-
PDF
- Split View
-
Views
-
Cite
Cite
Islam Mubark, Shahed Anwar, Keith Hayward, Closed posterior ankle dislocation without associated fractures: a case report, Journal of Surgical Case Reports, Volume 2017, Issue 8, August 2017, rjx165, https://doi.org/10.1093/jscr/rjx165
Close - Share Icon Share
Abstract
Ankle dislocation without associated fractures, also known as pure ankle dislocation is a rare injury. It is usually the result of high energy trauma. It could be a combination of predisposing anatomical factors plus certain ankle position at time of injury that produce this peculiar injury. In most cases it is managed conservatively with urgent reduction, 6–9 weeks of immobilization followed with intense physiotherapy. The outcome after these injuries is generally good where most of the patients in reported cases managed to return to the preinjury level of activity.
INTRODUCTION
Ankle dislocation without associated fracture also known as pure ankle dislocation is an extremely rare injury with few cases reported in literature. We present a case of pure posterior ankle dislocation in adult patient with discussion of initial management, radiological findings and outcome at 6 months follow up.
CASE REPORT
A 30-year-old male patient presented to Emergency Department (ED) following a run over injury. The patient described the mechanism of injury as moving his body over his run over foot. On clinical examination, there was obvious deformity and swelling of the right ankle. Dorsalis pedis pulse was felt but weak compared to the contralateral side with a capillary refill time under 3 s. The posterior tibial artery could not be palpated because of the deformity. X-rays showed posterior ankle dislocation without associated fractures (Fig. 1). Urgent reduction of the dislocation was done under sedation in ED. The knee was first flexed to relax the tendon Achilles then longitudinal traction with gentle forward force applied to the heel with immediate reduction of the deformity achieved. The foot was reassessed for vascular status. Triphasic pulse in both drosalis pedis and posterior tibial artery was detected with hand held Doppler. Ankle was immobilized in posterior below knee back slab to accommodate for swelling and check x-rays confirmed reduction of the ankle joint (Fig. 2). CT scan was done afterwards to define any subtle incongruity or osteochondral fragments entrapped in the joint. CT did not show any associated fractures and showed congruent reduction of the ankle joint (Fig. 3). Patient was mobilized touch weight bearing for first 2 weeks. The back slab was changed for weight bearing short leg cast and progressive weight bearing was allowed for the following 4 weeks. At 6 weeks follow up, plaster was removed and on examination patient still had moderate tenderness over the medial joint line and deltoid ligament area. Also, patient had limited range of plantar and dorsal flexion. Referral for physiotherapy was done for start of functional rehabilitation and range of motion exercises and in mean time MRI was done to delineate extent of ligamentous injury. MRI showed bone bruising of the lateral malleolus, medial malleolus and lateral talus (Fig. 4). The anterior talufibular ligament (ATFL), calcaneofibular ligament (CFL), posterior talofibular ligament (PTFL) and deltoid ligaments were sprained but intact. At 12 weeks follow up, patient could walk normally without any symptoms of instability and achieved 20° of both plantar and dorsal flexion. At 16 weeks, patient achieved full range of motion of ankle and was able to return to work. At 24 weeks follow up patient was able to resume his sport activates as preinjury level.

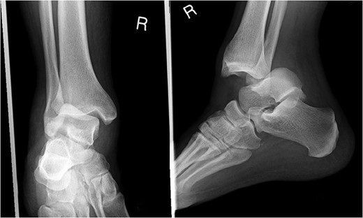
Plain film X-rays of right ankle showing total posterior dislocation of the ankle joint with no fracture of the medial or lateral malleolus.

Post reduction films showing adequate reduction of the ankle joint with no talar shift or syndesmotic injury.

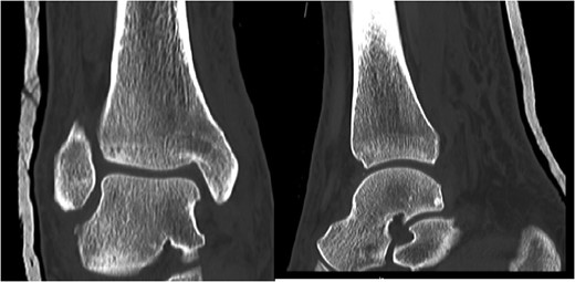
Post reduction CT scan showing congruent reduction of the dislocation without associated fractures.

T2 MRI images showing high signal in medial malleolus, lateral malleolus and talus signifying bone bruise.
DISCUSSION
Ankle dislocations without fractures also known as pure ankle dislocations are extremely rare injuries. It was first reported by Peraire [1]. These injuries can be classified according to direction of dislocation of the talus in relation to the tibia into anterior, posterior, posterolateral and posteromedial dislocations [2]. These injuries are usually the result of high energy trauma. In majority of reported case it presents as an open injury making the closed injury more rare presentation. The stability of the ankle joint depends on medial and lateral ligaments. The medial side ligaments include the deep and the superficial deltoid ligaments. On the lateral side this include the ATFL, CFL and PTFL. This mediolateral stability is enforced by the talus setting in the deep ankle mortise [3]. In contrast, anterior to posterior stability of the ankle depends only on the muscles running around the ankle and the ankle joint capsule. The fact that the medial and lateral ligament are very robust structures explains the more common fractures associated with ankle injuries where bone fails under stress before ligaments. Proposed mechanism of pure dislocation is that when the ankle joint is maximally plantar flexed the talus is less secured in the ankle mortise due to its unique rhomboidal shape and with added axial and inversion forces, the talus can dislocate from the ankle [4]. Moehring et al. [5] suggested that some factors such as medial malleolus hypoplasia, ligamentous laxity and peroneal muscles weakness can predispose ankle to pure dislocation.
Expedient reduction of these injuries is of paramount importance to relief the pressure on the neurovascular structure, avoid skin compromise and to reduce swelling formation. Closed reduction under general anaesthesia or sedation is usually the recommended treatment. The heel is held with one hand and with the knee flexed to allow relaxation of the tendon Achilles. Longitudinal traction is applied, followed by a posteriorly directed force on the foot. After reduction the joint is immobilized via the application of a short leg cast for 6–9 weeks. CT is recommended to exclude any entrapped osteochondral fragments In the joint. MRI is not routinely requested but if patients are having ongoing pain or instability MRI can help defining the extent of ligamentous injury, chondral injury and early arthritic changes.
According to several authors, Instability is uncommon as well as joint stiffness [5, 6]. Elisé et al. [7] reported in their series of 16 cases an incidence of 25% of degenerative changes in the ankle joint.
In conclusion, pure ankle dislocation is a rare injury that needs urgent reduction and immobilization for 6 weeks followed with aggressive physiotherapy and rehabilitation. In general the outcome of these injury is good with most patients expected to return to normal preinjury level of activity.
CONFLICT OF INTEREST STATEMENT
The authors declare no conflict of interest whatsoever arising out of the publication of this article.