-
PDF
- Split View
-
Views
-
Cite
Cite
Lindsay F. Petersen, Mary C. Nally, Andrew Agos, Kyle Petty, Internal hernia and small bowel obstruction caused by a linear cutter staple at appendiceal stump following laparoscopic appendectomy, Journal of Surgical Case Reports, Volume 2014, Issue 1, January 2014, rjt114, https://doi.org/10.1093/jscr/rjt114
Close - Share Icon Share
Abstract
Commonly linear staplers are used to perform laparoscopic appendectomies. We report a case of a small bowel obstruction caused by a staple on the appendiceal stump creating an internal hernia <1 week after laparoscopic appendectomy. We discuss the available literature on bowel obstructions caused by staples. Most of the discussed complications were caused by staples free in the abdomen, which were remote from the staple line. Generally, loose staples do not cause problems, but if noted during the operation, we recommend removal to prevent future obstruction.
INTRODUCTION
Laparoscopic appendectomy has been performed for >20 years, and a variety of techniques are used to divide the appendix and mesoappendix including staplers and clips [1]. Reports of migrated or loose staples and clips have been evidenced in the literature causing obstruction [2–8]. We report a case of a straightforward laparoscopic appendectomy for acute appendicitis, complicated by an early small bowel obstruction caused by an internal hernia, which formed as a result of an incompletely deployed staple.
CASE REPORT
A 22-year-old female presented to the emergency room with a 24-h history of periumbilical pain, associated with nausea, vomiting and a low-grade fever. On examination, she was afebrile but focally tender in the right lower quadrant over McBurney's point. A computed tomography (CT) scan showed a dilated appendix with fat stranding. She was taken to the operating room for laparoscopic appendectomy. Three trocars were used. The mesoappendix was divided with the harmonic scalpel, and the base of the appendix was divided with an EndoGIA stapler (Ethicon Endosurgery, Cincinnati, OH, USA). The postoperative course was uncomplicated and the patient was discharged the next day.
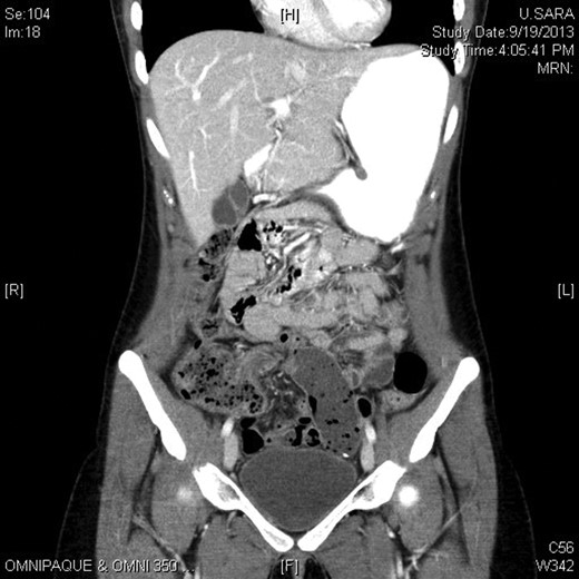
Six days later, the patient returned to the emergency room with abdominal pain for <12 h in the periumbilical region. The pain was worse than when she had appendicitis. She reported chills, nausea and vomiting. On examination, she was tender in the periumbilical region and mildly distended. She underwent CT scan, which showed a small bowel obstruction with a transition point in the right lower quadrant (Fig. 1). She was taken to the operating room for an exploratory laparoscopy. A staple attached to the appendiceal stump on one end had snagged a loop of small bowel and small bowel mesentery with the other end (Fig. 2). It was causing an internal hernia and contained a small bowel loop. The staple was freed and removed laparoscopically with no full thickness defect of the small bowel. The staple line was imbricated with intracorporeal Lembert sutures. The patient did well and was discharged the following evening.

Image from CT scan showing a transition point in the right lower quadrant.

Staple bridging appendiceal stump staple line and loop of small bowel creating an internal hernia.
DISCUSSION
Laparoscopic appendectomy is routinely performed by firing a linear cutting stapler across the appendix, but there are reports in the literature of staples causing adhesions and small bowel obstructions. Free staples in the peritoneum are described causing small bowel obstructions requiring reoperation in the immediate postoperative period as well as up to 3 years following both laparoscopic appendectomy and vaginal hysterectomy [2–7]. There is one case report of a bowel obstruction following laparoscopic appendectomy on the third postoperative day caused by a staple from the staple line of the cecum hooked to small bowel mesentery [8].
The linear staples may leave some staples free in the abdominal cavity when the stapler is fired over a narrow piece of tissue, such as the appendix. Most loose staples are not problematic, but there are an increasing number of reports of staplers causing small bowel obstructions in the literature. Either suction or a grasper should be used to retrieve these free staples if at all possible, which is recommended as well by other authors of similar case reports. The staple lines should be inspected carefully for proper deployment of staples. If doubt exists, we recommend oversewing the stable line with intracorporeal Lembert sutures.
In conclusion, we report a small bowel obstruction following laparoscopic appendectomy caused by a staple remaining connected to the staple line, which had hooked on to a loop of small bowel creating an internal hernia. It is important to remove loose staples and reinforce the staple line if needed following laparoscopic appendectomy.