-
PDF
- Split View
-
Views
-
Cite
Cite
Antoni De Mol, Laura Nicolielo, Olivier Ghekiere, Reinhilde Jacobs, Constantinus Politis, Dislocation of a mandibular condyle in the middle cranial fossa, diagnosed 54 years after trauma, Journal of Surgical Case Reports, Volume 2017, Issue 7, July 2017, rjx149, https://doi.org/10.1093/jscr/rjx149
Close - Share Icon Share
Abstract
Dislocation of the mandibular condyle into the middle cranial fossa is a rare complication of mandibular trauma. We report the remarkable case of a 63-year-old patient in whom trauma 54 years prior to consultation resulted in intrusion of the right mandibular condyle into the middle cranial fossa. The diagnosis was missed because of insufficient data provided by conventional radiographies. Failure of timely diagnosis and lack of appropriate treatment resulted in temporomandibular joint ankylosis with functional impairment, disturbance of mandibular growth and dentofacial asymmetry. We emphasize the need for careful radiological investigation in case of a suspected condylar fracture or dislocation, especially when the mechanism of injury is likely to facilitate condylar intrusion. The use of CT and MR-imaging is therefore advocated.
INTRODUCTION
Intrusive dislocation of the mandibular condyle into the middle cranial fossa is exceptionally rare. The first report dates back to 1963 and to the best of our knowledge, no more than 56 cases have been reported [1]. In this article, we report the case of a patient in whom this rare diagnosis was made only 54 years after the inciting traumatic event.
CASE REPORT
A 63-year-old woman consulted with severe limitation of mandibular mobility and concerns about likely intubation problems. Limited mouth opening had developed following a conservatively treated fracture of the right mandibular condyle at the age of 9, thus 54 years prior to consultation. To our regret, the original radiograph could not be recollected.
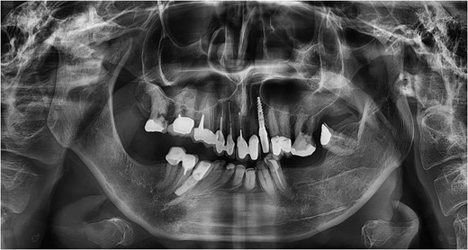
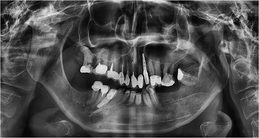
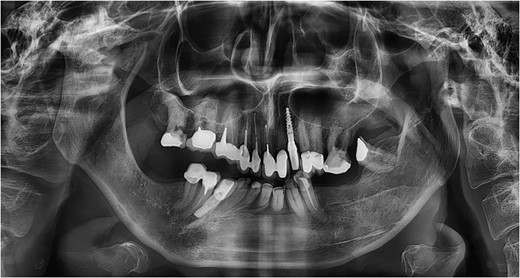
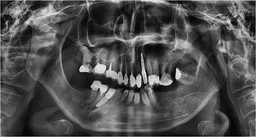
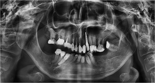
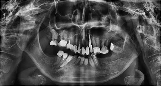
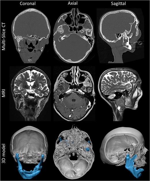
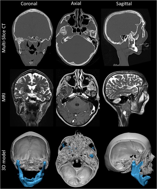
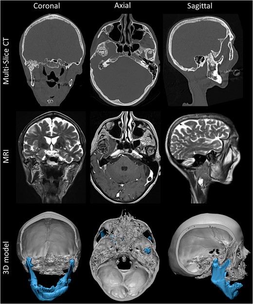
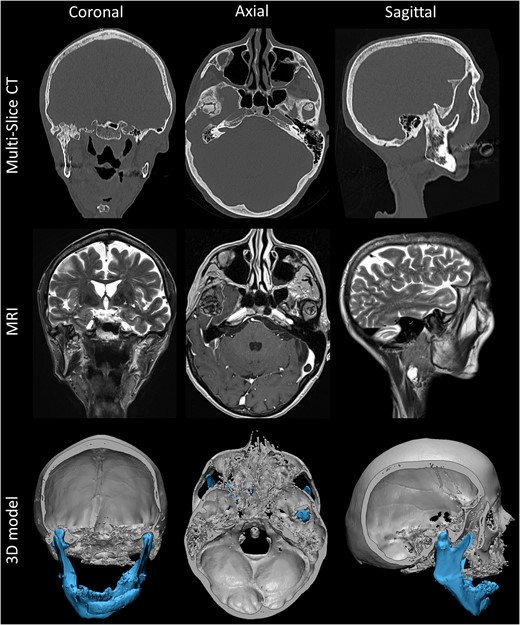
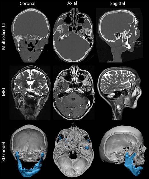
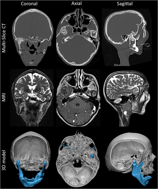
Clinical examination confirmed limitation of mandibular mobility with 16 mm interincisive mouth opening, 2 mm right-sided laterotrusion and inability for left-sided laterotrusion or protrusion. An Angle class II.1 malocclusion was present. The lower dental midline had undergone a right-sided shift, an occlusal cant was present as well as a right-sided crossbite. Extra-oral examination revealed facial asymmetry with skewing of the menton towards the right side and a short posterior facial height. A panoramic radiograph illustrated extensive dysplasia of the right condyle–fossa complex (Fig. 1). Additional CT and MR imaging was performed. These confirmed upward condylar displacement of 11.5 mm into the middle cranial fossa on the right with extensive osseous remodeling and upward relocation of the right inferior temporal gyrus. Three-dimensional rendering using Mimics® medical image processing software and CT–MR image coregistration based on mutual information [2] were performed to add visual information regarding to the severity of the trauma (Fig. 2).

Panoramic radiograph at the age of 63 illustrating a mandibular asymmetry with extensive remodeling of the right condyle–fossa complex. The mandibular condyle and adjacent temporal bone structures can no longer be discerned. Note the superimposition of a silicone soft tissue implant as a noninvasive approach to compensate for the mandibular asymmetry.

CT and MR skull imaging, using axial gadolinium enhanced T1-weighted and coronal and sagittal T2-weighted MR images, and related 3D model with mandibular segmentation and digital removal of the calvarium. Note the extent of remodeling and asymmetrical development throughout the subsequent years with even upward relocation of the right inferior temporal gyrus.
Three therapeutic alternatives were discussed: watchful waiting considering the long-lasting asymptomatic nature of this pathology, right-sided mandibular osteotomy to restore mobility within a functional and intubation-safe range or multidisciplinary surgery entailing open reduction with reconstruction of the cranial fossa. After consideration the patient preferred the first option.
DISCUSSION
In contrast to injuries of the condylar head and neck, condylar intrusion injuries are extremely rare. The cranium and its enclosed structures are shielded from penetration because of the structural weakness of the condylar neck which is most prone to fracture upon mandibular impact, dissipating forces that could cause brain injury [3].
The nature of condylar injury is determined by the vector of the forces exerted upon the lower jaw, temporomandibular joint and skull base anatomy and jaw position. Occasionally the condyle may protrude into the cranial cavity through the glenoid fossa. The lateral walls of this fossa are well developed in contrast to the roof which consists of a thin bony lamina that separates the condyle from the middle cranial fossa [4]. An autopsy study by Honda et al. [5] on 49 temporomandibular joints revealed an average minimum thickness of this lamina of no more than 0.8 mm in patients of 50 years and older. Similar findings were reported by Greene et al. [6] and Tsuruta et al. [7]. The average age of patients suffering from condylar intrusion injuries, however, is significantly younger and data on the thickness of the roof of the glenoid fossa in this population are lacking. Moreover, in children the medial and lateral poles of the condyle are underdeveloped which facilitates contact between the condyle and thin roof of the fossa. In adults the condylar head has well-developed medial and lateral poles. As such, in adults the pyramidal geometry of the glenoid fossa may act as a primary buttress preventing superior condylar dislocation, a mechanism which is absent in children. This explains why the vast majority of patients with intrusive dislocation injuries is younger than 30 years (75%) and more than one in three patients (41%) is even younger than 15 years [1]. Other factors that have been reported to increase the likelihood of superior condylar dislocation are increased pneumatization of the temporal bone, lack of posterior occlusion or open mouth position at the time of trauma [8]. Experience with arthroscopy in adults learns that in some patients structural defects are found in the roof of the glenoid fossa. Such defects may predispose to intrusion injuries. However, studies confirming this hypothesis, especially in children, are not available.
Arya and Chigurupati [1] found the mean time from injury to diagnosis to be 31.2 days, ranging from 0 to 730 days, and in 78.4% of all patients the diagnosis was made within the first 2 weeks of injury. Rosa et al. [9] reported a case in which the diagnosis was established 2 years after trauma. We, however, present a remarkable case in which the diagnosis was established only 54 years after trauma.
In the past, diagnosis was regularly delayed and in some cases in all probability missed. The absence of specific signs or symptoms when compared to common subcondylar fractures and the poor sensitivity of plain craniofacial and panoramic imaging explains the diagnostic difficulties. CT and MR imaging of the temporomandibular joints is more reliable to identify intracranial dislocation of the mandibular condyle because of the elimination of overlap of surrounding structures as illustrated in the review by Barron et al. [10]: a CT-scan was essential for establishing a correct diagnosis in 17 of the 48 patients reported. Delayed treatment of this injury may however lead to ankylosis of the mandibular condyle in the middle cranial fossa and ensuing complications such as functional limitation, disturbance of mandibular growth and dentofacial asymmetry, as illustrated in this case report.
The case was reported to emphasize the need for careful radiological investigation in case of a suspected condylar fracture or dislocation, especially if the mechanism of injury is likely to facilitate condylar intrusion. The use of imaging techniques such as CT and MRI is strongly advocated for early diagnosis to avoid short-term and long-term complications.
CONFLICT OF INTEREST STATEMENT
The authors confirm that this article content has no conflicts of interest.