-
PDF
- Split View
-
Views
-
Cite
Cite
Vinay Bajaj, Francisco Benavides, Jay Fisher, Nonsurgical management of an asymptomatic popliteal venous aneurysm, Journal of Surgical Case Reports, Volume 2020, Issue 2, February 2020, rjz396, https://doi.org/10.1093/jscr/rjz396
Close - Share Icon Share
Abstract
An 81-year-old male with a history of poorly controlled congestive heart failure, chronic obstructive pulmonary disease and atrial fibrillation among other comorbidities was admitted to the hospital for worsening bilateral leg swelling and cellulitis. The patient had an injury to his left medial malleolus 2 weeks prior, which failed outpatient care. During the physical exam, a soft mobile mass was palpated in the right popliteal fossa along with bilateral varicose veins, +1 pitting edema in bilateral lower extremities up to mid-calf. Duplex ultrasound revealed a saccular dilation in the right popliteal vein measuring 2.2 × 1.8 × 2.8 cm, without any evidence of superficial or deep vein thrombosis. After an extended conversation with the patient and his care team, a decision to continue with medical management with close monitoring was made. Follow-up ultrasounds performed at 1, 6 and 12 months show no changes.
INTRODUCTION
Venous aneurysms are rare entities and hence poorly understood. A positive correlation is suggested between the presence of popliteal venous aneurysms (PVA) and development of pulmonary embolism (PE) leading to their prophylactic surgical management without development of definitive guidelines for intervention.
CASE REPORT
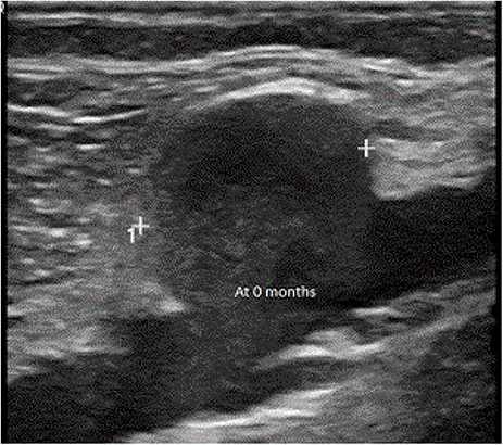
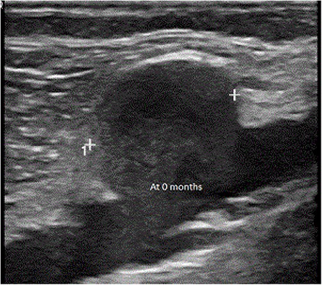
An 81-year-old male with a history of poorly controlled congestive heart failure, chronic obstructive pulmonary disease and atrial fibrillation among other comorbidities was admitted to the hospital for worsening bilateral leg swelling and left lower extremity cellulitis. The patient had an injury to his left medial malleolus from an ill-fitting new shoe 2 weeks prior, which had failed outpatient care. During the physical exam, a soft mobile mass was palpated in the right popliteal fossa along with bilateral varicose veins, +1 pitting edema in bilateral lower extremities up to mid-calf. Duplex ultrasound revealed a saccular dilation in the right popliteal vein measuring 2.2 × 1.8 × 2.8 cm (Fig. 1), without any evidence of superficial or deep vein thrombosis (DVT). After an extended conversation with the patient and his care team, a decision to continue with medical management with close monitoring was made. Follow-up ultrasounds performed at 1, 3, 6, 9 and 12 (Fig. 2) months show no changes.


DISCUSSION
Abundant literature exists about the treatment of arterial aneurysms (AA). On the other hand, there is a paucity of information regarding venous aneurysms and little consensus in the treatment algorithm due to lack of information available on true prevalence, nature and the lack of high quality evidence for its treatment.
Venous aneurysms can occur at various sites in the body and most are managed conservatively. Their etiology remains poorly understood, but they remain distinct from AA considering their absence in patients prone to AA such as Ehlers-Danlos and Marfan’s syndrome [1]. They are also considered distinct from large varicosities, because of their anatomic locations [2]. PVAs are becoming more frequently diagnosed recently due to increased surveillance for DVTs.
PVAs however have a strong correlation with DVT and PE and therefore are managed surgically, especially when symptomatic [3–5]. In our case, however, the patient refused to undergo a surgical intervention for aneurysmectomy. Given that he did not have a DVT at the point of discovery and given that the patient was already on anticoagulation medication, we decided to follow the patient’s wishes and closely followed him with serial ultrasound evaluation of the PVA.
Conflicts of Interest
None declared.
Acknowledgements
Funding was provided by the General Surgery training program at Easton Hospital. The authors have no other financial disclosures.
References
- atrial fibrillation
- deep vein thrombosis
- chronic obstructive airway disease
- ultrasonography, doppler, duplex
- aneurysm
- congestive heart failure
- cellulitis
- physical examination
- ambulatory care services
- comorbidity
- dilatation, pathologic
- follow-up
- popliteal vein
- varicosity
- leg
- pitting edema
- Medial malleolus
- popliteal fossa
- medical management
- conversation
- bilateral lower extermity edema