-
PDF
- Split View
-
Views
-
Cite
Cite
Hugo Temperley, Caitlin Waters, Cian Murray, Noel E Donlon, Claire L Donohoe, A rare case of intussusception through a prolapsed end colostomy, Journal of Surgical Case Reports, Volume 2021, Issue 7, July 2021, rjab319, https://doi.org/10.1093/jscr/rjab319
Close - Share Icon Share
Abstract
Intussusception through a prolapsed end colostomy is amongst the rarest of stoma complications. In this case report, we discuss the therapeutic approach to this complication and provide an update of the existing literature. A 66-year-old male presented with a prolapsed colostomy that was ischaemic in appearance. Intraoperatively, a small bowel intussusception within the prolapsed colon was identified. A subtotal colectomy was subsequently performed to prevent further volvulus formation. When patients present with a prolapsing oedematous enterostomy that cannot be reduced, careful clinical examination is required. If there is vascular compromise, exploratory laparotomy is mandatory.
INTRODUCTION
Colostomy formation, whether temporary or permanent, is a commonly performed and often integral part of many disease processes involving the intestinal tract. Despite extensive familiarity with the procedure, formation can however lead to many complications, and while the incidence rate varies hugely in the literature it is thought it ranges between 14 and 79% [1]. Stoma prolapse is one of the most common late complications after stoma construction [2] and occurs in 2% of colostomies [3]. These complications can cause increased morbidity and mortality and impact hugely on the patient’s quality of life. In this case report, we present the case of intussusception of the small bowel through a prolapsed end colostomy. Intussusception is the invagination of one segment of the bowel into an immediately adjacent segment of the bowel. This is an extremely rare complication of colostomy formation and is mentioned very seldomly in the literature. It is important to highlight however, as this can be difficult to recognize and may require emergency intervention. We report a case of an intussusception through a prolapsed end colostomy post-Hartmann's procedure and left hemicolectomy in a male patient.
CASE REPORT
A 62-year-old male presented to hospital emergency department, with a prolapsed and ischaemic colostomy. This was on the background of an elective laparoscopic Hartmann’s procedure 1 year previously due to a recurrent sigmoid volvulus. He has a past medical history of diabetes mellitus, epilepsy and intellectual disability.
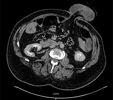
On the morning of admission, the patient’s carer noticed that he had a congested and prolapsed stoma. On presentation to the emergency department, he was hemodynamically stable. Abdominal examination revealed an ischaemic, dilated stoma site, which was prolapsed to 15 cm (Fig. 1). There was also mild tenderness on deep palpation in the supra-pubic region. His admission bloods were notable for a white cell count of 11.4, sodium of 125 and a lactate of 3.04. A CT-abdomen pelvis revealed a prolapsed, ischaemic appearing colostomy and suspicion of pneumatosis in a loop of ascending colon and the caecum was rotated in a type I volvulus to lie in the left upper quadrant (Fig. 2).


Subsequently, the patient underwent a midline laparotomy. A loop of small bowel was discovered to have intussuscepted within ~10-cm loop of inverted, prolapsed colon, at the site of stoma formation. This loop was frankly ischaemic, as was the distal 20 cm of the prolapsed ascending colon. The caecum had also volved in a type I pattern anticlockwise around its mesentery and was lying in the midline. At this stage the decision was made to proceed with a subtotal colectomy—rather than the conventional right hemicolectomy and ileocolic anastomosis—to minimize the risk of recurrence given the volved nature of the caecum and the large redundant transverse colon. The terminal ileum was divided just proximal to the ileocaecal valve with a side-to-side anastomosis of the resected portion of ileum and an ileostomy was brought out to the right of midline at the level of previous stoma.
The patient returned to the general ward post-operatively and was closely monitored. A wide bore naso-gastric tube was placed on free drainage and the patient remained nothing by mouth (NPO) until the stoma was active. Analgesia was optimized using local anaesthetic rectus sheath catheters and supplemented with patient-controlled analgesia. His post-operative recovery was complicated by a superficial wound infection at the midline laparotomy site, which required intravenous antibiotics and dressings. He was discharged to convalescence for continued rehabilitation.
DISCUSSION
The cause of stoma prolapse is generally ascribed to various anatomical factors such as redundant intestine, high intra-abdominal pressure and intraperitoneal route. Stoma prolapse is also influenced by other factors, including old age, obesity, stoma construction during bowel obstruction and the lack of preoperative site markings [3].
Intussusception is rare in the adult patient, representing only 1% of all cases of small bowel obstruction and 5% of all cases of bowel obstruction [4]. In most cases, there is an underlying lesion, such as a malignancy, which acts as a lead point [5]. Furthermore, intussusception of the small bowel through a colostomy is amongst the rarest of complications of stoma formation. It should be rapidly reversed to avoid bowel necrosis and fatal consequences. Due to its extreme rarity, it is difficult to identify the causative factors of the intussusception in this case.
Intestinal stomal creation is a commonly performed surgical procedure. This case illustrates the wide variety of complications that can occur after such a routine procedure. A review of the relevant literature, revealed only two similar case reports [6, 7]. This emphasizes the rarity of this colostomy complication. In contrast, multiple cases of intussusception through ileostomy have been reported, the majority of which occurred in pregnant women and thus were attributed to a rise in intra-abdominal pressure [8].
Intussusception through an end colostomy is exceptionally rare. Once suspected, it should be treated promptly as it may result in strangulation and bowel necrosis. The diagnosis should be considered in patients who present with features of bowel obstruction and ‘prolapsed’ stoma. When patients present with a prolapsing enterostomy that cannot be reduced, the diagnosis of intussusception in the stoma should be considered. If there is vascular compromise, exploratory laparotomy is mandatory.