-
PDF
- Split View
-
Views
-
Cite
Cite
A Costa-Pinho, J Pinto-de-Sousa, M Baptista, E Rios, CS Moura, J Barbosa, J Costa-Maia, Brunner’s gland hyperplasia: an unusual cause of hemorrhagic shock, Journal of Surgical Case Reports, Volume 2011, Issue 5, May 2011, Page 2, https://doi.org/10.1093/jscr/2011.5.2
Close - Share Icon Share
Abstract
Brunner’s gland hyperplasia is a very rare lesion of the duodenum, which is usually asymptomatic and diagnosed incidentally during upper gastrointestinal endoscopy. It can cause gastrointestinal bleeding but hemorrhagic shock is a rare clinical presentation of Brunner’s gland hyperplasia. The authors present a case of a patient with hemorrhagic shock due to a bleeding Brunner’s gland hyperplasia, treated by urgent laparotomy and polypectomy.
INTRODUCTION
Brunner’s glands are duodenal glands localized predominantly in the submucosa of proximal duodenum. They secrete alkaline fluid composed of mucin (Muc-6) which protects duodenal epithelium by counteracting the acid chime from stomach (1).
Benign duodenal tumours are very rare with an estimated incidence of 0.008% reported in a series of 215 000 autopsies (1). Brunner’s gland hyperplasia is usually asymptomatic and an incidental finding during upper gastrointestinal endoscopy.
Here we report a rare case of hemorrhagic shock caused by intestinal bleeding from Brunner’s gland hyperplasia.
CASE REPORT
A 70 year old male presented to our emergency department with melena. His past medical history included ischemic cardiomyopathy, atrial fibrillation, renal insufficiency due to IgA nephropathy and C virus chronic hepatitis. He was taking warfarin.
Two weeks before the patient had an episode of upper gastrointestinal bleeding and underwent an upper gastrointestinal endoscopy with hemostasis and biopsy of a 2cm duodenal polyp, which revealed Brunner’s gland hyperplasia.
When the patient presented in the emergency department he was pale and tachycardic, with no other symptoms or signs. Nasogastric tube drained 500cc of dark blood, and haematological investigation revealed anaemia with a haemoglobin concentration of 5.7g/dl and deterioration of renal function. He was given fluids and 3 units of blood for hemodynamic stabilization. He underwent a repeat upper gastrointestinal endoscopy for hemostasis of bleeding Brunner’s gland hyperplasia (Fig.1).

Upper gastrointestinal endoscopy after clip placement for hemostasis.
The patient was admitted to an Intermediate Surgical Care Unit but due to the hemodynamic instability with significant blood loss (melena) and transfusion requirements of more than 6 units of blood he required laparotomy on the third day. After a Kocher manoeuvre and duodenotomy, a pedunculated polyp, 2×2cm in size, was found on the second portion of the duodenum with active bleeding, and the polypectomy was performed (Fig.2).

Photograph of the resected specimen shows a 1.7-cm polypoid lesion. The external surface of the polyp is Brown and lobulated with hemorrhagic areas.
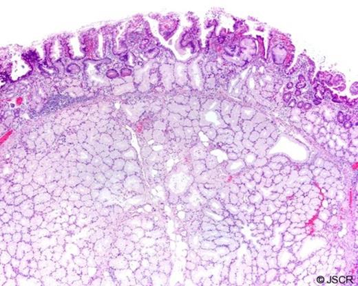
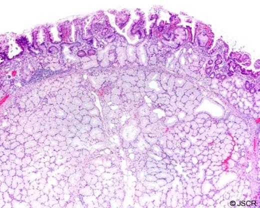
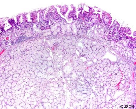
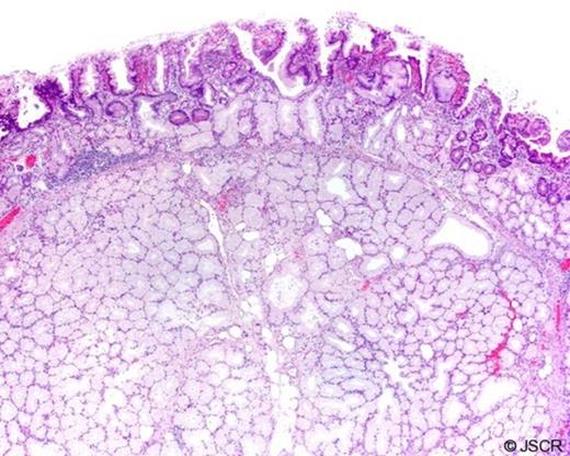
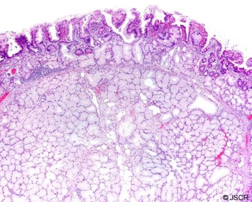
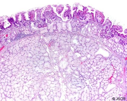
Histological examination confirmed Brunner’s gland hyperplasia, with lobular proliferation of Brunner’s glands, some of which were cystically dilated. The overlying mucosa exhibited duodenitis. There was no evidence of Helicobacter pylori infection or dysplasia (Fig.3). The patient was discharged 2 weeks later, without any other complications.

Photomicrograph of Brunner's gland hyperplasia shows lobular proliferation of Brunner's glands, some of which are cystically dilated. The overlying mucosa exhibits duodenitis (original magnification, ×40; hematoxylin-eosin stain).
DISCUSSION
Brunner’s gland hyperplasia accounts for 10.6% of all benign duodenal tumors, which have an estimated incidence of 0.008%. They are diagnosed predominantly in the fifth or sixth decade of life with equal gender distribution (2).
A well-defined histopathologic classification of Brunner’s gland lesions is still lacking, and the terms hyperplasia, hamartoma, adenoma and Brunneroma are currently being used without distinction (3). It was suggested that lesions less than 1 cm would represent hyperplasia, lesions more than 1 cm should be called adenoma, and one that contained a mixture of muscular and fatty elements should be called hamartoma (4). It seems to us that the term hyperplasia is more accurate, especially in this case.
Etiology remains unclear but multiple hypotheses have been suggested. Due to the “anti-acid” function of Brunner’s glands, an increased acid secretion could stimulate these structures to undergo hyperplasia, but no regression was found with acid secretion inhibitors (5). It has also been suggested that H. pylori infection may play a role, since it was found in 71% of Brunner’s gland hyperplasia (6) but the extreme rarity of this entity and the high prevalence of H. pylori infection doesn’t allow clear conclusions. Another hypothesis suggests that Brunner’s gland hyperplasia could be of inflammatory origin.
The biological behaviour of Brunner’s gland hyperplasia is also unknown. Although usually described as entirely benign lesions, malignant transformation has been identified in a few reports (7,8,9), so Brookes et al postulate that it may be dangerous to presume that all Brunner’s gland hyperplasia are non-dysplastic and non-malignant (7).
Brunner’s gland hyperplasia is most often found in the proximal duodenum, representing the normal Brunner’s glands distribution, with 70% found in the duodenal bulb, 26% in the second portion of the duodenum, and 4% in the third portion (2). The majority are pedunculated (88%) and commonly 1–2 cm in diameter, although larger tumors (10cm) have been reported.
Brunner’s gland hyperplasia is usually asymptomatic and diagnosed incidentally during upper gastrointestinal endoscopy (2). When symptoms occur the most common manifestations are gastrointestinal bleeding and intestinal obstruction, and rarely ampullary obstruction, pancreatitis and intussusception.
Gastrointestinal bleeding manifests in the majority of cases as chronic loss of blood with iron deficiency and anaemia (10). Less frequently there are melena and haematemesis when erosion of the tumour occurs, which is described in Brunner’s gland hyperplasia occurring beyond the first portion of the duodenum.
Diagnosis requires histological examination of excised mass, usually by upper gastrointestinal endoscopy with excision or biopsy, although simple biopsies can be indeterminate given the submucosal location of the lesions. CT-scan and EUS examination can demonstrate the submucosal origin of Brunner’s gland adenoma and exclude invasion of adjacent structures.
Treatment options include resection by endoscopy, laparoscopy or laparotomy. Upper gastrointestinal endoscopy with polypectomy seems to be the ideal option because it is less invasive, more cost-effective and can be done in an outpatient setting. There are several cases of endoscopic polypectomy reported but success depends on the location and the size of Brunner’s gland hyperplasia and clinical presentation. There are also few reports of successful laparoscopic polypectomy. Laparotomy is reserved for large and sessile tumours, failure of endoscopic approach, and rarely in unstable patients due to a bleeding Brunner’s gland hyperplasia.
In the case herein reported the patient had increased risk of severe hemorrhage due to chronic c-virus hepatitis and anticoagulation with warfarine for atrial fibrillation. He underwent two upper gastrointestinal endoscopies for hemostasis of Brunner’s gland hyperplasia, but he remained symptomatic with melena and tachycardia, and low hematocrit / hemoglobin level with increasing transfusion requirements. After a period of close observation in the intermediate surgical care unit, with optimization of his coagulation status, the patient was submitted to laparotomy and polypectomy. Histological exam confirmed Brunner’s gland hyperplasia.
CONCLUSION
Brunner’s gland hyperplasia is a rare entity which is usually diagnosed and treated by upper gastrointestinal endoscopy. Urgent laparotomy is seldom indicated in unstable patients with hemorrhagic shock.