-
PDF
- Split View
-
Views
-
Cite
Cite
Giancarlo Pansini, Giovanni Pascale, Ilaria Pigato, Enzo Malvicini, Dario Andreotti, Annalisa Caruso, Rocco Stano, Savino Occhionorelli, A rare diaphragmatic hernia with a delayed presentation of intestinal symptoms following spleno-distal pancreatectomy: a case report, Journal of Surgical Case Reports, Volume 2017, Issue 7, July 2017, rjx135, https://doi.org/10.1093/jscr/rjx135
Close - Share Icon Share
ABSTRACT
Acquired diaphragmatic hernia, non-related to trauma, is a very rare condition. It can constitute a therapeutic problem and the surgical solution is not always immediately clear. We report the case of a 73-year-old woman with a history of spleno-distal pancreatectomy for a neuroendocrine tumour performed in 2009, who came back to Emergency Room 2 years later, complaining of abdominal pain. Chest radiography and computed tomography were performed; they showed a diaphragmatic hernia with visceral migration into the thorax. The diaphragmatic defect was surgically repaired and the patient had an uneventful post-operative recovery.
INTRODUCTION
Diaphragmatic hernias (DH) are rare conditions and can be classified into congenital hernias, traumatic hernias and iatrogenic hernias. Congenital DHs depend on anomalous embryonic development with a prevalence of 1.7–5.7 per 10 000 births [1].
Acute secondary diaphragmatic herniations are rare; no more than 5% of patients with abdominal trauma reports traumatic diaphragmatic injury. The literature includes descriptions of DH following laparoscopic cholecystectomy, laparoscopic hepatectomy, esophagectomy, gastrectomy, gastric fundoplication, laparoscopic gastric banding, radiofrequency ablation of liver lesions, splenectomy, nephrectomy and spleno-pancreatectomy, as well as after living donor liver transplant and video-assisted thoracoscopic surgery for partial resection of the lung [2–5].
The diaphragmatic damage may be silent or show up with symptoms of intestinal obstruction, immediately after the surgery or many years later. Acquired DH non-related to trauma is an even rarer presentation and it is very difficult to diagnose [6]. In this case report we describe an acquired DH occurring after spleno-pancreatectomy for a neuroendocrine tumour.
CASE REPORT
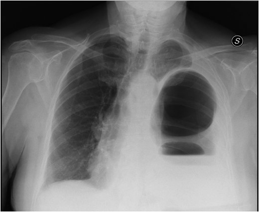
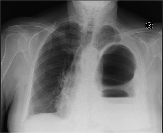
In April 2011, a 73-year-old woman with history of left-pancreatectomy and splenectomy for a neuroendocrine tumour (2009) was admitted to the emergency department with abdominal cramps, nausea, without vomit or dyspnea. Her anamnesis was negative for asthma, respiratory distress, blunt or penetrating trauma or conspicuous weight loss. Abdominal examination showed a diffusely painful protruding abdomen, without signs of peritonitis and Blumberg sign was negative. Chest radiographs (Fig. 1) showed a raised left hemidiaphragm, with bowel herniation into the lower half of the left hemi-thorax.

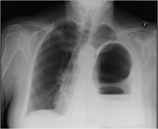
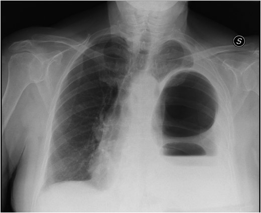
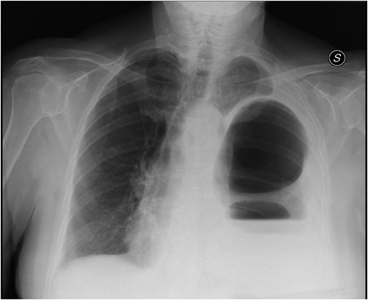
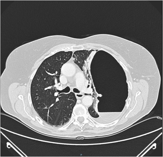
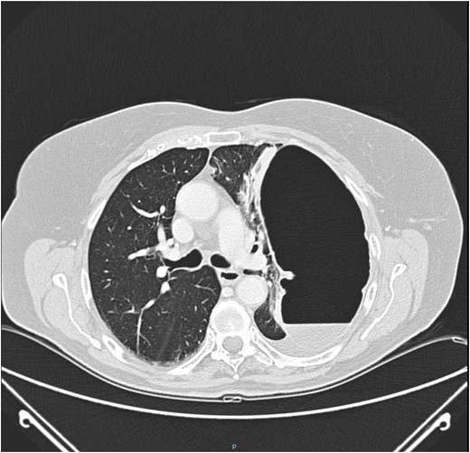
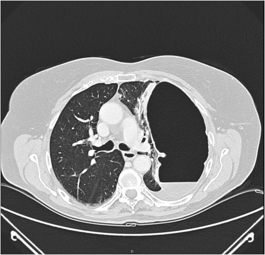
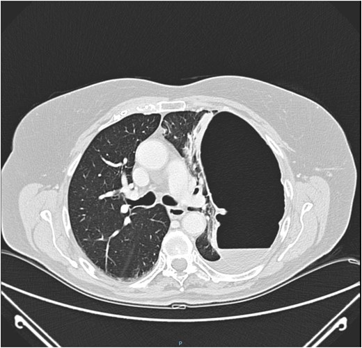
Thoraco-abdominal computed tomography (CT) showed the herniated bowel (transverse colon), translocated through a defect of about 7 cm in the left hemidiaphragm (Figs 2–4), a rightward deviation of the mediastinal structures and an atelectasis of the left lung (Fig. 5). The left colon had the appearance of a volvulus.




CT of chest showing defect on left side of the diaphragm and colon herniation in the thoracic cavity.
No signs of concern emerged from the follow-up for the neuroendocrine tumour until the last check, in particular no tumour recurrence was detected and there were no signs or symptoms of a diaphragmatic defect. During the follow-up a CT and ultrasonography (US) were performed, both with negative outcomes. The only post-operative issue was a pancreatic fistula that was conservatively treated and that spontaneously resolved some months later. The patient underwent explorative laparotomy, reduction of the left DH, resection of the necrotic transverse colon with direct stapled side-to-side colic anastomosis, diaphragmatic suture and thorax drainage (Figs 6 and 7). The diaphragmatic defect was repaired with interrupted suture. The recovery was complicated by ipsilateral pleural effusion and obstinate constipation, though the patient was discharged on the fourteenth post-operative day, apparently in good health. The post-operative course was uneventful. One month later a thoraco-abdominal CT scan was performed, with no signs of recurrent diaphragmatic hernia. The oncologic follow-up was negative and the patient is still alive and apparently in good health.


DISCUSSION
Acquired DHs may present with acute or chronic symptoms, or they may be detected accidentally during workup.
Acute presentation of a DH depends on the size and nature of the herniated organ. Epigastric or chest pain and dyspnea are typical symptoms due to the effects of pressure. If the stomach or bowel are obstructed, there will be episodes of vomiting.
Diagnosis could be challenging because of the unspecific nature of the presenting symptoms.
Acute presentation with strangulated or obstructed viscera needs for an urgent course of action and repair and thus a quick and accurate diagnosis. In the absence of strangulated or obstructed viscera, acquired DH or iatrogenic DH may be diagnosed months or years after the initial surgery [7]. Chronic pain with or without respiratory changes may be the only presenting complaints. Chest radiographs are the best screening examination, but an abnormality is detected in only 50% of patients [8].
CT scan, magnetic resonance imaging and US may be helpful to make the right diagnosis. More invasive investigations might include laparoscopy or thoracoscopy evaluation.
Iatrogenic DHs may be due to damage by a grasping instrument, electrocautery and interference by the suction instrument used to evacuate irrigation fluid. The problem is associated in particular with the energy released by these instruments, especially the ultrasonically activated scissors, which can expose a weak point in the diaphragm [2].
In our case, the DH was diagnosed 2 years after the original surgery and after a pancreatic fistula spontaneously resolved. It has been suggested that this delay in presentation is a result of the gradual enlargement of small tears in the diaphragm that go unnoticed during surgery. This develops slowly under the stress of increased intra-abdominal pressure associated with coughing and straining, and in our case a previous post-operative pancreatic fistula and obstinate constipation probably contributed to the pathogenesis. However, there are no irrefutable evidences supporting this hypothesis, only several clues.
Surgery represents the first choice of treatment. While urgent surgery is frequently needed for the treatment of the symptomatic DHs, asymptomatic DHs may be performed days or months later, according to the patient’s status. Small diaphragmatic defects are usually treated by primary repair with non-absorbable sutures. If the diaphragmatic defect is large or the muscles weak, synthetic grafts should be used because the primary repair could cause excessive tension [9]. In our case, we avoided the use of a graft because of the contamination due to the bowel resection in urgent surgery.
Surgery can be performed through of laparotomy or thoracotomy. Some authors consider thoracotomy the best elective surgical approach for the correction of anatomical chest defects in absence of any abdominal pathology [3]. The patients who underwent thoracotomy experienced the longest stay, with a greater need for post-operative mechanical ventilation than those approached abdominally. In our case we preferred the abdominal incision and the DH was definitively repaired with direct non-absorbable suture.
Trans-abdominal surgery is suggested in acute or unstable patients to allow examination of intra-abdominal organs, dissection of adhesions or exposure of the ischemic area of the bowel. Laparoscopic repair performed in patients with good general medical conditions is a suitable and safe procedure for the treatment of DH and it’s used especially in repairing left DH [8, 10].
CONFLICT OF INTEREST STATEMENT
None declared.