-
PDF
- Split View
-
Views
-
Cite
Cite
Gabriel A Molina, Germanico Fuentes, Monica Elizabeth Orejuela, Juan Marcelo Herrera, Galo Enrique Jiménez, Johanna Carolina Pinto, Maria Mercedes Cobo, Pneumatosis cystoides intestinalis in an elderly patient, better to be safe than sorry, Journal of Surgical Case Reports, Volume 2020, Issue 4, April 2020, rjaa053, https://doi.org/10.1093/jscr/rjaa053
Close - Share Icon Share
Abstract
Pneumatosis cystoides intestinalis is a rare pathology with nonspecific symptoms that can be easily misdiagnosed. Clinical awareness along with close surveillance is critical to effectively diagnose and treat this condition. Current treatment is based on conservative therapy including antibiotics and oxygen. Surgery is only recommended when complications are suspected. Here, we present the case of a 72-year-old female admitted to the emergency department with abdominal pain and vomits. Pneumatosis cystoides intestinalis was diagnosed and was successfully treated. On follow-up visits, patient is recovering and doing well.
INTRODUCTION
Pneumatosis cystoides intestinalis is a rare condition (0.03%) where multiple gas-filled cysts appear in the submucosa or subserosa of the intestine [1, 2]. Diagnosis is challenging as patients may be asymptomatic or present nonspecific symptoms. The use of imaging is the key factor to aid in the assessment of this condition, but its presentation may be similar to other life-threating conditions [3]. A high level of clinical reasoning and close surveillance is required to correctly treat these patients [1, 3].
Here, we present the case of a 72-year-old female. She presented to the emergency department with abdominal pain and vomits. Due to persistent abdominal pain, surgery was needed with a final diagnosis of pneumatosis cystoides intestinalis. The patient successfully recovered and is doing well in follow-up controls.
CASE REPORT
Patient is a 72-year-old Ecuadorian female with a past medical history of obesity (body mass index of 38), hypertension, left total knee replacement, spinal surgery, type II diabetes on insulin therapy and severe chronic obstructive pulmonary disease (COPD). She presented to the emergency room with abdominal pain. The patient had been experiencing diffuse mild abdominal pain for the past 4 months and verbally reported in the last 5 days that the pain became very intense and was accompanied by abdominal distention, nausea and vomits. Fever was not present, and she was able to pass gas normally.
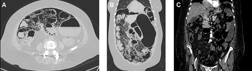
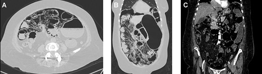
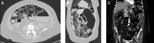
On clinical examination, we encountered a tachycardic (122 bpm) and dehydrated patient. Her capillary refill time was <2 seconds, but her skin was cold and dry to touch. Her abdomen was distended, and pain was found in her lower abdomen with no signs of tenderness. After adequate reanimation, complementary examinations were requested. Blood results detected leukocytosis (13 000 cell/mm3), neutrophilia (83%) and hypokalemia (3.1 mEq/L). Distended loops of the small bowel were observed on the abdominal X-ray. Because of this, a contrast-enhanced abdominal computed tomography (CT) was performed revealing multiple cystic round shapes in the wall of the jejunum and mesentery. Additionally, a bubbly pattern of gas was present across all the length of the small bowel. The rest of the bowel appeared normal with no signs of pneumoperitoneum, pneumobilia, gas in the portal venous system or free liquid (Fig. 1A–C). The patient was admitted to the ward but after 24 hours of close monitoring her pain persisted. A life-threatening condition was suspected, and surgery decided.

(A) Computed tomography (CT), revealing pneumatosis intestinalis on the bowel wall. (B) CT, revealing multiples gas-filled cysts in the bowel and on the mesentery. (C) CT, no evidence of gas in the portal system.
During laparotomy, an extensive abdominal cavity examination was needed to discover active peristalsis in the wall of the small bowel, with no signs of ischemia. The small bowel wall was surrounded by multiple 0.5 × 1-cm cystic lesions beneath its serosa, filled with gas. However, no evidence of perforation was observed. The mesentery was filled with similar lesions and the rest of the organs were normal in appearance (Fig. 2A–C). A biopsy was taken from the mesentery and the surgical procedure was completed with no complications. Pathology reports showed chronic inflammation without atypia and pneumatosis cystoides intestinalis was the final diagnosis.

(A) Multiples gas-filled cyst on the serosa of the small bowel. (B) Multiples gas-filled cyst on the serosa of the small bowel and mesentery. (C) Multiples gas-filled cyst on the serosa of the small bowel and mesentery.
Postoperatively, the patient completed a 7-day course of intravenous metronidazole along with oxygen therapy and the overall monitoring was uneventful. On follow-up 5 months postsurgery—the patient is doing well—she has not experienced any abdominal pain and is asymptomatic.
DISCUSSION
Pneumatosis intestinalis was first described by Duvernoy et al. in 1730 and recognized as a radiological term in 1946 by Lerner and Gazin [1]. Its clinical importance can vary depending on the underlying pathology causing it [2]. Traditionally, pneumatosis intestinalis is considered a sign of bowel necrosis that requires urgent surgical management [2]. When ischemia is present, it can rapidly deteriorate and lead to mortality rates up to 85% [1, 3]. Nonetheless, there are many nonischemic-related cases of pneumatosis intestinalis that follow a more favorable process. In these scenarios, timely clinical surveillance is needed [3]. Some causes associated with this condition include traumatic events (endoscopy, ulcer and anastomosis), inflammatory or autoimmune diseases (Crohn’s disease, diverticular disease and lupus), infectious diseases (HIV, mycobacterium and adenovirus), pulmonary disorders (asthma, COPD and cystic fibrosis); drug-related (corticosteroids, lactulose and alpha-glucosidase inhibitors) and other rare etiologies (sclerosis and hemodialysis) [2–4]. Currently, pneumatosis cystoides intestinalis is a rare syndrome (0.03%) that occurs when multiple gas-filled cysts appear in the intestinal submucosa and serosa [1, 3, 4]. The mechanism by which the air enters the intestinal wall is not yet fully understood, however, several hypotheses have been proposed. The gas could enter the bowel wall through mucosal breaks, spreading throughout the mesentery. The excessive hydrogen gas production from intraluminal bacteria can lead to an increase in the intraluminal pressure trapping the gas in the submucosa. Alternatively, it can originate from pulmonary gas where an alveolar rupture could trap the gas in the mediastinum traveling to the retroperitoneum and mesentery [1, 5, 6]. We suspect that in our patient, her pulmonary condition could have aid in the formation of the gas-filled cysts. Clinical manifestations are nonspecific and can include abdominal distention, diarrhea, constipation and abdominal pain [1, 7]. The cysts appear more frequently in the terminal ileum; however, any part of the gastrointestinal tract can be affected [1, 2]. In our case, the patient experienced abdominal pain and distention, and the cysts were located in the small bowel and the mesentery.
Diagnosis can be made with the use of a range of imaging techniques like plain radiography, colonoscopy or ultrasonography; however, CT provides better resolution and detail to diagnose complex rare conditions like the one from this report [1, 8]. CT images allow to distinguish pneumatosis cystoides intestinalis from intraluminal air and are excellent for the exploration of the abdominal cavity. Consistent with previous reports, the histological examination of the cysts from our case revealed multinucleated giant cells, macrophages and pericystic inflammation [1, 9]. Pneumoperitoneum can be associated with pneumatosis cystoides intestinalis and does not require urgent surgery [1, 3]. Treatment is based on the underlying cause of pneumatosis, along with clinical measures that can include antibiotics and oxygen therapy [1, 2, 9].
Pneumatosis cystoides intestinalis can present a wide spectrum of symptoms and therefore, it can easily be confused with the other conditions. It is very important for physicians to have a high level of clinical reasoning to evaluate examinations and imaging outcomes and implement interventions. There are multiple benign and life-threatening potential causes of pneumatosis intestinalis. This case highlights the importance of an adequate clinical history data collection, physical examination and appropriate interpretation of laboratory and image tests. We also consider that close surveillance is crucial, especially for a rare disease like pneumatosis cystoides intestinalis, where nonoperative management is the treatment of choice in most cases. However, if patients develop any signs of perforation, peritonitis or sepsis, surgical consultation is mandatory.
CONFLICT OF INTEREST STATEMENT
The authors declare no conflict of interest.