-
PDF
- Split View
-
Views
-
Cite
Cite
Mithun Kailavasan, Ricky Ellis, Sophie O’Dowd, Benedict Sherwood, Alvaro Bazo, ‘No visible lesions?’—an unusual case of Intestinal metaplasia of the bladder, Journal of Surgical Case Reports, Volume 2018, Issue 8, August 2018, rjy193, https://doi.org/10.1093/jscr/rjy193
Close - Share Icon Share
Abstract
Intestinal metaplasia (IM) of the bladder is an extremely rare benign condition. The clinical features are similar to other bladder tumours. Its pathogenesis is unclear and its role as a precursor of adenocarcinoma has long been debated. Transurethral resection is the main form of treatment for IM. We report the case of a 49-year-old gentleman who presented with visible haematuria. He was submitted to multiple cystoscopies which showed no macroscopic irregularities. Radiological (CT urogram and multiparametric MRI) imaging revealed abnormalities within the bladder neck, suspicious of a neoplastic lesion. Following transurethral resection of his trigonal area, pathology demonstrated IM occurring on a background of cystitis glandularis. This case highlights the unusual difficulty in macroscopically diagnosing IM of the bladder compared to other neoplasms of the bladder. Therefore, in patients with persistent visible haematuria there should be a low threshold to perform biopsies.
CASE REPORT
The patient is a 49-year-old male, smoker (20 cigarettes per day) who presented with visible haematuria without any associated lower urinary tract symptoms (LUTS) or weight loss. His past medical history included epilepsy, previous alcohol dependence and polyneuropathy. His medications include sodium valproate, levetiracetam, trazadone, propranolol and thiamine.
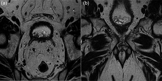
His initial investigations included a flexible cystoscopy which revealed an oedematous bladder neck with no pedunculated masses and a CT urogram (CTU) demonstrated a broad-based lobular soft tissue mass in the neck of the bladder with normal perivesical planes. Two further rigid cystoscopies were performed, however no definite lesion was visualized to biopsy or resect. In view of his abnormal CTU and negative cystoscopies, a multiparametric prostate MRI was arranged. The MRI described non-specific dependent signal abnormality at the base of the bladder neck (trigonal area) with associated mucosal irregularity (Fig. 1).

MRI multiparametric axial (a) and coronal (b) images of an irregularity at the base of the bladder neck.
Our patient underwent transurethral resection of the trigonal area. Initial histology was reported as mucinous cystadenoma in view of the large extent of mucin filled glandular spaces, extravasation of mucin and lack of atypia.
Further histological analysis showed focal positive staining for CK7 and CK20. There was also nuclear staining for CDX2. Beta catenin showed membranous but not nuclear staining and therefore a diagnosis of IM occurring on a background of cystitis glandularis was offered.
DISCUSSION
IM of the bladder is defined as the metaplastic alteration of urothelium by colonic mucosa or goblet cells in Brunn’s nests [1]. They are most frequently identified at the bladder trigone, but are also seen in the ureter and renal pelvis [2]. The incidence of intestinal metaplasia is 0.1–0.9% and increases with age; most commonly found during the fifth and sixth decades of life [2, 3]. The aeitology of IM is thought to be associated with chronic inflammation of the bladder from risk factors such as bladder exstrophy, nephrolithiasis, pelvic lipomatosis and neurogenic bladder [3].
Histologically, both IM and mucinous cystadenoma appear similar, with findings of an orderly arrangement of the glands, lack of more than mild atypia of the cells, and absence of invasion favouring the former diagnosis [4]. Positive staining of CDX2 and CK20 proteins are present in IM, but absent in cystitis glandularis [5].
There is conflicting evidence of whether IM is a premalignant lesion to adenocarcinoma. On a microscopic level, positivity to nuclear β-catenin suggests the potential of IM to progress to malignancy; a similar signalling mechanism is seen with Barrett’s oesophagus and oesophageal adenocarcinoma [1, 6].
In contrast, case series published have various reported incidences of adenocarcinoma between 0 and 40% (n = 3) [1]. The largest case-series to date, found one case of bladder adenocarcinoma in 89 patients and recurrence rate of 4.5% (4/89) [2].
Our case highlights that IM of the bladder may be difficult to diagnose macroscopically compared to other typical neoplasms of the bladder, and therefore in the context of abnormal radiological findings, there should be a low threshold to perform biopsies in the first instance. Additionally, as the natural history of IM is poorly understood, these patients should be followed up with either endoscopic or radiological surveillance until the evidence is more robust.
ACKNOWLEDGEMENTS
None.
CONFLICT OF INTEREST STATEMENT
The authors declare that they have no competing interests in this section.
INFORMED CONSENT
Written informed consent was obtained from the patient for their anonymized information to be published in this article.
Data sharing is not applicable to this article as no datasets were generated or analysed during the current study.
CONTRIBUTORSHIP
M.K. and R.E. researched the surrounding literature and wrote the article. M.K. gained informed consent (written). S.D. interpreted the radiological imaging and provided images. S.D., B.S. and A.B. made appropriate changes to the draft article. All authors reviewed and approved the final article prior to submission.
REFERENCES
http://www.pathologyoutlines.com/topic/bladderintestinalmetaplasia.html. (22 January 2018, date last accessed)