-
PDF
- Split View
-
Views
-
Cite
Cite
Bhavik N. Modi, John T. Machin, Francois Tudor, Tim Peckham, Scapular fracture following electronic muscle stimulation, Journal of Surgical Case Reports, Volume 2012, Issue 1, January 2012, Page 4, https://doi.org/10.1093/jscr/2012.1.4
Close - Share Icon Share
Abstract
We present the case of a transverse fracture of the scapula resulting from the use of electronic muscle stimulation (EMS): highlighting the dangers of these devices that are commonly used for massage and body-building purposes.
INTRODUCTION
Isolated fractures of the scapular are relatively rare and often the result of direct high-energy trauma (1,2). Occasionally they result from indirect injury with reports of cases following electrocution, but this is rare (3,4). The common orthopaedic injury to the upper limb following electric shock is a posterior fracture-dislocation of the proximal humerus. This is due to powerful contraction of the muscles around the shoulder forcing the humeral head superiorly and posteriorly against the acromion, and medially against the glenoid before it slips behind the glenoid rim into posterior dislocation. We present the unusual case of a transverse scapula fracture following the use of EMS which we propose occurred due to a similar mechanism as those suffering an electric shock.
CASE REPORT
A 51 year old, right-handed martial arts teacher, presented to accident & emergency with a painful and swollen right shoulder. He gave a history of using an EMS machine whilst lying in bed with electrode pads positioned over the posterior, superior aspect of the shoulder and over Latissimus dorsi, both pads on the right side. Accidentally the machine was turned up to full power and this resulted in two powerful muscular contractions, causing full adduction and internal rotation of the right arm for over five seconds. There was no history of direct trauma to the shoulder or arm.

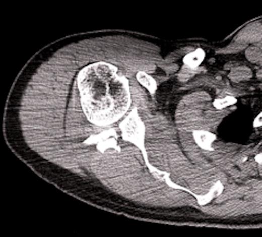
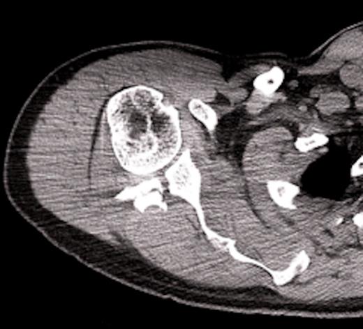
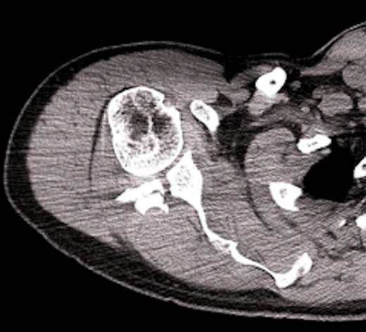
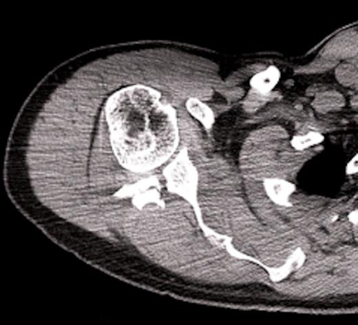
On examination there was restriction of the range of movement of the right shoulder with tenderness and swelling over the scapular. The skin was intact. There was no neurovascular deficit and the patient was otherwise physically well. X-rays revealed a fracture of the body of the scapula with posterior displacement of the inferior fragment. The shoulder joint was not dislocated and there were no associated fractures of the proximal humerus. The patient was admitted for analgesia and computed tomography was performed to assess the fracture. The scan showed involvement of the glenoid, with the fracture extending through the posterior lip. This was deemed inappropriate for surgical fixation. The patient was managed in a broad arm sling and discharged with simple range of movement exercises.

Computed tomographic scan, showing fracture extension into glenoid
Review in clinic at 4 weeks showed an improvement in range of movements and improved pain and the patient was referred for physiotherapy. Upon review at 10 weeks, the scapular was clinically united with no residual tenderness. Range of movement was full in abduction and flexion, but both internal and external rotation was still limited and the patient continued with physiotherapy for active range of movement exercises.

Computed tomographic scan with 3D reconstruction showing the scapula fracture
DISCUSSION
The unusual injury that we report probably occurred due to the same mechanisms as those suffered during electric shock. We hypothesise that the electrical stimulation caused forceful and uncontrollable contraction of Latissimus dorsi and the upper portion of Trapezius in opposing directions. This created forces great enough to fracture the scapula.
We present this case for two reasons: firstly this is an unexpected and unreported cause of scapular fracture; secondly, as this type of injury has not previously been recognised, there are safety implications regarding the use of the electronic muscle stimulation apparatus. Searching through the literature supporting the use of EMS, there is no mention of the possibility of causing bony injury in the warnings or precautions section. Users and manufacturers of the EMS systems must be aware of this rare but serious risk.