-
PDF
- Split View
-
Views
-
Cite
Cite
Laura DiChiacchio, Natalie A O’Neill, Mark Kligman, Andrea C Bafford, Postoperative small bowel obstruction secondary to single malformed staple following laparoscopic total abdominal colectomy, Journal of Surgical Case Reports, Volume 2020, Issue 10, October 2020, rjaa361, https://doi.org/10.1093/jscr/rjaa361
Close - Share Icon Share
Abstract
Surgical staplers are ubiquitous in gastrointestinal surgery, especially laparoscopy. Intraperitoneal staples are designed to be inert and are generally regarded as benign; however, complications from primarily malformed staples can rarely occur. Here, we present a case of early mechanical postoperative small bowel obstruction due to a surgical staple following laparoscopic total abdominal colectomy and end ileostomy creation performed for medically refractory ulcerative colitis. Management consisted of diagnostic laparoscopy and careful extraction of a malformed surgical staple tethering a loop of small bowel to the rectal stump. Eight similar cases following gastrointestinal surgery have been identified in the literature, all occurring in the first 2 weeks following laparoscopic appendectomy. To our knowledge, this is the first case described following laparoscopic total abdominal colectomy, with high-grade small bowel obstruction at the level of the rectal stump staple line.
CLINICAL SUMMARY
An otherwise healthy 30-year-old man with ulcerative colitis presented with 6 weeks of progressive abdominal pain, bloody diarrhea, nausea and significant weight loss despite outpatient mesalamine and oral steroids per his primary gastroenterologist. He was hospitalized and treated with high-dose intravenous steroids and one dose of infliximab at 5 mg/kg without symptom improvement. He underwent a colonoscopy on treatment day 8, which demonstrated severely active (Mayo score 3) disease. In discussion with the patient the decision was made to proceed with laparoscopic total abdominal colectomy and end ileostomy with ultimate plan for staged ileoanal J pouch creation. During this procedure, the rectal stump was divided outside the pelvis at the level of the rectosigmoid junction utilizing a single fire of an Echelon ENDO GIA™ stapler (60-mm cartridge, ‘green’ staple load intended for 2.0–3.3-mm tissue thickness). The staple line was examined prior to closure and was found to be intact and hemostatic. The patient had full return of bowel function by postoperative day (POD) 2, at which time he was discharged to home.

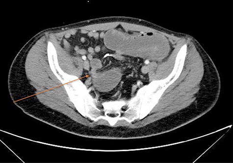
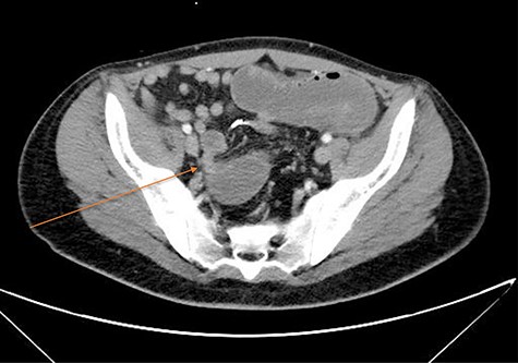
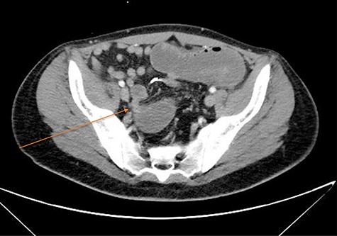
CT imaging demonstrating transition point in the pelvis at the level of the rectal stump; arrow marks transition point.

(A) Initial view of the transition point in the pelvis near the rectal stump; vascular clips are seen at the resection line. (B) View with careful exposure of the transition point demonstrating a free staple adherent to the rectal stump with one end and a loop of small bowel with the other. (C) Staple positioned on small bowel with transition point visible.
The patient represented to the emergency department on POD 6 with abdominal pain, nausea and an abrupt decrease and near cessation of ileostomy output. A computed tomography (CT) scan demonstrated acute high-grade small bowel obstruction with transition point within the pelvis at the site of the sigmoid resection (Fig. 1). The patient was treated with nasogastric tube decompression and intravenous hydration and was taken urgently to the operating for laparoscopic exploration. Upon entering the abdomen, dilated but viable small bowel loops were encountered. The dilated loops were traced to the pelvis where a dramatic transition to decompressed small bowel was found (Fig. 2). Here, an open staple on the corner of the rectal stump staple line caused tethering and obstruction of an adjacent small bowel loop (Fig. 2B). The staple was carefully released and removed from the peritoneal cavity. The transition point caused by the staple could easily be visualized following removal and there was no evidence of serosal injury or ischemia (Fig. 2C). Gas was observed to immediately fill the previously decompressed distal small bowel loops and no other sites of obstruction were identified. The patient had an uneventful postoperative course with immediate return of bowel function. He was discharged home 2 days following reoperation with no long-term sequelae.
DISCUSSION
The use of surgical staplers in laparoscopic gastrointestinal surgery is common and safe. Free intraperitoneal staples are frequently left in situ and rarely lead to complications. Malformed staples, where a perfect ‘B’ shape does not form, as in our case, increase the risk of postoperative complications including mechanical small bowel obstruction, volvulus and internal hernia [1–3]. While this complication is rare, it has been described [1–5]. Eight cases following laparoscopic gastrointestinal surgery were identified in the literature. All involved a small bowel obstruction secondary to a surgical staple in the first 3 days to 2 weeks following laparoscopic appendectomy; a ninth case was identified 6 years following laparoscopic total hysterectomy. Petrocelli et al. [5] estimate an incidence as high as 1.8% following laparoscopic surgery requiring surgical stapler use. Risk reduction measures include appropriate selection of stapler cartridge and size and close examination of the staple line with removal of any visualized malformed staples [3]. In patients presenting with early postoperative small bowel obstruction following laparoscopic colectomy, staple-related adhesive disease should be considered.
CONFLICT OF INTEREST STATEMENT
None declared.
FUNDING
None.