-
PDF
- Split View
-
Views
-
Cite
Cite
Shivani Angelique Kumar, Connor O’Meara, Felik Paulus, Laura Wise, Thomas Havas, Synchronous sinonasal and respiratory papilloma: could long-term positive pressure ventilation be the cause? A rare case report, Journal of Surgical Case Reports, Volume 2022, Issue 6, June 2022, rjac302, https://doi.org/10.1093/jscr/rjac302
Close - Share Icon Share
Abstract
This case report describes a rare presentation of synchronous pathologies—sinonasal inverted papilloma (SIP) and recurrent respiratory papillomatosis (RRP)—in a 47-year-old man using continuous positive airway pressure (CPAP) ventilation for progressive obstructive sleep apnoea. As far as we know, this is the first case of concurrent SIP and RRP disease described in the literature. The patient initially presented for management of chronic rhinosinusitis symptoms. He was found to have an extensive nasal lesion on flexible nasendoscopy, for which surgical management was recommended. However, during anaesthetic induction, he obstructed unexpectedly and was found to have an occlusive supraglottic lesion that required expedient ENT airway management. Diagnosis was made clinically and was supported with histopathology of excised tissue. Management involved multiple staged procedures for excision of sinonasal and glottic lesions and regular follow-up and imaging.
INTRODUCTION
Although the majority of sinonasal disease is inflammatory, neoplasms in this area account for 3% of all head and neck tumours [1]. The majority of sinonasal tumours are benign, locally destructive and have the potential for malignant transformation. Recurrent respiratory papillomatosis (RRP) is a disease of papillomas of the airway causing hoarseness and airway obstruction and is associated with HPV 6 and HPV 11 infection [2]. To the best of our knowledge, this is the first case in the literature describing synchronous sinonasal inverted papilloma (SIP) and RRP.
CASE PRESENTATION
A 47-year-old morbidity obese male with a 30-pack-year history of smoking presented with symptoms of chronic rhinosinusitis on a background of severe, progressive obstructive sleep apnoea (OSA)—initially diagnosed with polysomnography (2011) and treated effectively with CPAP, without compliance issues. He reported that over the last 3 years CPAP had progressively become less effective and was again becoming symptomatic of poor sleep, daytime somnolence, snoring and fatigue. Medical and family history are otherwise unremarkable. On flexible nasendoscopy, a large obstructive lesion in both nasal passages was noted.
We planned to perform endoscopic sinus surgery with biopsy and excision of sinonasal tumour; however, on induction he was found to have a large supraglottic papillomatous lesion causing airway obstruction (Fig. 1A). Endoscopic assessment identified the extent of the sinonasal tumour, which involved the left anterolateral nasal wall, left septum (from Kiesselbach’s plexus to the posterior nasal septum) and then extended to the contralateral side through a perforation in the right mid septum and progressing to the anterior aspect of the right lateral nasal wall. The planned procedure was converted to a microlaryngoscopy with excision of supraglottic lesion, incisional biopsy of nasal papillomata and ligation of the left sphenopalatine artery (due to persistent bleeding). Tracheoscopy also identified a region of tracheal papilloma, which planned for surgical management later. Patient was extubated successfully and transferred to the High Dependency Unit for airway monitoring.

Intraoperative images. (A) Large, supraglottic, papillomatous lesion extending to petiole—excised at first surgery. (B) Tracheal papilloma being injected with Cidofovir at the base of lesion during second procedure. (C) Tracheal papilloma post debridement and injection of Cidofovir during the second procedure.
Histopathology confirmed inverted sinonasal papilloma in the left nasal cavity and right septum and exophytic sinonasal papilloma in the left lateral nasal wall. The supraglottic lesion was described as squamous papilloma—this confirmed our suspicion of concurrent sinonasal and respiratory papillomas, a rare combination of pathologies.
Two weeks later, he underwent a repeat microlaryngoscopy, tracheoscopy and debridement of tracheal papillomata with adjuvant cidofovir injection. The lesions treated were on the tracheal mucosa overlying the inferior aspect of the anterior cricoid and the left laryngeal ventricle (Fig. 1B and C). Four weeks later, an endoscopic septectomy, bilateral medial maxillectomy, right sphenoethmoidectomy and right sphenopalatine artery ligation were performed to eradicate sinonasal disease.
On 1-week follow-up, he did not present with epistaxis and reported to have a significant improvement in symptoms and breathing. He was scheduled for another procedure to excise any residual sinonasal or respiratory papilloma at an appropriate interval. One month later, the patient reported that his ‘life had changed’ because he was no longer suffering from symptoms of OSA, did not need to use CPAP and his energy levels were the highest they had been since being diagnosed with OSA.
Imaging
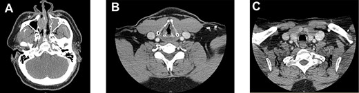
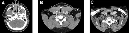
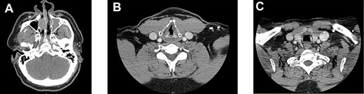
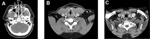
The patient had CT head and neck with contrast enhancement after the initial procedure (Fig. 2A–C).

Imaging. (A) Complete opacification of the left maxillary sinus. There is also destruction of the nasal septum, which is consistent with post-operative changes. (B) A 2 mm nodular thickening of the left vocal cord. (C) A 2 mm thickening of the anterior trachea, consistent with intraoperative findings in the first procedure. This lesion was treated with debridement and Cidofovir in the second procedure.
Histopathology
Macroscopic
Left nasal and supraglottic lesions consisted of multiple papilliform pieces of pale and haemorrhagic tissues. The sinonasal tissues were negative for HPV, but the supraglottic lesions were positive for low-risk HPV types (i.e. HPV 6), which is commonly associated with respiratory papillomas [2].
Microscopic
See Fig. 3A–D.

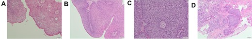
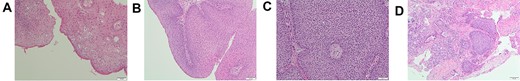
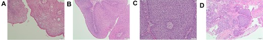
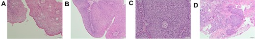
Histopathology. (A) Haematoxylin and eosin staining of supraglottic lesion showing squamous mucosa with scattered cells with enlarged, hyperchromatic nuclei, some with perinuclear haloes (possible HPV effect) (Light microscopy, ×10). (B) Haematoxylin and eosin staining of left nasal lesion demonstrating transitional epithelium with focal intraepithelial neutrophilic infiltrate (Light microscopy, ×10). (C) Haematoxylin and eosin staining of left nasal airway lesion showing inverted sinonasal papilloma, transitional epithelium with occasional goblet cells (Light microscopy, ×20). (D) Haematoxylin and eosin staining of left lateral nasal wall lesion showing sinonasal mucosa partly involved by inverted sinonasal papilloma (Light microscopy, ×10).
DISCUSSION
This is the first reported case of papillomata affecting the sinonasal cavity, larynx and trachea concurrently. There has been one case described in the literature of a male with adult-onset RRP who later developed SIP [3]. Given that this patient was using CPAP while sleeping daily for almost 10 years, we speculate whether positive pressure ventilation aided in the translation of papilloma from the nasal passage to the larynx and trachea by pushing cells down the respiratory tract. We did not find any literature that investigated this association.
Sinonasal papillomas are tumours of the sinonasal tract that arise from the Schneiderian membrane [4]. The most common symptom is nasal obstruction and other symptoms include rhinorrhoea, recurrent epistaxis, recurrent sinusitis, epiphora, anosmia and facial discomfort [5, 6]. There are three categories of these tumours with varying rates of occurrence—inverted (62%), oncocytic (6%) and exophytic (32%)—and aetiology is not well understood, although human papilloma virus and Epstein–Barr virus are thought to play a vital role [7].
Sinonasal inverted papilloma is generally a benign epithelial tumour; however, it has high recurrence rates, can be locally destructive and has the potential for malignant transformation [8]. Malignant transformation can occur either synchronously, identified with the first resection (7.1%), or may develop as the disease recurs (3.6%) [9]. Kim et al. conducted a retrospective multicentre cohort study with 939 patients and found that 3.8% of sinonasal inverted papillomas progressed to malignancy—all squamous cell carcinomas [10]. It also should be stated that quality of life is strongly affected according to the treatment of choice [11].
Papillomatous lesions elsewhere in the upper respiratory tract are grouped together and known as RRP, most commonly caused by HPV-6 and HPV-11, which are considered low-risk oncoproteins; however, overtime malignant transformation may occur [12, 13].
Endoscopic resection is the gold standard treatment for these types of lesions, and compared to other surgical approaches, it has a lower recurrence rate [14]. There is no curative treatment for RRP, but there are a range of adjuvant medical therapies—such as interferon, anti-viral agents, retinoids and oxigenase-2 cycle inhibitors—that have been found to reduce the number of recurrences when used in conjunction with surgical excision [15].
CONCLUSION
We report the first case of synchronous SIP and RRP in a middle-aged male using positive pressure ventilation for OSA. This case highlights the need to consider differential diagnoses in cases of severe and progressive OSA. It also demonstrates the possibility of multiple pathologies presenting simultaneously and the need for timely identification and expedited management.
CONFLICT OF INTEREST STATEMENT
All authors declare that they have no conflicts of interest.
FUNDING
None.
References
- obstructive sleep apnea
- anesthetics
- follow-up
- intermittent positive-pressure ventilation
- inverted papilloma
- positive end-expiratory pressure
- surgical procedures, operative
- diagnosis
- diagnostic imaging
- glottis
- nose
- continuous positive airway pressure
- airway maintenance
- chronic sinusitis
- recurrent respiratory papillomatosis
- staged operation
- excision
- histopathology tests
- respiratory papilloma