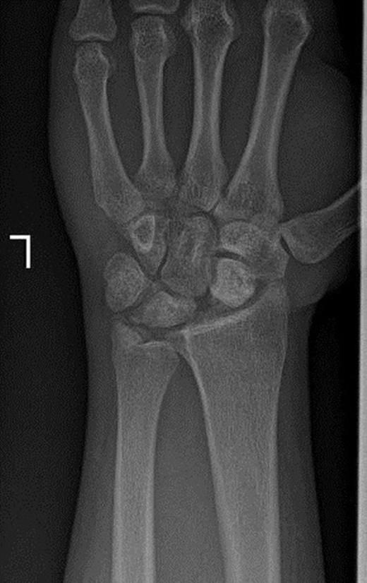
Pins were removed six weeks later, and the cast was discarded ten weeks later. Active and passive range of wrist motion and muscle strengthening exercises were begun. The patient didn’t refer for follow-ups. After two years, he came back with pain, limited motion, and weakness in grip and grasp. Radiographs showed osteonecrosis of lunate and proximal scaphoid. Also, static scapholunate dissociation with signs of mild arthritis was obvious (Figure 2a & 2b).
Posteroanterior and lateral radiographs of left wrist two years after operation show increased density of lunate and proximal scaphoid with subtle arthritic changes. Scapholunate dissociation (Terry-Thomas sign) and dorsal intercalated segment instability are seen.
DISCUSSION
Perilunate injuries may be pure ligamentous injuries defined as “lesser arc injuries” produced by rapidly applied force. “Greater arc injuries” are defined as carpal bone or radial styloid fractures prior to lunate dislocation due to slower applied load(3). Most of these greater arc injuries (about 60 to 65%) are associated with scaphoid fracture(2,4,5). Also, a combined scaphoid fracture and scapholunate dissociation may be seen in these devastating injuries(6). Usually ligaments attached to the lunate especially strong short radiolunate ligament are intact in perilunate injuries(7). In this case, not only scaphoid fracture and rupture of scapholunate ligaments were seen, but also excessive displacement due to severity of trauma resulted in carpal bones free of any ligamentous attachment.
Up to 26% of perilunate injuries are associated with poly-trauma and 11% have concomitant ipsilateral upper extremity injuries(8). The presented case had closed femoral shaft, styloid ulna, and proximal phalanx of second finger fractures.
Acute carpal tunnel syndrome is seen in about 1/4 to 1/3 of patients(9,10). It may be a cause of direct blow, hematoma formation, or lunate dislocation in carpal tunnel(10). Early reduction and carpal tunnel release mainly in delayed onset or progressively worsening nerve dysfunction relieve pressure on median nerve(9,10), as we performed in this case.
Initial closed reduction is the main treatment in the emergency department. Due to excessive displacement of lunate and proximal scaphoid, closed reduction was impossible. Moreover, progressive median nerve dysfunction convinced us to urgent open reduction surgery. Although, the best approach is controversial, Najarian et al(3), preferred combined dorsal and palmar approaches. Budoff(9) uses isolated dorsal approach if carpal tunnel release is not required. We used volar approach to release carpal tunnel and find lunate, proximal scaphoid, and multiple bony fragments. Dorsal approach is the main for perfect alignment and reduction of carpal bones and repairing of scapholunate interosseous ligament. We did not use this approach, because we could achieve perfect reduction by volar approach. Also, no ligamentous remnant was seen around lunate for primary repair of intrinsic ligaments.
Prompt diagnosis and open reduction are required to optimize the clinical outcome and restore wrist motion and function. Delay in treatment, open injuries, persistent carpal malalignment, scapholunate interosseous ligament tear, and severity of initial injury are major poor prognostic factors (9,10). Severity of injury in presented case was so great that lunate and proximal scaphoid were in the forearm without any attachment for blood supply. Also, no repair of intrinsic ligament could be performed. So the end results (osteonecrosis and arthritis) were predictable. Despite evidence of carpal collapse and progressive arthritis in radiographs of these patients, most are clinically well-tolerated cases(4,5).
In conclusion perilunate injuries are complex carpal instabilities that need prompt diagnosis, restoration of carpal alignments by open reduction. Most patients will not regain normal range of wrist motion and grip strength especially in those with excessive displacement of lunate.



