- 
        
            PDF 
- Split View
- 
                            
                                
                                Views
- 
    CiteCiteJoshua Dilday, Maxwell Sirkin, Chelsey McKinnon, Shaun Brown, Portal vein thrombosis after laparoscopic total colectomy for colonic inertia, Journal of Surgical Case Reports, Volume 2017, Issue 8, August 2017, rjx075, https://doi.org/10.1093/jscr/rjx075 Close
- Share Icon Share
Abstract
Portal vein thrombosis (PVT) has been recently documented after a variety of laparoscopic surgeries. Although it is well established in splenectomies, its prevalence in other laparoscopic procedures is rare. PVT in colectomies has been associated with inflammatory processes, such as ulcerative colitis and diverticulitis. We report a case of postoperative PVT following a total abdominal colectomy for colonic inertia. A 27-year-old female underwent an uneventful elective laparoscopic total colectomy with ileorectal anastomosis for colonic inertia, and presented on postoperative day (POD) 3 with obstipation, abdominal distention and emesis. Her abdominal pain increased on POD 4 and computed tomography revealed PVT. PVT following laparoscopic surgery is rare in cases not involving the spleen. Although previously seen in colectomies for inflammatory conditions, it can present after colonic inertia. A high index of suspicion should be maintained to diagnosis this rare complication.
INTRODUCTION
Portal vein thrombosis (PVT) is a rare complication of laparoscopic surgery. It has been associated with trauma, malignancy, inflammatory diseases and cirrhosis [1]. Although rare, it has been seen after an array of laparoscopic surgeries including bariatric procedures, gastric fundoplications, splenectomies, colectomies and appendectomies [1, 2]. Multiple theories exist as to why PVT occurs after laparoscopic surgeries, including both local and systemic factors [1, 3]. PVT after colectomies have usually been associated with an inflammatory condition (i.e. diverticulitis or inflammatory bowel disease [IBD]) [1, 4]. To our knowledge, this is the first documented case of PVT following a colectomy for colonic inertia.
CASE REPORT
A patient at our institution developed a PVT after undergoing a laparoscopic colectomy with ileorectal anastomosis for colonic inertia. The patient, a 27-year-old female, was relatively healthy with a past surgical history of orthopedic foot and shoulder surgeries. Her only medication was an oral contraceptive (OCP). She had no personal or family history of deep vein thrombosis. Her BMI was 26.6. She was a nonsmoker and not pregnant. After the diagnosis was confirmed with a sitz marker study and balloon expulsion a laparoscopic total colectomy was planned.


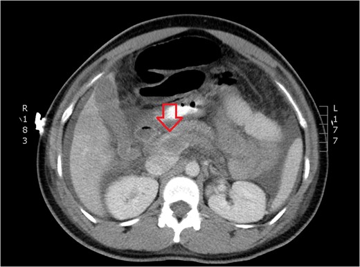
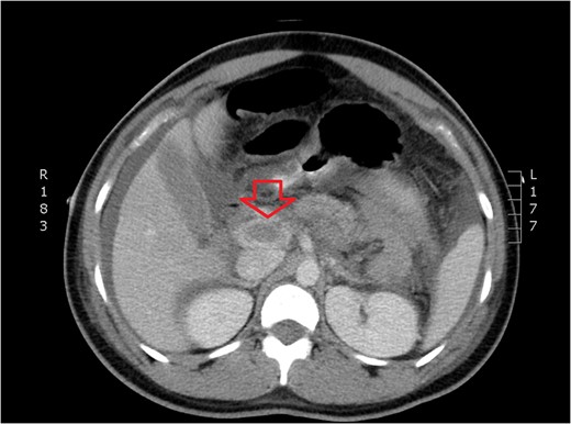
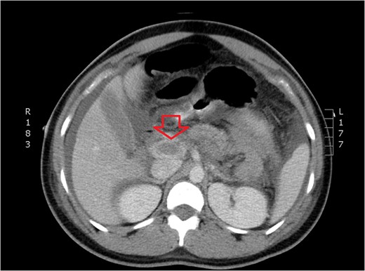
CT of dilated portal vein and extension of thrombosis (axial view).

The conduct of the laparoscopic colectomy was uneventful. The transverse colon, splenic flexure, descending colon and sigmoid colon were bluntly mobilized from a medial to lateral approach. The inferior mesenteric vein was divided with a white-load stapler. The sigmoid colon was divided from the rectum using a green-load stapler. The cecum and ascending colon were bluntly mobilized in a medial to lateral fashion. The ileocolic artery was divided with a white-load stapler. The ascending colon was dissected from the white line of Tolt and the omentum over the transverse colon was divided. The colon was divided from the ileum with a blue-load stapler and removed through a Pfannenstiel incision. An ileorectal anastomosis was created with an EEA stapler. A leak test was performed and was negative. Endoscopy showed a widely patent anastomosis and intact staple lines.
The patient had an unremarkable postoperative course. She tolerated a regular diet with bowel function return on postoperative day (POD) 1. She remained on 5000 units of subcutaneous heparin during her stay. She was discharged the morning of POD 3 after meeting discharge criteria with normal vital signs. She was discharged without venous thrombosis prophylaxis.
The patient presented to the emergency room the evening of POD 3 with emesis and obstipation. Her vital signs and laboratory values were normal. An x-ray showed small bowel dilation and she was readmitted for postoperative ileus. A nasogastric tube was placed and the patient was started on IV fluids. Upon worsening pain and tachycardia on POD 4, a computed tomography (CT) scan with triple contrast was obtained. The CT scan showed evidence of PVT (Figs 1–3). The patient was transferred to the ICU and started on a therapeutic heparin. She improved clinically and was discharged home with rivaroxaban on POD 8. A hematologic evaluation was negative for disorders of factor V Leiden, antithrombin III, homocysteine and cardiolipin.
DISCUSSION
PVT is a rare complication of laparoscopic surgery. PVT usually presents with abdominal pain, nausea or vomiting, and is diagnosed with ultrasound or CT scan [1]. Treatment is prompt initiation of anticoagulation therapy. Typical treatment can last 6–12 months; however, systemic prothrombotic states may require lifelong therapy. Catheter-direct thrombolysis is an alternative to systemic anticoagulation, though major complications have been seen in 60% of catheter-direct thrombolysis [5].
Postoperative PVT has been documented in splenectomies due to the direct endothelial injury to the splenic vein [2]. However, its prevalence in laparoscopic surgeries not directly involving the spleen is low. PVT has recently been documented following laparoscopic colectomy for both diverticulitis and IBD [1, 4]. The patient presented here did not have evidence of a local or systemic inflammatory process previously associated with postoperative PVT. Due to this, other etiologies of PVT development should be explored.
Laparoscopy may produce a thrombogenic state due to increased intra-abdominal pressure and decreased venous return [6]. Patient positioning is of particular interest in laparoscopic foregut surgery. Steep reverse Trendelenburg position is postulated to contribute to postoperative PVT in bariatric procedures [1, 3].
Known systemic predisposing factors include myeloproliferative disorders, malignancy, cirrhosis, pregnancy and OCP use. Inherited coagulopathies have been seen in one-third of PVT [7]. One or several prothromboic disorders may be seen in 72% of non-cirrhotic PVT [8]. However, the cause of nonsurgical PVT seems to be multifactorial, as multiple factors are present in two-thirds of PVT patients [7].
Other systemic factors include obesity, cirrhosis and OCP. Obesity is of interest as the rate of postoperative PVT seems to be increasing following bariatric surgery. Despite the minimal disruption of the mesenteric veins, PVT is seen following both gastric bypass and sleeve gastrectomy [1, 9]. Postoperative bariatric patients may be predisposed to a thrombogenic state [9]. Obesity, itself, is associated with an increased risk of thromboembolism [9]. With a BMI of 26.6, this patient was not obese.
In this case, the patient was taking OCP preoperatively. OCP use and venous thrombosis has been well documented [10]. OCP use has been known to cause intestinal ischemia in the absence of other risk factors [10]. OCP alone has not been shown to be a prevalent factor in the development of non-cirrhotic PVT [8]. However, OCP use was seen to contribute to PVT in the presence of locoregional factors (pylephlebitis, cholecystectomy, abdominal trauma, intestinal obstruction and colonic adenocarcinoma) or prothrombotic disorders [8].
The incidence of PVT after laparoscopic surgery may be increasing. Local and systemic factors contribute to the development of postoperative PVT. Inflammatory processes have been associated with post-colectomy PVT. However, this case shows that PVT may occur after colectomy without IBD, malignancy or inherited prothrombotic disorders. OCP is a known factor of PVT when combined with prothrombotic disease or local disruptive factors. However, OCP and colectomy may be enough for the development of PVT. PVT after colectomy is rare, but a high index of suspicion should be maintained with a history of OCP use.
CONFLICT OF INTEREST STATEMENT
None declared.
REFERENCES
- abdominal pain
- computed tomography
- colectomy
- constipation
- ulcerative colitis
- diverticulitis
- laparoscopy
- splenectomy
- surgical procedures, operative
- vomiting
- abdomen
- diagnosis
- spleen
- laparoscopic surgery
- obstipation
- abdominal swelling
- portal vein thrombosis
- colectomy, total
- colectomy, total abdominal, with ileoproctostomy
