-
PDF
- Split View
-
Views
-
Cite
Cite
CB Dabdoub, SM Serra, AH da Cunha, EN Silveira, A Lopez, H Azevedo-Filho, Craniocerebral gunshot injury in newborn, Journal of Surgical Case Reports, Volume 2012, Issue 9, September 2012, Page 8, https://doi.org/10.1093/jscr/2012.9.8
Close - Share Icon Share
Abstract
Head wounds caused by firearms in newborns are an under-studied phenomenon in Latin America due to either the low frequency of such events or inadequate documentation. Nonetheless, a progressive increase is noted, with different frequencies reported for different geographic areas. We present the case of a 28-day-old newborn who suffered traumatic brain injury from a gunshot wound stemming from urban violence. This is one of the youngest patients reported with this type of head trauma in the literature.
INTRODUCTION
Head wounds caused by firearms in newborns are an under-studied phenomenon in Latin America due to either the low frequency of such events or inadequate documentation. Nonetheless, a progressive increase is noted, with different frequencies reported for different geographic areas. The prognostic factors in this type of injury are similar to those for other causes of pediatric traumatic brain injury. However, rates of complications and mortality remain high. This paper presents a case of a 28-day-old newborn who suffered traumatic brain injury from a gunshot wound stemming from urban violence. This is one of the youngest patients reported with this type of head trauma in the literature.
CASE REPORT
A 28-day-old newborn male was the victim of aggression involving a firearm during a robbery in the city of Recife, Brazil. Upon hospital admission one hour after the aggression, the child was irritable, with a Glasgow coma scale score of 11, but no pupil abnormalities. The inspection of the head revealed an extensive scalp laceration in the frontal region, with a loss of brain tissue (Fig. 1).

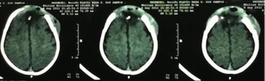
A computed tomography (CT) scan upon admission revealed a depressed skull fracture with an underlying frontal cerebral contusion and intraparenchymal bone fragments (Fig. 2).

Initial CT scan showing frontal contusion (A) and bone window images revealing frontal skull fracture (B).
The patient underwent emergency surgery, including frontal craniectomy, cleaning and extensive surgical debridement of the wound, with the removal of bone and metallic fragments and drainage of the area of the cerebral contusion.
The dura mater was closed watertight with a dural substitute. Due to scalp defect in the frontal region, the muscle flap was rotated for better wound closure (Fig. 3). High doses of wide spectrum antibiotics and anticonvulsants were administered.

Intraoperative photographs showing watertight dural closure with graft (A) and wound closure (B).
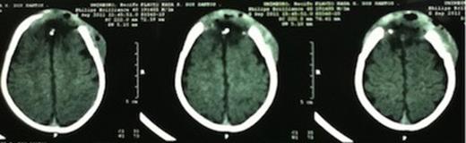
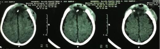
The patient was transferred to the intensive care unit and a CT scan of the brain was performed 48 hours after surgery (Fig. 4).

No convulsion or infection occurred in the postoperative period and the newborn was discharged from the intensive care unit after seven days of hospitalization. During the follow up performed six months later, the patient was in excellent condition (Fig. 5).

Postoperative photograph obtained seven days (A) and six months (B) after surgery
DISCUSSION
According to data from the United Nations (2005), firearms directly cause 300 000 deaths annually. A total of 73% die on the scene, 12% die within three hours and 7% die more than three hours after injury, with an overall mortality rate of 92%. Therefore, firearm deaths have been called the “epidemic of the new millennium” (1).
In the past 10 years, gunshot injuries in children have occupied an important place in emergency rooms in Latin America. In the United States, motor vehicle accidents account for the greatest number of traumas, with gunshot wounds having risen from fifth to second place. This situation is part of a complex social problem that involves the interaction of a number of causes, such as poverty (79.3%), familial problems (25.8%), drug trafficking and abuse (20%) and widespread exposure to violence in the media, especially on television, as 80% of the means of communication display scenes of violence and promote the use of firearms (2).
In Brazil, more than half of the children with traumatic brain injury caused by firearms are victims of accidents and 39% of cases involve aggression and the intent to kill. A series from our institution published in 2005 (3) reports that the youngest patient among 110 cases of gunshot wounds to the head admitted to the emergency ward was two years of age. In two larger series of pediatric gunshot injuries (4,5), the youngest patients were aged two and six months, respectively. Only in a series of 30 patients, Coughlan et al. (6) report that the youngest child hospitalized for a gunshot wound to the head was seven days of age.
It is evident from the literature that early management can improve the outcome of such patients. However, craniocerebral gunshot injuries in children can have sequelae. According to Ewing-Cobbs et al. (7), cognitive and motor function is clearly more impaired in children younger than five years of age at the time of injury than in older children. In older children and adolescents, gunshot wounds to the head are associated with impaired attention, adaptive behavior and behavioral disorders.
In the present case, the newborn was treated immediately after the trauma and exhibited satisfactory evolution. The Glasgow coma scale after resuscitation is the best indicator of mortality and the immediate transfer of such patients to a specialized unit reduces the risk of secondary brain injury and others complications (8).
The growth in the incidence of craniocerebral gunshot injuries among children, including newborns, in Brazil and Latin America, gives one pause for reflection. Further research is needed to understand the causes of this phenomenon. Such studies could contribute toward the development of public policies and programs aimed at the effective prevention of firearm injuries.