-
PDF
- Split View
-
Views
-
Cite
Cite
P Vaiude, M Dhital, K Hancock, A true pilonidal sinus in the hand of a sheep shearer, Journal of Surgical Case Reports, Volume 2011, Issue 12, December 2011, Page 6, https://doi.org/10.1093/jscr/2011.12.6
Close - Share Icon Share
Abstract
Occupationally acquired inter-digital pilonidal sinuses are seldom seen and typically found on the hands of hair dressers. Sheep shearing has traditionally been believed to be a cause of inter-digital pilonidal sinuses; although in reality it is infrequently so with only two previously reported cases in 1951 and 1966.
We present a rare case of a shearer who worked with a variety of sheep and presented with a chronic pilonidal sinus in the 3rd web space of his hand. This work demonstrates for the first time a histological confirmation of the presence of wool, and in this case different varieties and coloured fibres within the sinus.
The report presents our investigations into the aetiology and the mechanical theories supporting it. The clinical presentation and surgical management of this condition are discussed alongside occupational realities and expectations.
INTRODUCTION
The word pilonidal is derived from the Latin words of pilos, meaning hair, and nidus, meaning nest. A pilonidal sinus is an acquired disease most commonly affecting the sacrococcygeal region when broken or cut hairs penetrate the skin. They can occur in any hair-bearing area, primarily where there is an anatomical cleft. Rarely, pilonidal sinuses have been found in non-hair bearing areas such as the web spaces of hands and feet where the cause is likely to be the individual’s occupation. Here the pilonidal sinuses do not contain the patient’s own hair. It has mainly been documented as a disease of barbers but has been reported infrequently in animal groomers, milkers and abattoir workers.(1-5) Although a common aetiology is believed to be sheep shearing, in reality, it is quite rare. Over 50 cases of inter-digital pilonidal sinus have been described but there have only been two cases in male sheep shearers with the most recent in 1966.(4,6,7)
CASE REPORT
A 31-year-old right-handed male sheep shearer presented with a longstanding sinus, for 3 years, in the 3rd web space of his left hand. The patient had been shearing for 4 months of the year for the past 11 years working all over the world with different varieties of sheep. He often noticed that burrs, thorns or grass seeds would puncture the skin, especially of his non-dominant hand web spaces, and would be left with small wounds that would fill with tufts of wool (Fig. 1). He first presented to medical attention when experiencing an episode of infection with a painful, inflamed middle finger and nodule in the web space. He was treated with erythromycin to clear the infection and referred to our care for surgical excision that was performed with primary closure with a local skin flap. The wound healed satisfactorily and the patient was back at work and used fingerless gloves for a short period. At two months post-surgery, however, we reviewed him at his workplace and found that he was not wearing gloves and that the sinus had recurred (Fig 2). The patient was reluctant to regular follow-up and felt that daily clearing of the wool from the sinus was a satisfactory method of management.

A picture of the patient shearing a sheep. Note the non-dominant hand gripping the wool. Sharp material caught in the wool is the likely cause of puncture to the skin. The wool is then forced in when the sheep is handled.

Recurrence at the original site. In the non-dominant hand, 3rd web space (arrow).
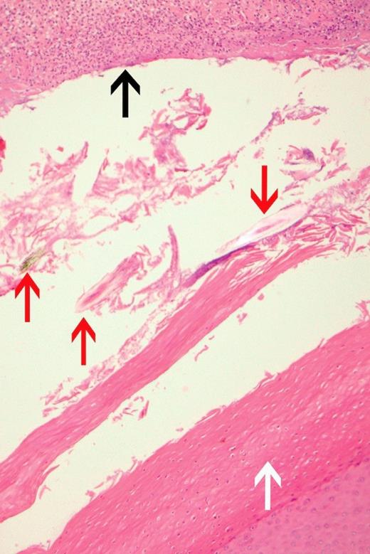
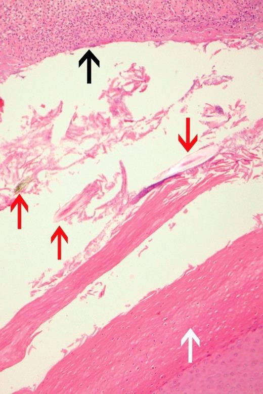
Histology results showed that microscopically the dermis was found to contain an inflamed pilonidal sinus (Fig. 3) with evidence of ulceration. On high power the sinus revealed sheep hair of different colour and maturity (Fig 4.). This was explained by the large varieties of sheep with which the patient came into contact.

A low power cross section image (H&E x10) of the pilonidal sinus imaged with a digital macro lens.

A high power image (H&E x100) of the sinus displaying epithelial lining of the sinus (white arrow), ulceration (black arrow) and multiple different coloured wool fragments (red arrows).
DISCUSSION
Inter-digital pilonidal sinus is an acquired disease caused by the penetration of hair through the thin epidermis of the inter-digital region.(8) This provokes an inflammatory response and the initiation of a foreign body granulomatous reaction. The constant friction between the fingers and negative pressure within the sinus is thought to facilitate the penetration and accumulation of hairs.(9) In hairdressing the aetiology is the penetration of short, sharp hair clippings whilst in sheep shearing it is thought to be due to an initial puncture from grass seeds, thorns and burrs, found in the sheep’s fleece, followed by wool fibres entering at the puncture site.(1,6,8)
It is a benign condition and many individuals are asymptomatic. However, the concern arises due to the susceptibility to recurrent infection that may result in a chronic draining sinus. Infection is a concern with any pilonidal sinus although it is suggested that this is a more common occurrence in sheep shearers with up to six exacerbations in one year.(6) In the case of our patient only one episode of infection was noted which was at the time he first presented to his doctor.
A previously reported case in 1966 was managed conservatively by removing visible fibres from the sinus and placing protective strips of plaster over the web space to prevent further infiltration of wool.(6) Our patient, however, chose surgical excision over a conservative watch-and-wait policy. In symptomatic cases conservative measures have not been proven to be effective. Antibiotic therapy is also considered to be unsuccessful unless used to treat the infection in combination with surgery to excise the sinus. The preferred surgical procedure is excision and primary closure either directly or with the help of a local flap. This method produces a good cosmetic result but has been suggested to have a higher risk of recurrence when compared with healing by secondary intention, although the disadvantage of the latter is a prolonged recovery.(10)
Surgical excision is largely believed to be curative although some recurrences have been reported.(3,8,9) A late recurrence may be due to a return to the same occupation without any alterations to their practice that may act as preventative measures.(3,9)
Prevention is the most effective method of treating this disease.(4) It is important that those at risk adhere to a good hygiene routine; meticulous cleaning and drying of the area, wearing gloves and ensuring the removal of any hairs that may have penetrated the skin during their work.(6,9)
Often in the instance of inter-digital sinus, multiple hairs of different colour are visible either protruding from the sinus itself or on further inspection intra-operatively.(4,5,9) In the example of one abattoir worker the sinus was found to be filled with animal hairs.(1)Figure 4 shows the microscopic findings within the excised sinus of our patient, displaying fibres of different colour and this may reflect the different varieties of sheep with which the patient works.