-
PDF
- Split View
-
Views
-
Cite
Cite
Narendra Pandit, Laligen Awale, Samir Chaudhary, Lokesh Shekher Jaiswal, Fever of unknown origin: a rare presentation of giant hepatic hemangioma, Journal of Surgical Case Reports, Volume 2018, Issue 6, June 2018, rjy143, https://doi.org/10.1093/jscr/rjy143
Close - Share Icon Share
Abstract
Hepatic hemangioma is mostly asymptomatic and incidental finding on imaging. Fever of unknown origin as a sole presentation is rare. We present an interesting case report of a 49-year-old female, who presented with fever for three months. Extensive blood investigations and infectious workup failed to reveal the cause. Contrast computed tomography of abdomen revealed a giant (15 × 11 cm) hemangioma arising from left lateral segment of liver, and was attributed as a cause for fever. Surgical excision of hemangioma completely ameliorated the fever.
INTRODUCTION
Hepatic hemangioma is the most common benign liver tumor. It is mostly small, asymptomatic and frequently an incidental findings on imaging for other unrelated conditions [1]. Uncommonly, they present with symptoms like abdominal pain or early satiety due to the mass effect when the tumor is giant (>5 cm). Fever as a sole presentation is very rare, and only sporadic cases have been reported [2]. We report this rare presentation of hepatic hemangioma.
CASE REPORT
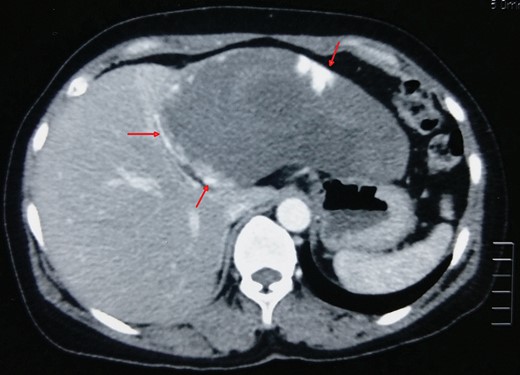
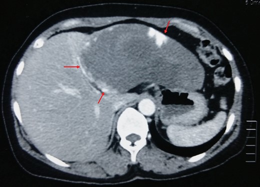
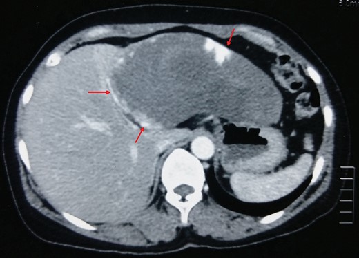
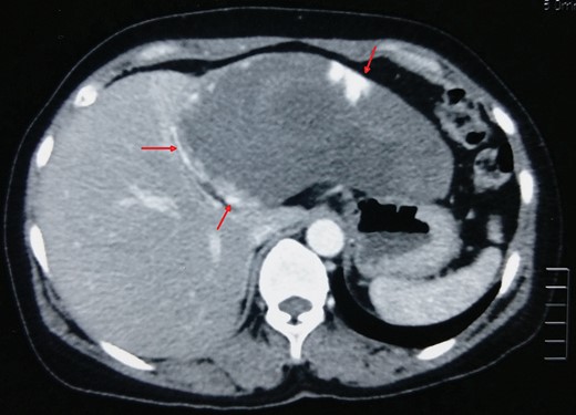
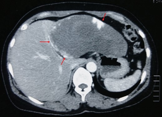
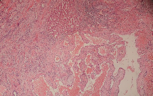
A 49-year-old female, with no co-morbid illness, presented with 3 months history of fever. The fever was intermittent, low grade (maximum temperature recorded 101 degree Fahrenheit) with an evening rise and not associated with chills and rigor. She denied any history of pain abdomen, cough, dysuria, joint pain, weight loss or loss of appetite. General physical examination including chest did not reveal any significant findings. On palpation of abdomen, there was a vague, non-tender, ill-defined lump in the epigastric region. Laboratory investigation including hemoglobin (12.6 gm/dl), total leukocytes counts (9200 cells/mm3), renal and liver function tests were within normal range. Blood cultures, sputum and urine culture were sterile. Moreover, the extensive infectious and immunological workup including tuberculosis, malaria, kala-azar and HIV were negative. Chest X-ray was also normal. The contrast enhanced computed tomography of abdomen revealed a peripheral nodular enhancing lesion measuring 15 cm × 11 cm, with central hypodense areas in left lateral segment of the liver suggesting giant hemangioma (Fig. 1). Liver hemangioma as a cause for fever of unknown origin was assumed (after excluding all other causes) and underwent laparoscopic assisted left lateral segmentectomy (Fig. 2). Histopathological report confirmed cavernous hemangioma of liver (Fig. 3). Patient did well and was discharged on postoperative Day 5. At 3 months of follow-up, patient was afebrile.

A giant hemangioma (15 × 11 cm) with central hypodense areas in left lateral segment of liver (arrow).


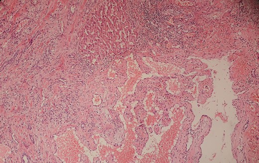
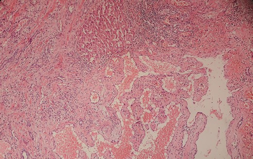
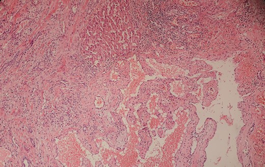
(H&E, ×100) Pathological examination confirmed the diagnosis of cavernous hemangioma.
DISCUSSION
Fever of unknown origin due to hepatic hemangioma, as an uncommon presentation was first described by Shumacker et al. in 1942, where one out of 66 surgically treated liver hemangioma patient presented with fever [2]. Till date, only four case reports have been described in English literature for hepatic hemangioma with fever of unknown origin [3]. In those cases, all of the tumors were giant, with an average size of 10 cm. Fever in hemangioma appears to be immunologically mediated, due to release of endogenous pyrogens (benign counterpart of paraneoplastic syndrome) or due to acute thrombosis or necrotic changes within the hemangioma [3, 4]. Rarely fever can arise due to spontaneous internal hemorrhage into the giant hemangioma [5]. Diagnosis of cause for fever with hepatic hemangioma, is basically an exclusion. Hemangioma as a cause should be attributed, after all other sources for fever has been excluded, as these are rarely symptomatic even if they appear giant.
Although conservative management with antipyretics, steroids and transarterial embolization has been described, surgical resection or enucleation in the fit patient is the best treatment modality of choice and totally ameliorates the symptoms of fever [4]. In our patient, fever was presumed to be caused by necrosis in the central part of the tumor combined with endogenous release of the pyrogens from the tumor.
In conclusion, liver hemangioma can rarely present with fever of unknown origin, and should be considered as one of the cause for fever, provided all other source has been excluded.
Conflict of interest statement
None declared.